症例詳細
Case detail
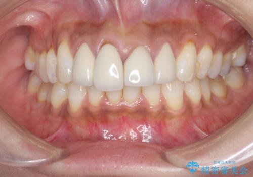
金属色の見える前歯 オールセラミックで審美治療
治療症例の内容
- 診療科目
- 治療カテゴリ
- 担当医
- 大元洋佑(ドクタープロフィール)
- 患者様
- 20代女性
- 治療期間
- 1ヶ月
- 治療回数
- 2-5回
- 治療計画
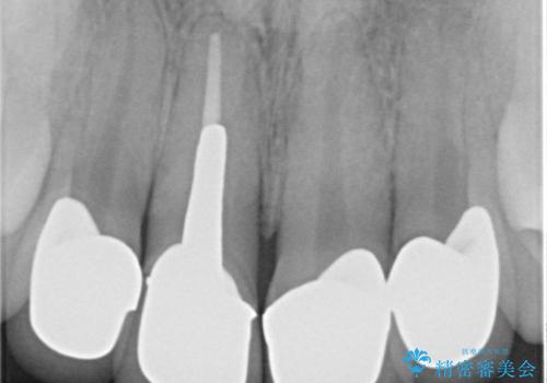
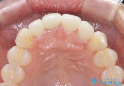
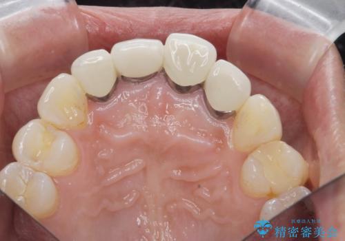
- 前歯のクラウンの見た目が不自然、歯の根元が見えたり金属色が気になるので改善したい、とセラミック治療を希望され来院されました。
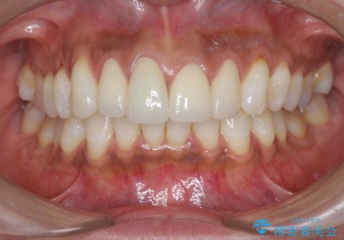
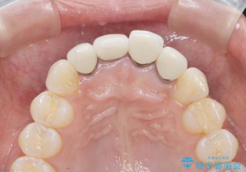
歯肉の位置変化による審美障害を改善するため、オールセラミックジルコニアクラウンで再治療を行い審美性の改善を計画します。
- 費用(概算)
- 52.8万円(ジルコニアクラウン×4・仮歯×4)費用は治療当時の料金となります
治療について
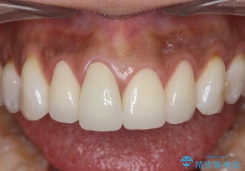
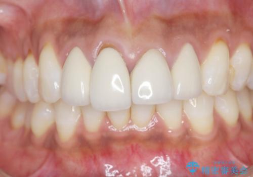
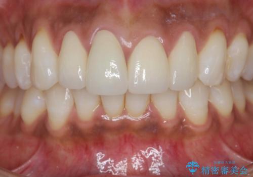
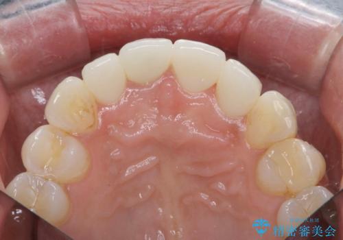
見た目が自然になり、色調も天然の歯とおなじような透明感のある色調が再現され、大変喜んでいただくことができました。
セラミック治療の注意事項(リスク・副作用など)
- 天然歯を削ります
- 硬い素材は天然歯を傷つけてしまう場合があります
- かみ合わせや歯ぎしりが強すぎる方はセラミックが割れてしまう可能性があります
- 自費診療(保険適用外治療)となります
当サイトの内容、テキスト、画像等の無断転載、複製、複写、盗用を固く禁じます。














