症例詳細
Case detail
【モニター】開咬(オープンバイト)を治したい ワイヤー装置
治療症例の内容
- 診療科目
- 担当医
- 菊地俊介(ドクタープロフィール)
- 患者様
- 30代女性
- 矯正装置
- 審美装置
- 治療期間
- 1年
- 治療回数
- 10-30回
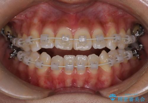
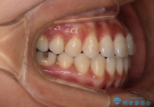
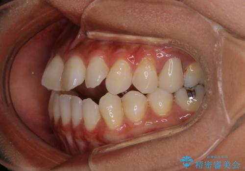
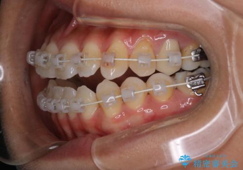
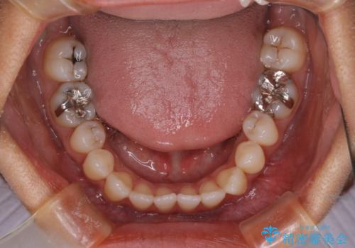
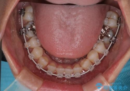
- 治療計画
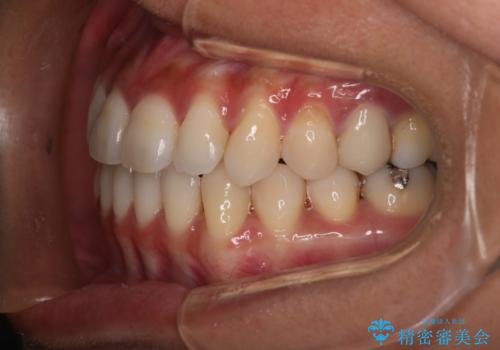
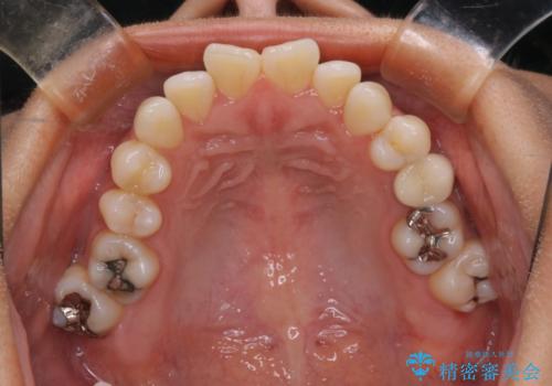
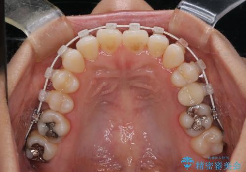
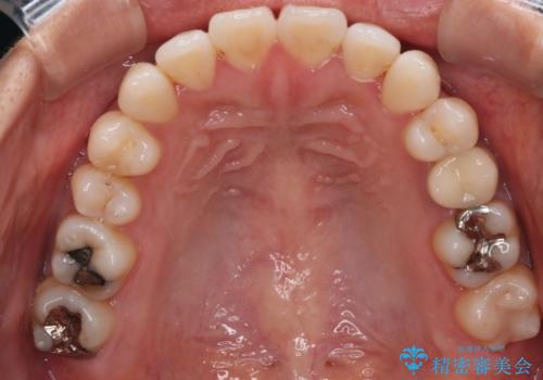
- 開咬を主訴に来院されました。前歯部に開咬、右側大臼歯部にクロスバイトが認められます。ワイヤー矯正の審美装置で治療し、ゴム掛けを行いながら噛み合わせを改善しました。
- 費用(概算)
- 99万円(税込)費用は治療当時の料金となります
治療について
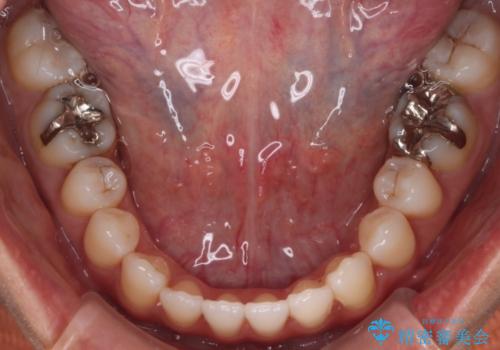
主訴である開咬と右側大臼歯部クロスバイトを改善でき、しっかりと噛むことができるようになりました。
ワイヤー矯正の注意事項(リスク・副作用など)
- 治療中は違和感や痛みが起こることがあります
- 症状により、抜歯が必要な場合があります
- 治療中は歯磨きがしにくくなるため、虫歯や歯周病になりやすくなります
- 矯正治療後の保定が不十分だと後戻り(元の位置に戻ろうとする動き)をします
- 自費診療(保険適用外)となります
当サイトの内容、テキスト、画像等の無断転載、複製、複写、盗用を固く禁じます。

















