症例詳細
Case detail
右の奥歯を機能回復|再根管治療とインプラントでしっかり噛める歯へ
治療症例の内容
- 患者様
- 30代男性
- 治療期間
- 1年
- 治療回数
- 5-10回
- 治療計画
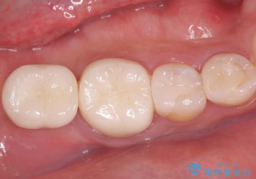
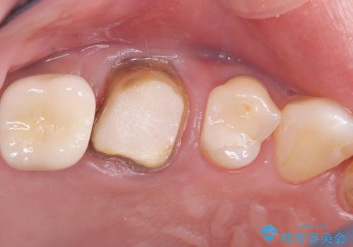
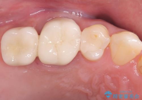
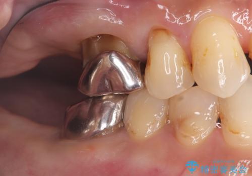
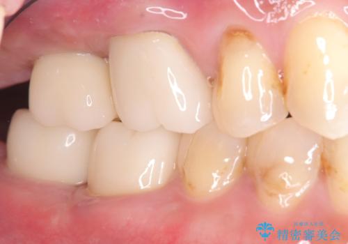
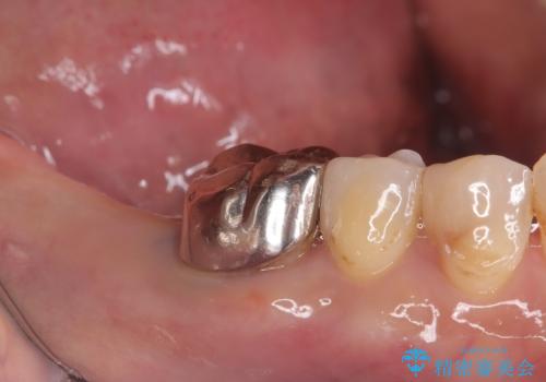
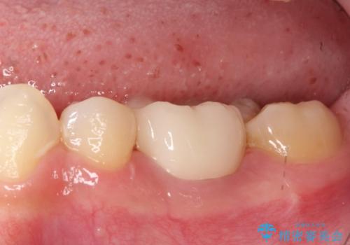
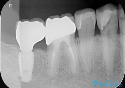
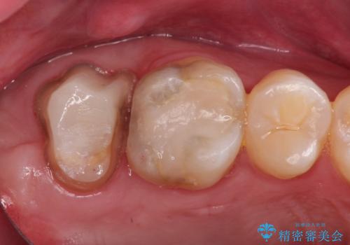
- 患者様は、右側の奥歯でしっかり噛めないことを主訴に来院されました。診察の結果、右上6・右下6の根管治療が不十分で、感染のリスクがある状態と判断。これらの歯は再根管治療を行い、セラミッククラウンで補綴することにしました。また、右上7・右下7は欠損しており、噛み合わせを回復するためにインプラント治療を計画しました。
- 費用(概算)
- 160万円費用は治療当時の料金となります
治療について
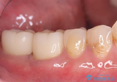
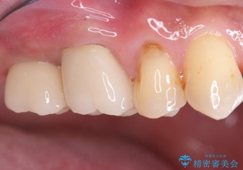
まず、右上6・右下6の根管治療を再度行い、根の状態をしっかり整えた上で、セラミッククラウンを装着しました。さらに、欠損していた右上7・右下7にはインプラントを埋入し、セラミッククラウンを装着。治療後は、「奥歯でしっかり噛めるようになり、不安なく食事ができるようになった」と患者様にも大変ご満足いただきました。
セラミック治療の注意事項(リスク・副作用など)
- 天然歯を削ります
- 硬い素材は天然歯を傷つけてしまう場合があります
- かみ合わせや歯ぎしりが強すぎる方はセラミックが割れてしまう可能性があります
- 自費診療(保険適用外治療)となります
インプラント治療の注意事項(リスク・副作用など)
- 外科手術のため、術後に痛みや腫れ、違和感を伴います
- メンテナンスを怠ったり喫煙により、お口の中に大きな悪影響を及ぼすインプラント周囲炎等にかかる可能性があります
- 糖尿病、肝硬変、心臓病等の場合、インプラント治療ができない可能性があります
- 高血圧、貧血・不整脈等の場合、インプラント治療後に治癒不全を招く可能性があります
- 自費診療(保険適用外治療)となります
当サイトの内容、テキスト、画像等の無断転載、複製、複写、盗用を固く禁じます。
















