症例詳細
Case detail
セラミックが欠けた オールセラミッククラウン
治療症例の内容
- 診療科目
- 治療カテゴリ
- 担当医
- 有澤哲郎(ドクタープロフィール)
- 患者様
- 30代男性
- 治療期間
- 1ヶ月
- 治療回数
- 2-5回
- 治療計画
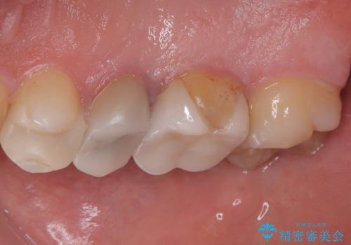
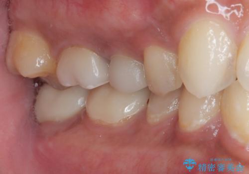
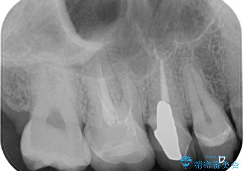
- セラミックが欠けたとのことで来院された患者様です。新しくセラミックを作り直していく治療計画としました。
拡大鏡視野下で、セラミックの被せもの、虫歯の除去を行い、オールセラミッククラウンに適した形に整えました。
歯と歯茎の間に圧排糸と言われる糸を入れてシリコーン印象材にて型どりをしました。
- 費用(概算)
- 14万円(税込み)費用は治療当時の料金となります
治療について
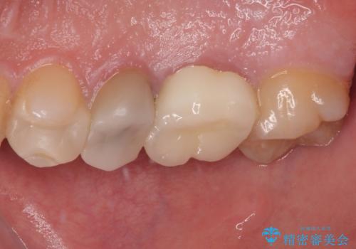
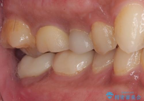
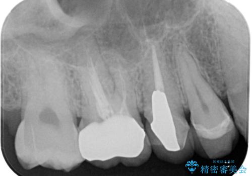
見た目、機能面ともに満足していただけました。
咬み合わせが強く以前のセラミックを割ってしまっているので就寝時にはナイトガードを使ってもらう予定です。
今後もメンテナンスで通っていただきながら、経過観察していく予定です。
セラミック治療の注意事項(リスク・副作用など)
- 天然歯を削ります
- 硬い素材は天然歯を傷つけてしまう場合があります
- かみ合わせや歯ぎしりが強すぎる方はセラミックが割れてしまう可能性があります
- 自費診療(保険適用外治療)となります
その他の注意事項(リスク・副作用など)
- 担当歯科医師、歯科衛生士又は医院スタッフから受けた説明・注意事項をよくご確認ください
- 医療を提供するに当たり、適切な説明を行い、患者様の十分な理解を得るよう努めております
当サイトの内容、テキスト、画像等の無断転載、複製、複写、盗用を固く禁じます。









