症例詳細
Case detail
汚れの溜まりやすい銀歯を精度の高いセラミック治療で改善
治療症例の内容
- 担当医
 - 大元洋佑(ドクタープロフィール)
 
- 患者様
 - 30代男性
 
- 治療期間
 - 1ヶ月
 
- 治療回数
 - 2-5回
 
- 治療計画
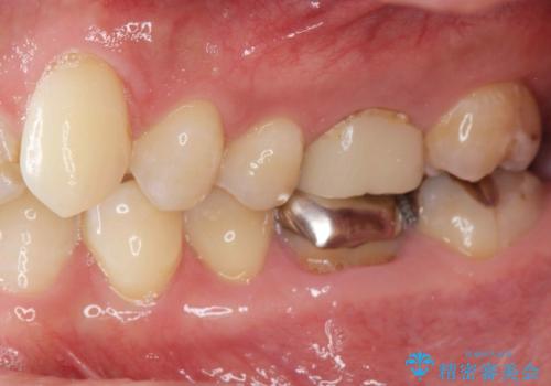
 - 食事のたびに食べ物が詰まる銀歯のやりかえを希望され来院されました。
歯ぐきと銀歯の間に大きな凹みがあり、食べ物が詰まりやすく、また虫歯にもなりやすい状況です。
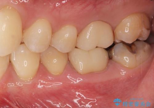
不十分な根管治療も精密根管再治療を行ったのち、精度の高いジルコニアセラミッククラウンで食べ物の詰まらない歯の形態へと改善していきます。 
- 費用(概算)
 - 13.2万円(ジルコニアクラウン・仮歯)費用は治療当時の料金となります
 
治療について
食事のたびに感じていた煩わしい思いから解放され、また大きく目立っていた銀歯も審美的に白く改善し満足いただくことができました。
セラミック治療の注意事項(リスク・副作用など)
- 天然歯を削ります
 - 硬い素材は天然歯を傷つけてしまう場合があります
 - かみ合わせや歯ぎしりが強すぎる方はセラミックが割れてしまう可能性があります
 - 自費診療(保険適用外治療)となります
 
当サイトの内容、テキスト、画像等の無断転載、複製、複写、盗用を固く禁じます。

                      
                                                          






