症例詳細
Case detail
詰め物が欠けて虫歯になってる気がする セラミックインレー修復
治療症例の内容
- 診療科目
- 治療カテゴリ
- 担当医
- 有澤哲郎(ドクタープロフィール)
- 患者様
- 30代男性
- 治療期間
- 1ヶ月
- 治療回数
- 2-5回
- 治療計画
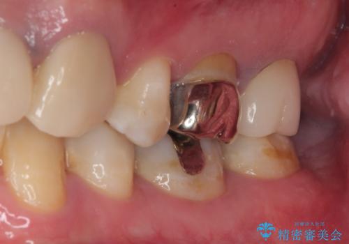
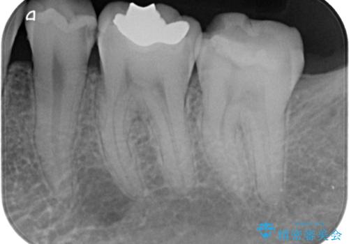
- 詰め物が欠けて虫歯になっていることを気にして来院された患者様です。以前に保険のプラスチックの治療を行われていた状況でした。
歯と歯が接しているところの虫歯のため、セラミックの詰め物(セラミックインレー)での治療を進めていくことにしました。
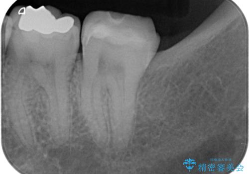
拡大鏡視野下で、保険のプラスチック、虫歯の除去を行い、セラミックインレーに適した形に整えました。
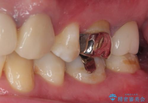
歯と歯茎の間に圧排糸と言われる糸を入れてシリコーン印象材にて精密な型どりをしました。
セラミックインレーの装着時には、唾液の侵入を防ぐために、ラバーダム防湿を行いました。
- 費用(概算)
- 8万円(税込み)費用は治療当時の料金となります
歯と歯の間の虫歯の治療について
歯と歯の間の虫歯をコンポジットレジンや保険のメタルインレーで治すと段差ができたりして清掃性が悪くなるので、セラミックインレー修復やゴールドインレー修復などの適合の良い詰め物で治療することをオススメします。
セラミック治療の注意事項(リスク・副作用など)
- 天然歯を削ります
- 硬い素材は天然歯を傷つけてしまう場合があります
- かみ合わせや歯ぎしりが強すぎる方はセラミックが割れてしまう可能性があります
- 自費診療(保険適用外治療)となります
その他の注意事項(リスク・副作用など)
- 担当歯科医師、歯科衛生士又は医院スタッフから受けた説明・注意事項をよくご確認ください
- 医療を提供するに当たり、適切な説明を行い、患者様の十分な理解を得るよう努めております
当サイトの内容、テキスト、画像等の無断転載、複製、複写、盗用を固く禁じます。









