症例詳細
Case detail
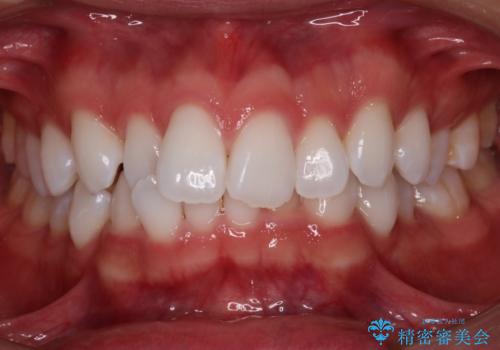
【審美装置】出っ歯を治して口を閉じやすく
治療症例の内容
- 診療科目
- 担当医
- 菊地俊介(ドクタープロフィール)
- 患者様
- 20代女性
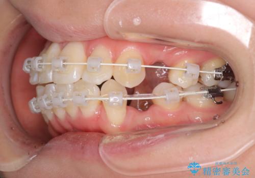
- 矯正装置
- 審美装置
- 治療期間
- 3年
- 治療回数
- 30回以上
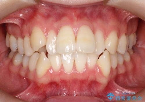
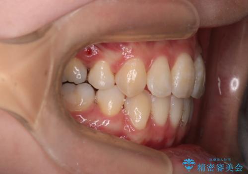
- 治療計画
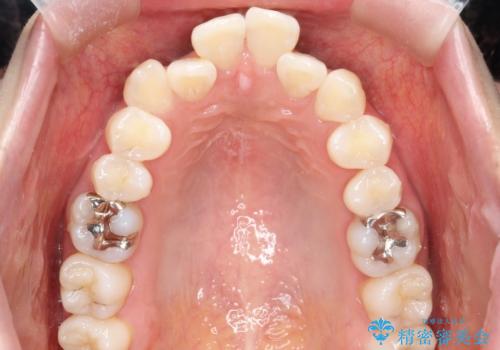
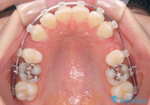
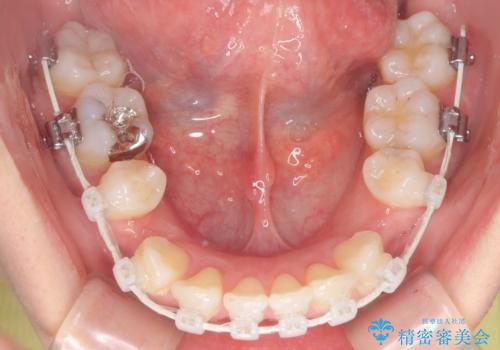
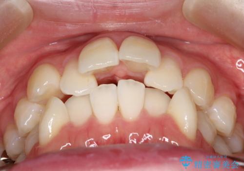
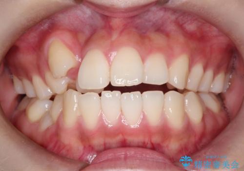
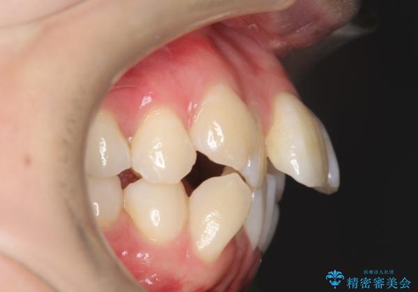
- 出っぱによる口元の閉じにくさを主訴に来院されました。上顎の出っ歯と上下顎叢生も認められたため、上下顎両側4番抜歯を行い、ワイヤー矯正で治療する治療計画を立てました。
上顎にはMI(マイクロインプラント)を埋入して固定源とすることで出っ歯の改善を図りました。
- 費用(概算)
- 118万円(税込)費用は治療当時の料金となります
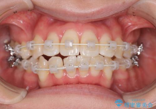
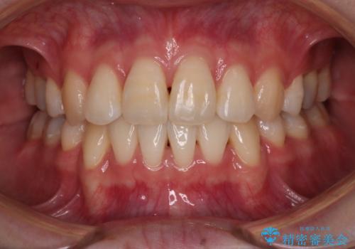
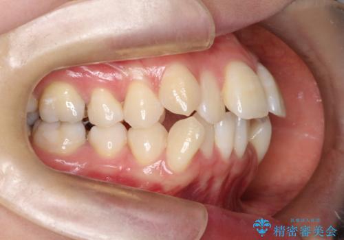
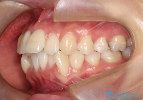
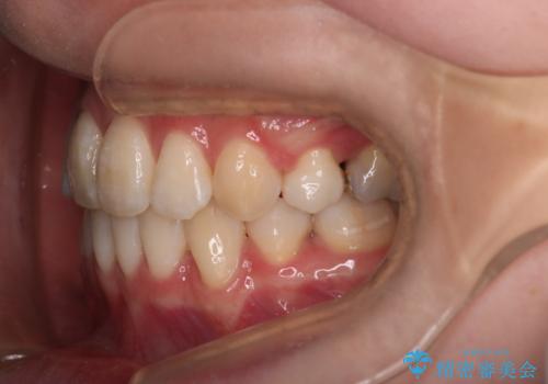
治療について
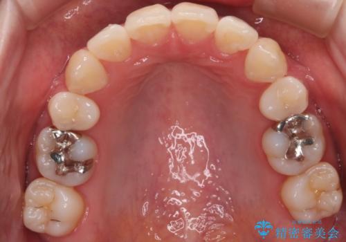
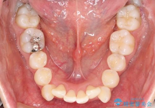
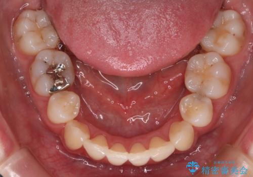
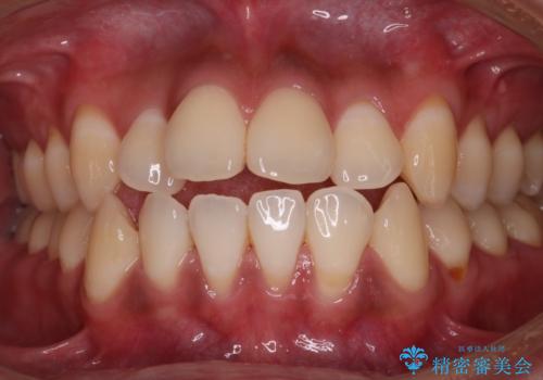
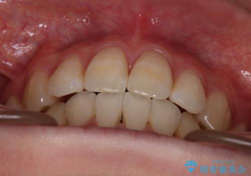
少しスペースクローズに時間がかかりましたが、MIを用いたワイヤー矯正で
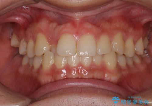
主訴である出っ歯と叢生が改善されました。口も閉じやすくなり、スッキリとした口元になりました。
ワイヤー矯正の注意事項(リスク・副作用など)
- 治療中は違和感や痛みが起こることがあります
- 症状により、抜歯が必要な場合があります
- 治療中は歯磨きがしにくくなるため、虫歯や歯周病になりやすくなります
- 矯正治療後の保定が不十分だと後戻り(元の位置に戻ろうとする動き)をします
- 自費診療(保険適用外)となります
当サイトの内容、テキスト、画像等の無断転載、複製、複写、盗用を固く禁じます。



















