症例詳細
Case detail
- 患者様
- 50代女性
- 治療期間
- 1年6ヶ月
- 治療回数
- 10-30回
- 治療計画
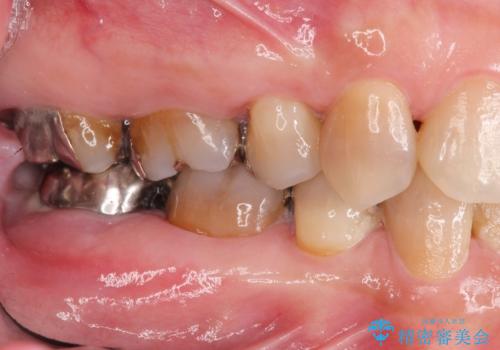
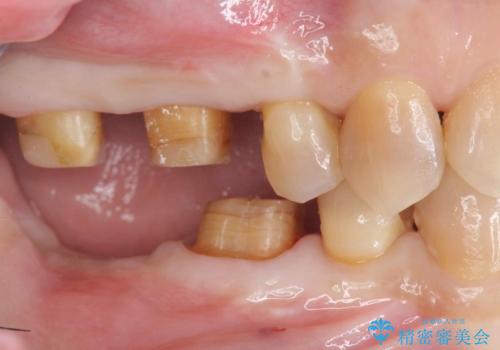
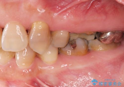
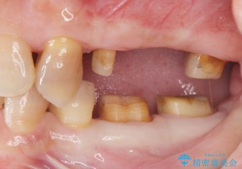
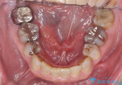
- ぐらぐらする歯や銀歯、なんとなくにおいのする奥歯の治療を求めて来院されました。
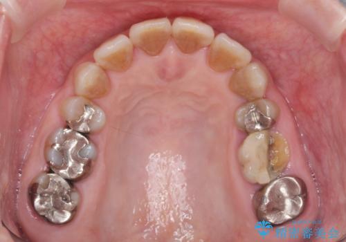
X線、歯周組織検査の結果、全体的に奥歯には重度〜中等度の歯周病の問題が見られました。
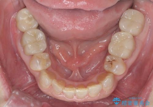
残すことのできない歯、予後の悪い歯を抜去し、ブリッジイ・ンプラントによる機能回復をおこなっていくと同時に、残すことのできる歯には歯周病治療をしっかりと行い、
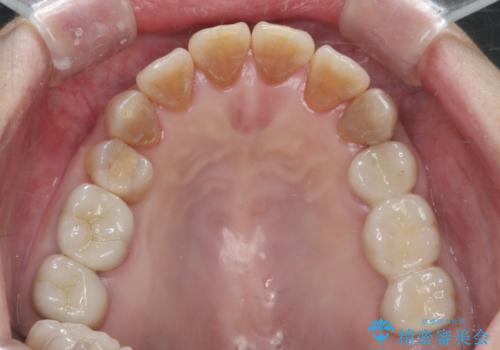
将来に渡りしっかりと自分の歯で噛めるような口腔内環境を構築していきます。
- 費用(概算)
- 220万円費用は治療当時の料金となります
治療について
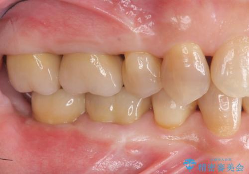
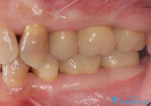
においやぐらつきなどの深い症状がなくなり、しっかりと噛めるようになった!と喜んでいただくことができました。
歯周病治療の注意事項(リスク・副作用など)
- 外科手術のため、術後に痛みや腫れ、違和感を伴います
- 歯周組織再生治療は患者様の状態によって術後の経過が異なります(見た目が改善しない場合もあります)
- 歯周組織再生治療は自費診療(保険適用外)となります
インプラント治療の注意事項(リスク・副作用など)
- 外科手術のため、術後に痛みや腫れ、違和感を伴います
- メンテナンスを怠ったり喫煙により、お口の中に大きな悪影響を及ぼすインプラント周囲炎等にかかる可能性があります
- 糖尿病、肝硬変、心臓病等の場合、インプラント治療ができない可能性があります
- 高血圧、貧血・不整脈等の場合、インプラント治療後に治癒不全を招く可能性があります
- 自費診療(保険適用外治療)となります
セラミック治療の注意事項(リスク・副作用など)
- 天然歯を削ります
- 硬い素材は天然歯を傷つけてしまう場合があります
- かみ合わせや歯ぎしりが強すぎる方はセラミックが割れてしまう可能性があります
- 自費診療(保険適用外治療)となります
当サイトの内容、テキスト、画像等の無断転載、複製、複写、盗用を固く禁じます。














