症例詳細
Case detail
奥歯が倒れてしまっている 親知らずを利用した矯正
治療症例の内容
- 診療科目
- 治療カテゴリ
- 担当医
- 井上季実子(ドクタープロフィール)
- 患者様
- 40代女性
- 矯正装置
- インビザライン ワイヤー矯正
- 治療期間
- 2年10ヶ月
- 治療回数
- 30回以上
- 治療計画
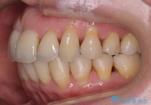
- 前歯の並びを気にして来院。
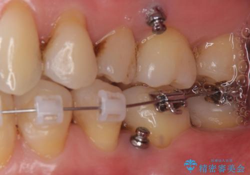
左下の奥歯が内側に倒れこみ、左上の奥歯は向きが悪くすれ違っていました。
ワイヤー矯正とマウスピース矯正を併用し、左上の位置が悪い歯は抜歯し、左上の親知らずを手前に移動させました。
- 費用(概算)
- 126.5万円費用は治療当時の料金となります
治療について
左上下のかみ合わせが悪く、歯石も多かったため、歯周病の治療も併せて行いました。
難易度の高い部分はワイヤー部分矯正を行うなどして対応し、見える部分はマウスピース矯正を併用する工夫を行いました。
マウスピース矯正の注意事項(リスク・副作用など)
- 口腔内・歯並びの状態によっては対応できない場合があります
- マウスピース型矯正装置の長時間装着(1日20時間以上)が必須です
- 治療計画通りに進めるためには、患者様の意志が重要になります
- 矯正治療後の保定が不十分だと後戻り(元の位置に戻ろうとする動き)をします
- 薬機法対象外の矯正歯科装置のため医薬品副作用被害救済制度の対象外となる場合があります
- 自費診療(保険適用外)となります
ワイヤー矯正の注意事項(リスク・副作用など)
- 治療中は違和感や痛みが起こることがあります
- 症状により、抜歯が必要な場合があります
- 治療中は歯磨きがしにくくなるため、虫歯や歯周病になりやすくなります
- 矯正治療後の保定が不十分だと後戻り(元の位置に戻ろうとする動き)をします
- 自費診療(保険適用外)となります
当サイトの内容、テキスト、画像等の無断転載、複製、複写、盗用を固く禁じます。























