症例詳細
Case detail
歯周ポケットの除去と再補綴治療
治療症例の内容
- 患者様
 - 50代女性
 
- 治療期間
 
- 治療回数
 - 10-30回
 
- 治療計画
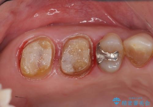
 - 数年ぶりに歯医者に来た、問題点があれば全て治したい。と検診を希望され来院されました。
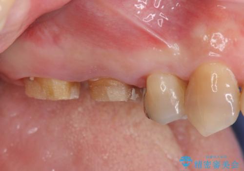
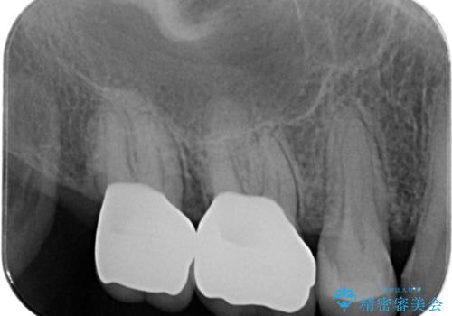
歯周組織検査・X線検査の結果、中等度の歯周病であることがわかりました。
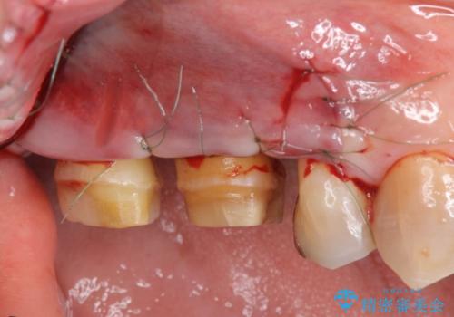
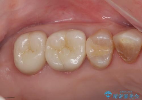
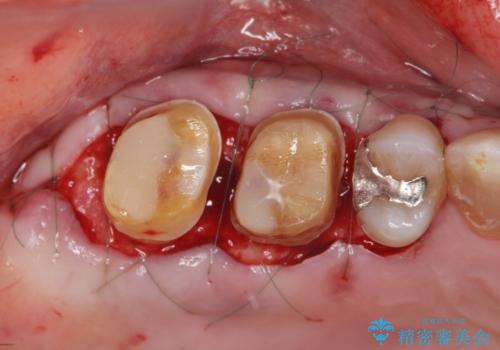
歯周ポケットの除去を歯周外科により行ったのち精度が高く清掃のしやすいセラミック治療による再補綴を行います。 
- 費用(概算)
 - 42.9万円(ジルコニアクラウン×2・仮歯×2 歯周外科)費用は治療当時の料金となります
 
治療について
歯周病は痛みのないまま進行し、最終的に歯が抜けてしまう病気です。
歯を残せるうちに歯周ポケットの除去を行い歯の予後を良くすることができます。
セラミック治療の注意事項(リスク・副作用など)
- 天然歯を削ります
 - 硬い素材は天然歯を傷つけてしまう場合があります
 - かみ合わせや歯ぎしりが強すぎる方はセラミックが割れてしまう可能性があります
 - 自費診療(保険適用外治療)となります
 
当サイトの内容、テキスト、画像等の無断転載、複製、複写、盗用を固く禁じます。

                      
                                                          









