症例詳細
Case detail
「フルリンガル矯正|アンカースクリューを活用し正中を整えた症例」
治療症例の内容
- 診療科目
- 治療カテゴリ
- 担当医
- 河口智英(ドクタープロフィール)
- 患者様
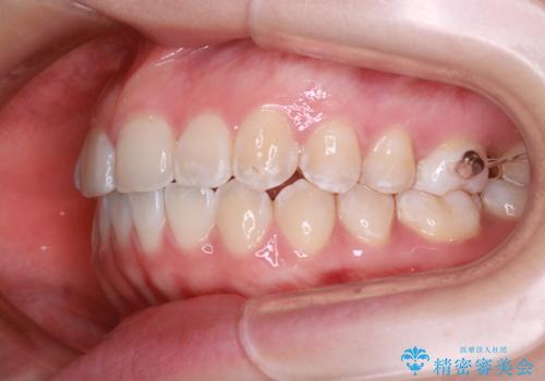
- 20代女性
- 矯正装置
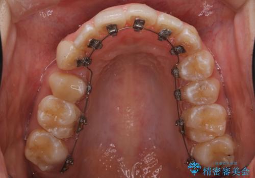
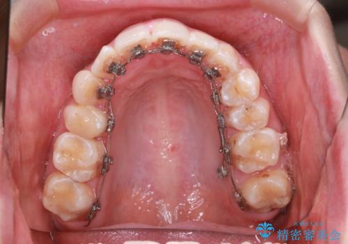
- リンガル装置
- 治療期間
- 2年
- 治療回数
- 30回以上
- 治療計画
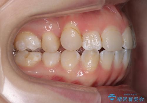
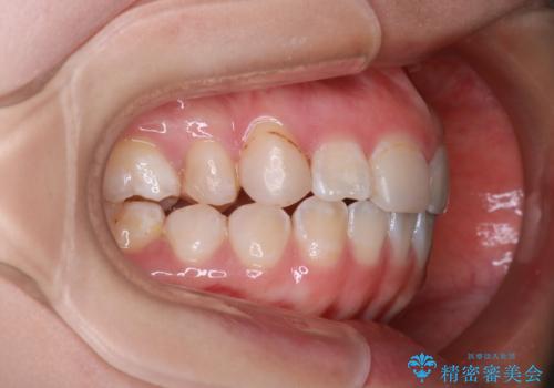
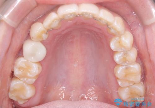
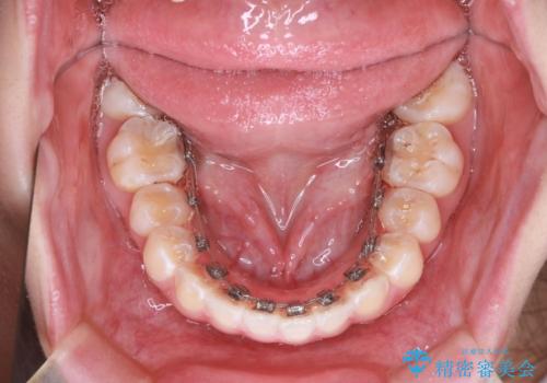
- 他院で矯正治療を受けていた患者様が、より理想的な仕上がりを求めて転院されました。主なお悩みは正中(前歯の中心)がズレていることで、歯並び全体をきれいに整えたいとのご希望でした。治療には舌側(裏側)に装置を装着するフルリンガル矯正を採用し、さらにアンカースクリューを用いて奥歯を後方へ移動(遠心移動)させることでスペースを確保し、正中を調整する計画を立てました。
- 費用(概算)
- 130万円費用は治療当時の料金となります
治療について
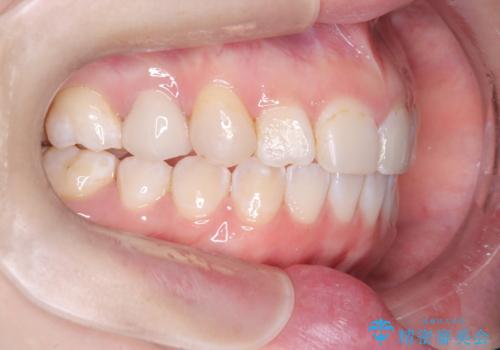
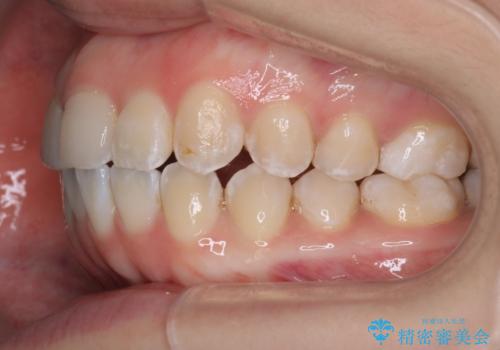
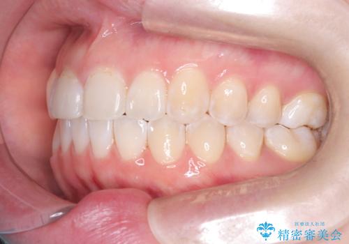
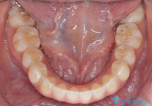
矯正装置を装着し、アンカースクリューを活用しながら奥歯を少しずつ後ろへ動かし、正中を整えていきました。治療には時間がかかりましたが、計画通りに歯を移動させ、バランスの取れた歯並びへと仕上げることができました。裏側矯正のため、見た目を気にすることなく治療を進められた点も、患者様にとって大きなメリットでした。治療後は、「正中がしっかり合って、口元がスッキリした」とご満足いただきました。
ワイヤー矯正の注意事項(リスク・副作用など)
- 治療中は違和感や痛みが起こることがあります
- 症状により、抜歯が必要な場合があります
- 治療中は歯磨きがしにくくなるため、虫歯や歯周病になりやすくなります
- 矯正治療後の保定が不十分だと後戻り(元の位置に戻ろうとする動き)をします
- 自費診療(保険適用外)となります
当サイトの内容、テキスト、画像等の無断転載、複製、複写、盗用を固く禁じます。















