症例詳細
Case detail
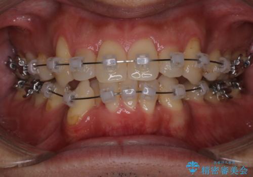
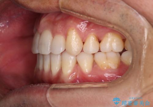
【クリア装置】がたつきを治したい
治療症例の内容
- 診療科目
- 担当医
- 菊地俊介(ドクタープロフィール)
- 患者様
- 30代男性
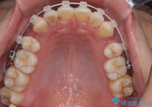
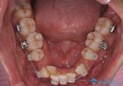
- 矯正装置
- クリア装置
- 治療期間
- 2年6ヶ月
- 治療回数
- 30回以上
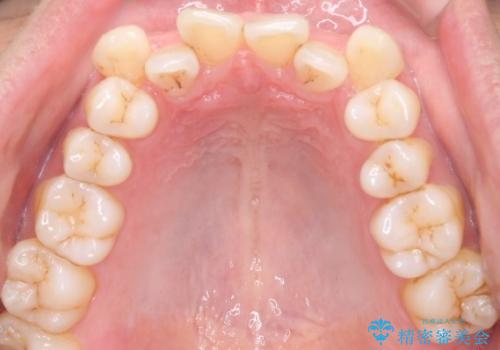
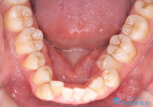
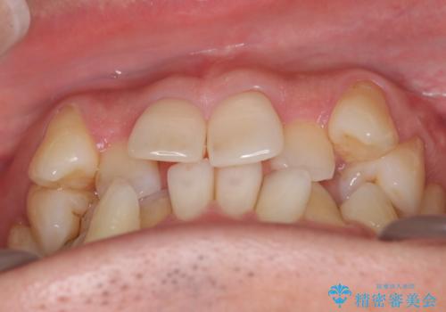
- 治療計画
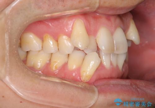
- 歯のガタつきを治したいということで来院されました。叢生量が大きいため、上下顎両側4番を抜歯してワイヤー矯正にて矯正する治療計画を立てました。初診時より歯肉退縮が認められたため、矯正治療による歯肉退縮の可能性をあらかじめ患者様に説明し、納得していただいてから治療を始めました。
- 費用(概算)
- 100万円(税込)費用は治療当時の料金となります
治療について
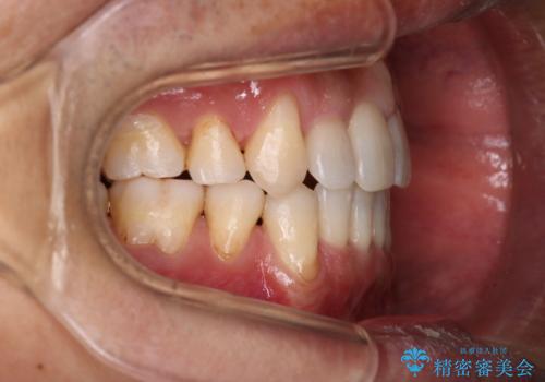
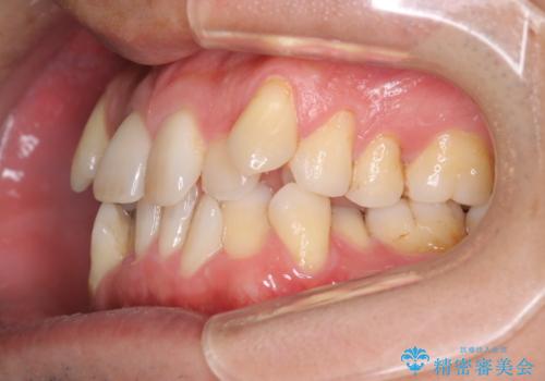
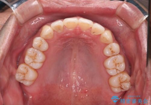
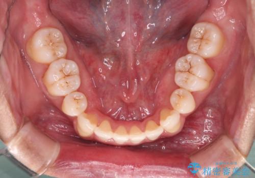
叢生量が大きいため、上下顎両側4番を抜歯しました。矯正治療による歯肉退縮の著しい悪化もなく、主訴であるガタつきも改善できました。
ワイヤー矯正の注意事項(リスク・副作用など)
- 治療中は違和感や痛みが起こることがあります
- 症状により、抜歯が必要な場合があります
- 治療中は歯磨きがしにくくなるため、虫歯や歯周病になりやすくなります
- 矯正治療後の保定が不十分だと後戻り(元の位置に戻ろうとする動き)をします
- 自費診療(保険適用外)となります
当サイトの内容、テキスト、画像等の無断転載、複製、複写、盗用を固く禁じます。



















