症例詳細
Case detail
首の皮一枚で繋がっている前歯 1DAYインプラントでスムーズに治療
治療症例の内容
- 担当医
- 藤巻太一朗(ドクタープロフィール)
- 患者様
- 30代男性
- 治療期間
- 3ヶ月
- 治療回数
- 5-10回
- 治療計画
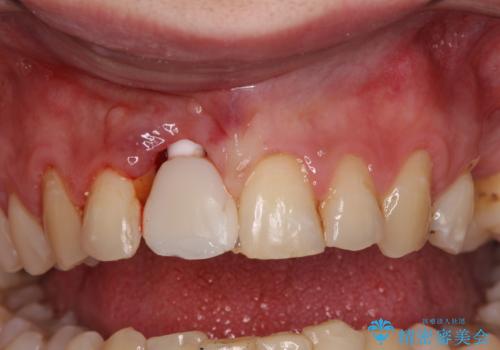
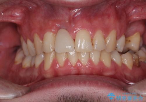
- 外れるたびに接着剤で応急処置を施してきた前歯のインプラント治療を希望して来院された患者様です。
以前から治療が必要であることは認識されていましたが、海外から日本に移住された1週間後に前歯が脱離したことで、当院でのインプラント治療を選択されました。
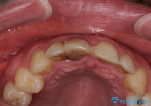
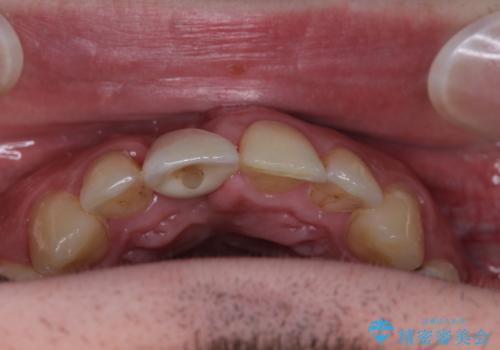
磨き残しなどによるプラークの付着が多いため、仮歯の用意と手術アポイントの調整を行っている間に口腔内のクリーニングなどを施し、環境がある程度改善されたのちに、抜歯即時インプラント埋入、即時荷重(インプラント埋入時に仮歯の装着)の予定で治療を行うこととしました。
- 費用(概算)
- 治療費の目安: 50万円(税込)費用は治療当時の料金となります
治療について
日本語でのコミュニケーションが非常に困難な状態から治療が始まりましたが、通訳にお越しいただいた同僚の方や、ご本人の日本語コミュニケーション力の上昇により、無事に治療を終えることができました。
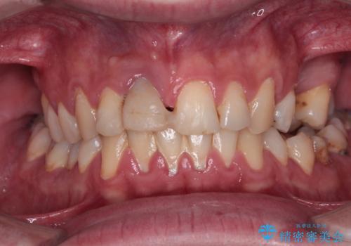
度重なる脱離により、表側の炎症が非常に強くなっており、歯を支える骨が失われている状態でした。
そのため、現在の位置よりも歯と歯肉の位置が退縮する方向に移動する可能性があり、前歯2本の歯肉位置が大きくずれることとなるため、本人との相談のうえ、天然歯が萌えているような歯肉状態とはならないものの、2本の段差が少ない状態にて治療を終えることとなりました。
インプラント治療の注意事項(リスク・副作用など)
- 外科手術のため、術後に痛みや腫れ、違和感を伴います
- メンテナンスを怠ったり喫煙により、お口の中に大きな悪影響を及ぼすインプラント周囲炎等にかかる可能性があります
- 糖尿病、肝硬変、心臓病等の場合、インプラント治療ができない可能性があります
- 高血圧、貧血・不整脈等の場合、インプラント治療後に治癒不全を招く可能性があります
- 自費診療(保険適用外治療)となります
セラミック治療の注意事項(リスク・副作用など)
- 天然歯を削ります
- 硬い素材は天然歯を傷つけてしまう場合があります
- かみ合わせや歯ぎしりが強すぎる方はセラミックが割れてしまう可能性があります
- 自費診療(保険適用外治療)となります
当サイトの内容、テキスト、画像等の無断転載、複製、複写、盗用を固く禁じます。















