症例詳細
Case detail
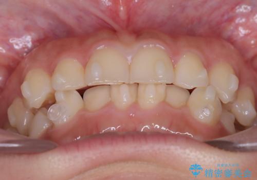
前歯のガタガタをインビザラインで改善|IPRと遠心移動でスムーズな歯並びへ
治療症例の内容
- 診療科目
- 治療カテゴリ
- 担当医
- 河口智英(ドクタープロフィール)
- 患者様
- 30代男性
- 矯正装置
- インビザライン
- 治療期間
- 1年6ヶ月
- 治療回数
- 5-10回
- 治療計画
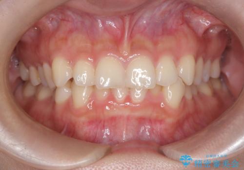
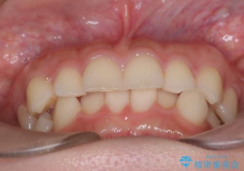
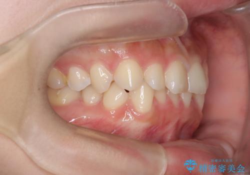
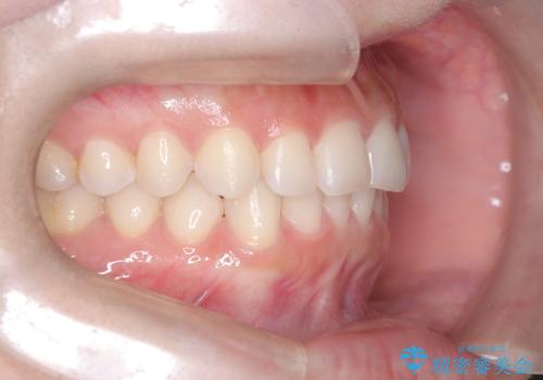
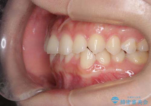
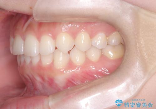
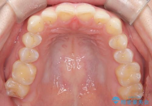
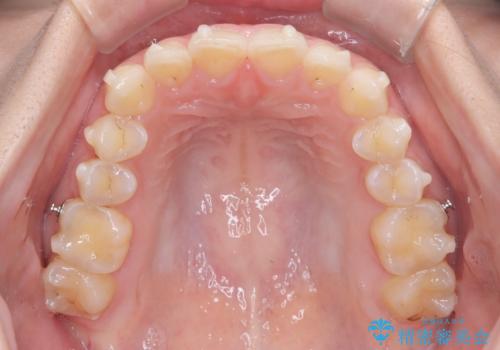
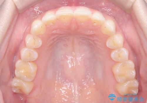
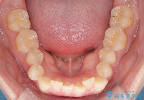
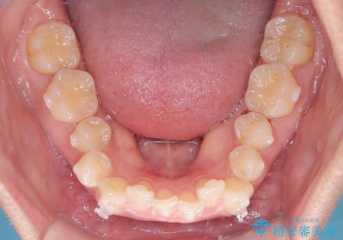
- 前歯のガタガタが気になるとのことでご相談いただきました。診察すると、歯列のスペースが不足し、前歯が重なっている状態でした。抜歯をせずに整えるため、歯と歯の間をわずかに削るIPR(歯列幅径削除)と、奥歯を後方へ動かす遠心移動を組み合わせてスペースを確保しながら並べる治療計画を立てました。
- 費用(概算)
- 90万円費用は治療当時の料金となります
治療について
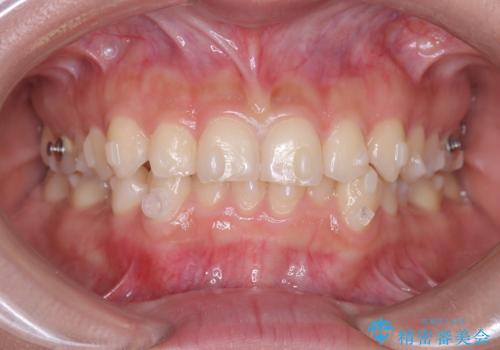
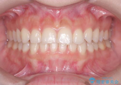
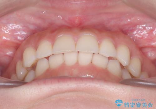
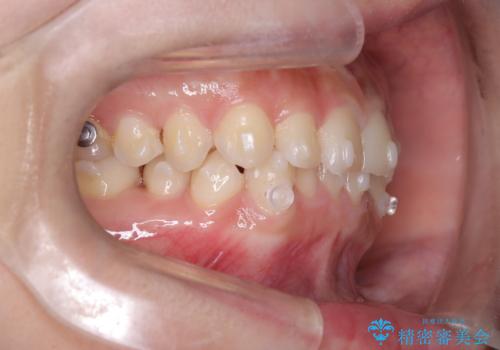
インビザラインを用いて歯を少しずつ移動させながら、IPRで微調整を行い、スペースを確保しました。また、奥歯を遠心移動させることで、前歯を自然な位置に並べることができました。治療後は、「ガタガタがなくなり、スムーズな歯並びになった」と患者様にもご満足いただきました。
マウスピース矯正の注意事項(リスク・副作用など)
- 口腔内・歯並びの状態によっては対応できない場合があります
- マウスピース型矯正装置の長時間装着(1日20時間以上)が必須です
- 治療計画通りに進めるためには、患者様の意志が重要になります
- 矯正治療後の保定が不十分だと後戻り(元の位置に戻ろうとする動き)をします
- 薬機法対象外の矯正歯科装置のため医薬品副作用被害救済制度の対象外となる場合があります
- 自費診療(保険適用外)となります
当サイトの内容、テキスト、画像等の無断転載、複製、複写、盗用を固く禁じます。


















