症例詳細
Case detail
口元の突出感を改善したい。リンガルアーチを併用した抜歯矯正
治療症例の内容
- 診療科目
- 治療カテゴリ
- 担当医
- 齋藤佑磨(ドクタープロフィール)
- 患者様
- 20代女性
- 矯正装置
- 審美装置
- 治療期間
- 1年8ヶ月
- 治療回数
- 10-30回
- 治療計画
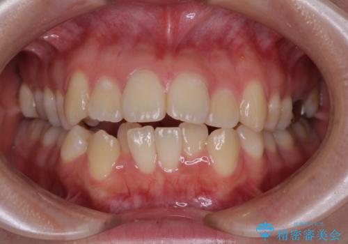
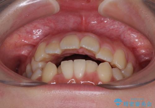
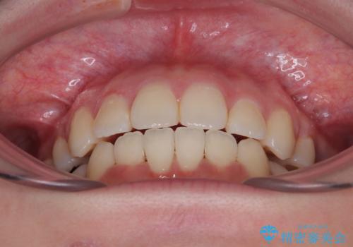
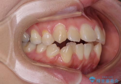
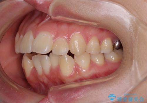
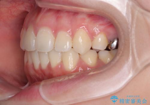
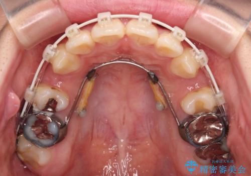
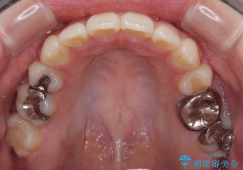
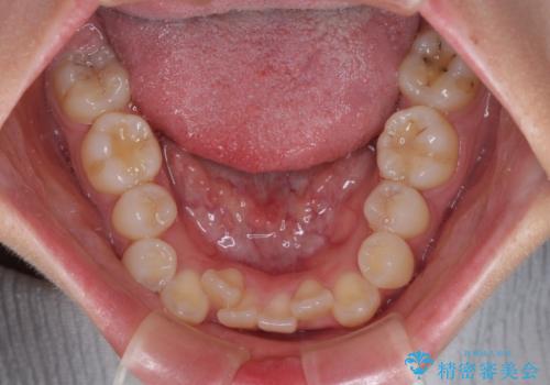
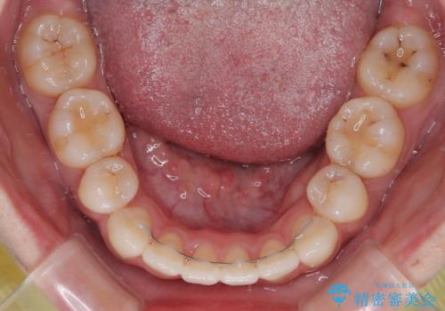
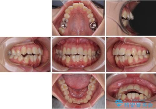
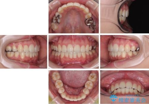
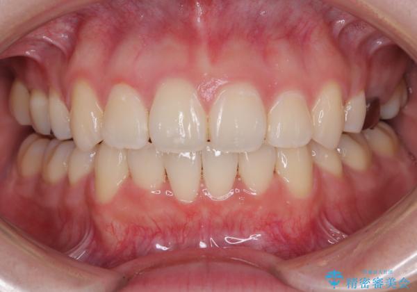
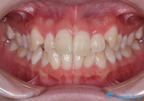
- 下の前歯のデコボコと、口元の突出感を改善したいと来院された患者様です。
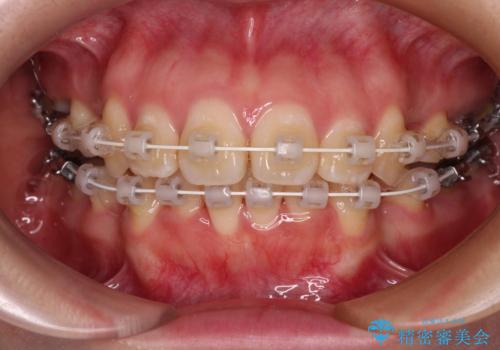
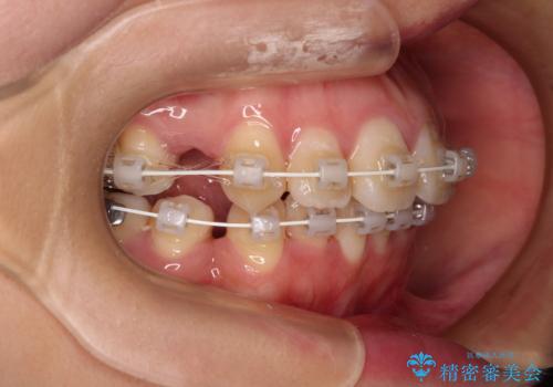
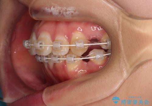
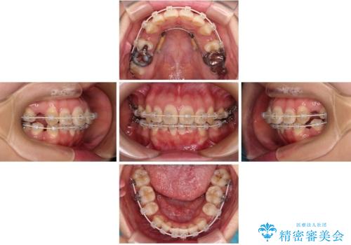
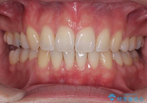
突出感の強い上顎前歯をしっかりと後方移動させるため、上顎の裏側の補助装置(リンガルアーチ)とアンカースクリューを併用しています。
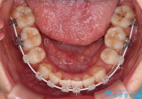
上下左右の第一小臼歯を抜歯して、目立ちにくいワイヤー装置で矯正を行いました。
- 費用(概算)
- 105万円(税込)費用は治療当時の料金となります
治療について
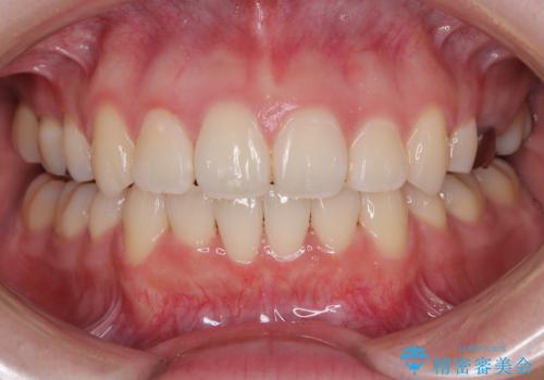
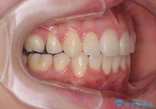
上下の保定用マウスピースの他に、デコボコの強かった下顎前歯にはワイヤーで保定をしています。
ワイヤー矯正の注意事項(リスク・副作用など)
- 治療中は違和感や痛みが起こることがあります
- 症状により、抜歯が必要な場合があります
- 治療中は歯磨きがしにくくなるため、虫歯や歯周病になりやすくなります
- 矯正治療後の保定が不十分だと後戻り(元の位置に戻ろうとする動き)をします
- 自費診療(保険適用外)となります
当サイトの内容、テキスト、画像等の無断転載、複製、複写、盗用を固く禁じます。


























