症例詳細
Case detail
自転車で転んで前歯を損傷 前歯のオールセラミッククラウン
治療症例の内容
- 診療科目
- 治療カテゴリ
- 担当医
- 藤巻太一朗(ドクタープロフィール)
- 患者様
- 30代男性
- 治療期間
- 1年
- 治療回数
- 10-30回
- 治療計画
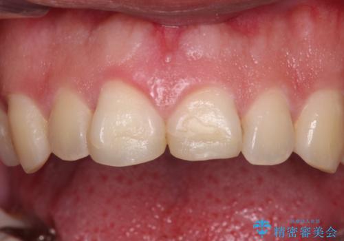
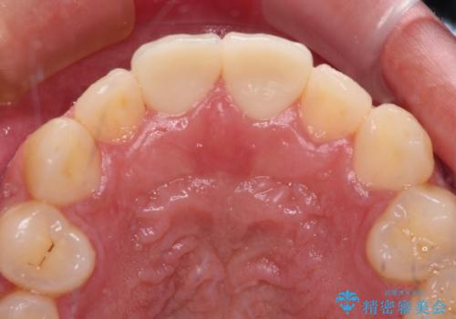
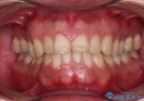
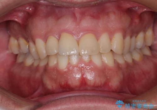
- 自転車で転んで前歯をぶつけたとのことで来院された患者様です。
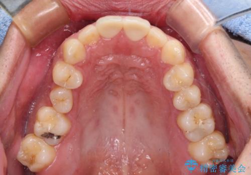
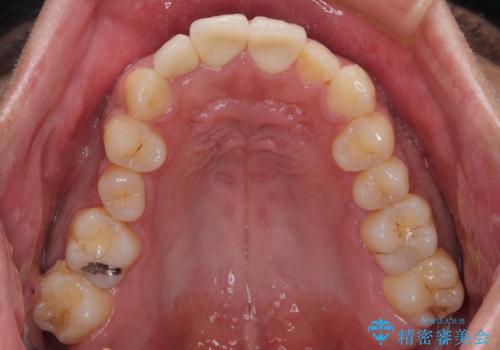
事故後に受診した病院の歯科にて前歯2本の欠損した部分を修復されておりましたが、見た目が気になるとのことで、オールセラミッククラウンにて補綴治療を行うこととしました。
神経組織の状態を確認しましたが、片方は正常反応でしたが、他方は鈍い反応しかありませんでした。
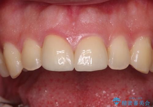
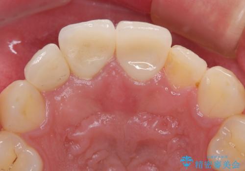
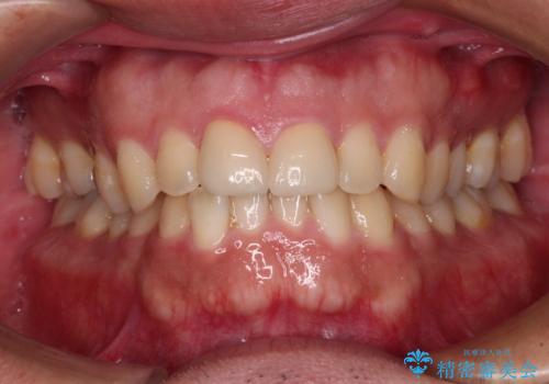
速やかにオールセラミッククラウンにて補綴治療を行い、数ヶ月後に再度神経組織の状態を確認して、失活しているようであれば根管治療を行うこととしました。
しかしながら、補綴治療後間もなく再度自転車事故に遭い、追加1本の計3本を損傷する事態となりました。
再度損傷した3本は完全に失活した状態であったため、速やかに根管治療を行い、オールセラミッククラウンにて補綴治療を行うこととしました。
- 費用(概算)
- 治療費の目安: 66万円(税込)費用は治療当時の料金となります
治療について
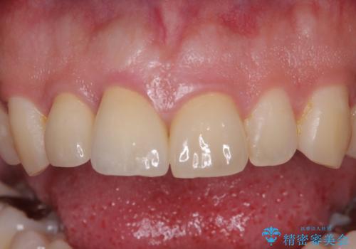
歯が欠けるほどの強い衝撃を受けると、歯根が溶けてしまう外部吸収という現象を起こすことがあるため、補綴治療後しばらく様子を見ておりましたが、何と三度自転車事故に遭いかけてしまいました。
セラミック治療の注意事項(リスク・副作用など)
- 天然歯を削ります
- 硬い素材は天然歯を傷つけてしまう場合があります
- かみ合わせや歯ぎしりが強すぎる方はセラミックが割れてしまう可能性があります
- 自費診療(保険適用外治療)となります
当サイトの内容、テキスト、画像等の無断転載、複製、複写、盗用を固く禁じます。


















