症例詳細
Case detail
奥歯でしっかり噛める、インプラント治療
治療症例の内容
- 担当医
- 大元洋佑(ドクタープロフィール)
- 患者様
- 40代女性
- 治療期間
- 3ヶ月
- 治療回数
- 5-10回
- 治療計画
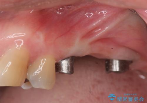
- 奥歯に入れていたブリッジがダメになり歯を抜去、全然噛めなくなった、インプラント治療を受けたい!と奥歯の機能回復を希望され来院されました。
奥歯はすでに3本失った状態で、この状態で歯を入れるには「入れ歯」か、「インプラント」の2択となります。
入れ歯ではなくしっかりと噛んで食事を楽しみたい。という強い希望から、インプラント治療を進めていくこととなりました。
- 費用(概算)
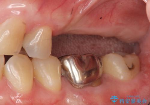
- 110万円(インプラント×2・チタンカスタムアバットメント×2・ジルコニアクラウン×3・仮歯×3)費用は治療当時の料金となります
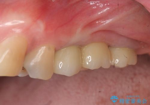
治療について
しっかりと噛めるようになったことで、また食事を楽しんでいただくことができるようになりました。
インプラント治療の注意事項(リスク・副作用など)
- 外科手術のため、術後に痛みや腫れ、違和感を伴います
- メンテナンスを怠ったり喫煙により、お口の中に大きな悪影響を及ぼすインプラント周囲炎等にかかる可能性があります
- 糖尿病、肝硬変、心臓病等の場合、インプラント治療ができない可能性があります
- 高血圧、貧血・不整脈等の場合、インプラント治療後に治癒不全を招く可能性があります
- 自費診療(保険適用外治療)となります
当サイトの内容、テキスト、画像等の無断転載、複製、複写、盗用を固く禁じます。











