症例詳細
Case detail
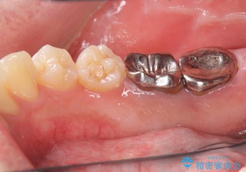
[メタルフリー] 虫歯・銀歯だらけの口腔内を全顎治療
治療症例の内容
- 患者様
- 50代男性
- 治療期間
- 1年6ヶ月
- 治療回数
- 30回以上
- 治療計画
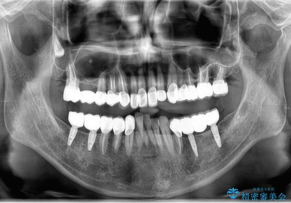
- 銀歯だらけの見た目と、歯の磨きにくさの改善を求めて来院されました。
銀歯の下には虫歯の再発が見られたり、根尖病変や歯周病、噛み合わせといった複合的な問題が認められます。
残すことのできる歯には根管治療・歯周病治療を行い、やむを得ず抜去の必要な部位はブリッジやインプラントを用い、安定した噛み合わせ・歯の磨きやすい環境を確立していきます。
- 費用(概算)
- 440万円費用は治療当時の料金となります
治療について
気になっていた見た目の問題も解決され、歯の磨きやすさ、噛み合わせの安定による食事のしやすさを治療の終了後に実感していただくことができました。
インプラント治療の注意事項(リスク・副作用など)
- 外科手術のため、術後に痛みや腫れ、違和感を伴います
- メンテナンスを怠ったり喫煙により、お口の中に大きな悪影響を及ぼすインプラント周囲炎等にかかる可能性があります
- 糖尿病、肝硬変、心臓病等の場合、インプラント治療ができない可能性があります
- 高血圧、貧血・不整脈等の場合、インプラント治療後に治癒不全を招く可能性があります
- 自費診療(保険適用外治療)となります
セラミック治療の注意事項(リスク・副作用など)
- 天然歯を削ります
- 硬い素材は天然歯を傷つけてしまう場合があります
- かみ合わせや歯ぎしりが強すぎる方はセラミックが割れてしまう可能性があります
- 自費診療(保険適用外治療)となります
当サイトの内容、テキスト、画像等の無断転載、複製、複写、盗用を固く禁じます。

![[メタルフリー] 虫歯・銀歯だらけの口腔内を全顎治療の治療前](https://seimitsushinbi.jp/wp/wp-content/uploads/2025/03/e26a9887bc6905a2f0f51f5772b5ac9c-500x350.jpg?v=1741918285)
![[メタルフリー] 虫歯・銀歯だらけの口腔内を全顎治療の治療後](https://seimitsushinbi.jp/wp/wp-content/uploads/2025/03/530cf6cca6451bc106a9fb69dd58908a-500x350.jpg?v=1741918343)
![[メタルフリー] 虫歯・銀歯だらけの口腔内を全顎治療の治療前](https://seimitsushinbi.jp/wp/wp-content/uploads/2025/03/3049ff82e74818ba392861c738416587-500x350.jpg?v=1741918304)
![[メタルフリー] 虫歯・銀歯だらけの口腔内を全顎治療の治療中](https://seimitsushinbi.jp/wp/wp-content/uploads/2025/03/04a773a7d6b9b4afff1c78741dda5f81-500x350.jpg?v=1741918320)
![[メタルフリー] 虫歯・銀歯だらけの口腔内を全顎治療の治療後](https://seimitsushinbi.jp/wp/wp-content/uploads/2025/03/c90ff7470fc16dec9b016cf6b97d4161-500x350.jpg?v=1741918337)
![[メタルフリー] 虫歯・銀歯だらけの口腔内を全顎治療の治療前](https://seimitsushinbi.jp/wp/wp-content/uploads/2025/03/471bf4d2a6de4ce4c3ea24b9ba22af0a-500x350.jpg?v=1741918295)
![[メタルフリー] 虫歯・銀歯だらけの口腔内を全顎治療の治療中](https://seimitsushinbi.jp/wp/wp-content/uploads/2025/03/2e00b317e7fe43dfc09426e82d2a0c2e-500x350.jpg?v=1741918315)
![[メタルフリー] 虫歯・銀歯だらけの口腔内を全顎治療の治療後](https://seimitsushinbi.jp/wp/wp-content/uploads/2025/03/5ac8a7c69249d3dafdd40bbf80b59273-500x350.jpg?v=1741918333)
![[メタルフリー] 虫歯・銀歯だらけの口腔内を全顎治療の治療前](https://seimitsushinbi.jp/wp/wp-content/uploads/2025/03/2535040e0951eb756673326545af6d21-500x350.jpg?v=1741918355)
![[メタルフリー] 虫歯・銀歯だらけの口腔内を全顎治療の治療中](https://seimitsushinbi.jp/wp/wp-content/uploads/2025/03/087845b22d9b331654ba8d5dd4934f9a-500x350.jpg?v=1741918993)
![[メタルフリー] 虫歯・銀歯だらけの口腔内を全顎治療の治療後](https://seimitsushinbi.jp/wp/wp-content/uploads/2025/03/3d55d78f1a3ef71cdbd4ca3eda541723-500x350.jpg?v=1741918340)
![[メタルフリー] 虫歯・銀歯だらけの口腔内を全顎治療の治療前](https://seimitsushinbi.jp/wp/wp-content/uploads/2025/03/3798eaa0a92cf8d16367b0de4e63d61d-500x350.jpg?v=1741918310)
![[メタルフリー] 虫歯・銀歯だらけの口腔内を全顎治療の治療後](https://seimitsushinbi.jp/wp/wp-content/uploads/2025/03/0a6fce676bb7d10ef20f06a9a1d5fe6c-500x350.jpg?v=1741918963)
![[メタルフリー] 虫歯・銀歯だらけの口腔内を全顎治療の治療前](https://seimitsushinbi.jp/wp/wp-content/uploads/2025/03/75348394c23d0581af4b2933378cef45-500x350.jpg?v=1741918280)
![[メタルフリー] 虫歯・銀歯だらけの口腔内を全顎治療の治療後](https://seimitsushinbi.jp/wp/wp-content/uploads/2025/03/6f9cb05508349619dd8c1721ee439819-500x350.jpg?v=1741918971)