症例詳細
Case detail
前歯のデコボコとクロスバイト ワイヤー装置での抜歯矯正
治療症例の内容
- 診療科目
- 治療カテゴリ
- 担当医
- 藤巻太一朗(ドクタープロフィール)
- 患者様
- 30代女性
- 矯正装置
- 審美装置
- 治療期間
- 3年
- 治療回数
- 30回以上
- 治療計画
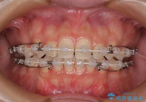
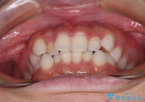
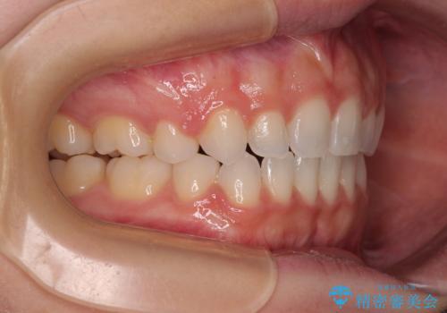
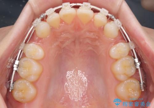
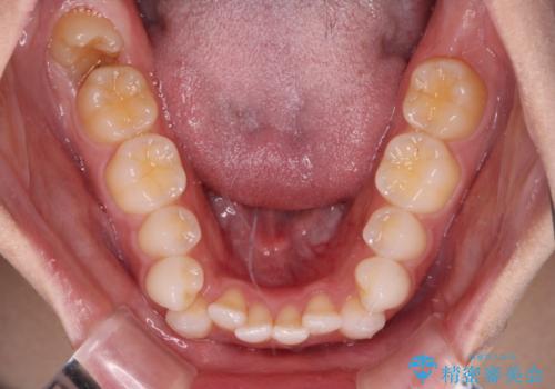
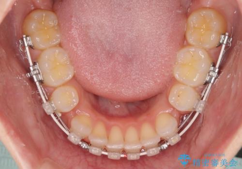
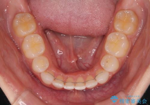
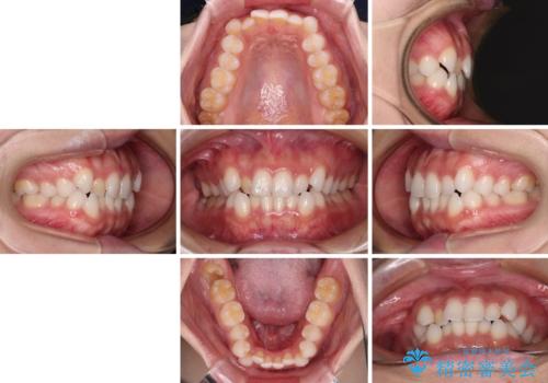
- 前歯のデコボコとクロスバイトを気にして来院された患者様です。
上下ともにデコボコはそれほど強くありませんでしたが、非抜歯では口元が突出した仕上がりとなる可能性があるため、上下左右の第一小臼歯4本を抜歯し、ワイヤー装置での抜歯矯正を行うこととしました
- 費用(概算)
- 治療費の目安: 95万円(税込)費用は治療当時の料金となります
治療について
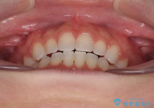
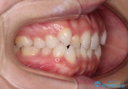
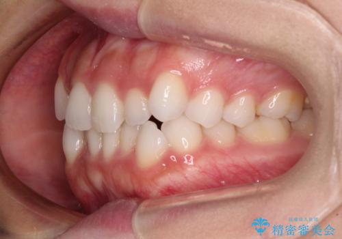
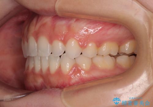
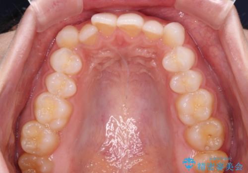
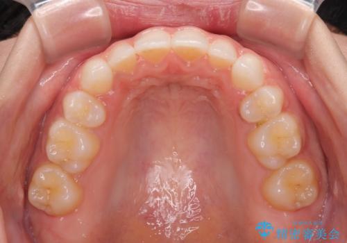
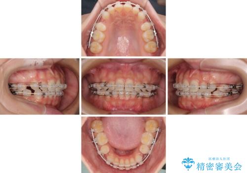
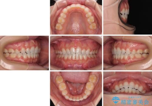
スペースを閉じるために期間を要しましたが、無事に綺麗な口元に仕上げることができました。
ワイヤー矯正の注意事項(リスク・副作用など)
- 治療中は違和感や痛みが起こることがあります
- 症状により、抜歯が必要な場合があります
- 治療中は歯磨きがしにくくなるため、虫歯や歯周病になりやすくなります
- 矯正治療後の保定が不十分だと後戻り(元の位置に戻ろうとする動き)をします
- 自費診療(保険適用外)となります
当サイトの内容、テキスト、画像等の無断転載、複製、複写、盗用を固く禁じます。


























