症例詳細
Case detail
歯が欠けてしまった。オールセラミッククラウンによる補綴治療
治療症例の内容
- 診療科目
- 治療カテゴリ
- 担当医
- 齋藤佑磨(ドクタープロフィール)
- 患者様
- 50代男性
- 治療期間
- 1ヶ月
- 治療回数
- 2-5回
- 治療計画
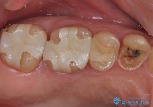
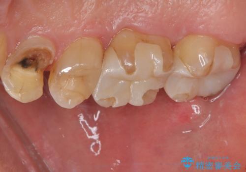
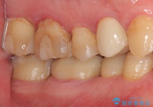
- 食事中に歯が欠けてしまった事を主訴に来院された患者様です。
小臼歯が広範囲に欠けてしまっています。
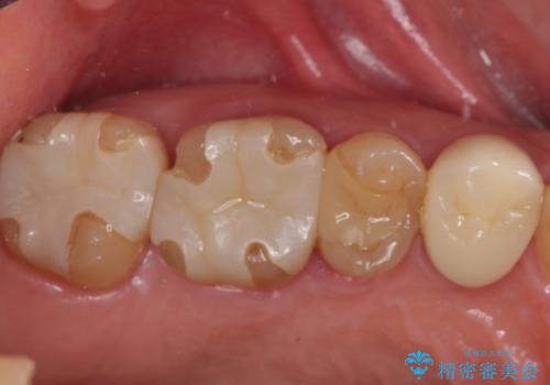
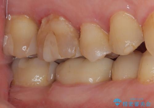
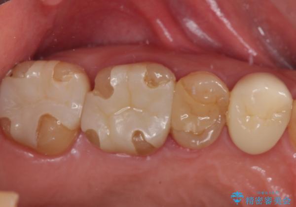
部分的な詰め物では再びかけてしまうリスクが高いため、オールセラミッククランにて補綴治療をすることとしました。
- 費用(概算)
- 13万円(税込)費用は治療当時の料金となります
治療について
精度の高い被せものは二次う蝕のリスクが低いです。
セラミック治療の注意事項(リスク・副作用など)
- 天然歯を削ります
- 硬い素材は天然歯を傷つけてしまう場合があります
- かみ合わせや歯ぎしりが強すぎる方はセラミックが割れてしまう可能性があります
- 自費診療(保険適用外治療)となります
当サイトの内容、テキスト、画像等の無断転載、複製、複写、盗用を固く禁じます。








