症例詳細
Case detail
目立つ銀歯をセラミックに 奥歯の審美歯科治療
治療症例の内容
- 患者様
- 50代女性
- 治療期間
- 1年
- 治療回数
- 10-30回
- 治療計画
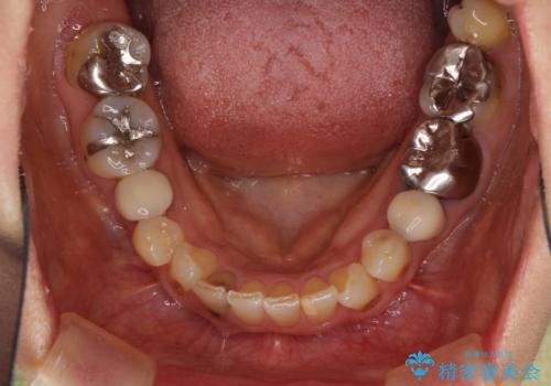
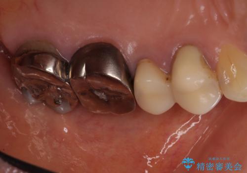
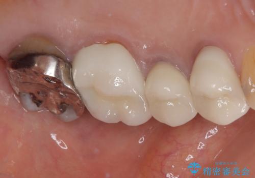
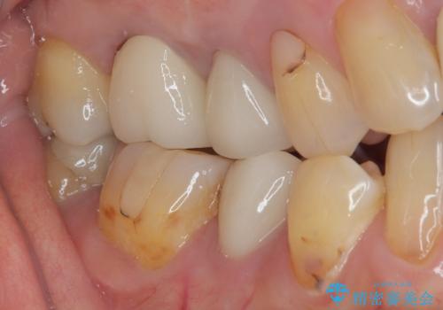
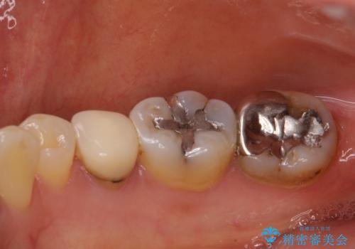
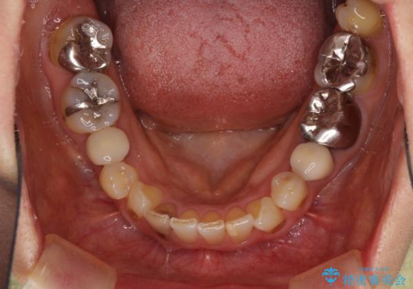
- 目立つ銀歯を気にして来院された患者様です。
奥歯を中心に銀歯が多く装着されており、一部の歯は咬合時に痛みを感じている状態でした。
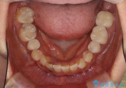
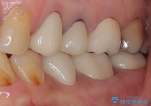
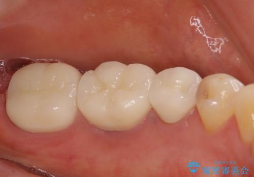
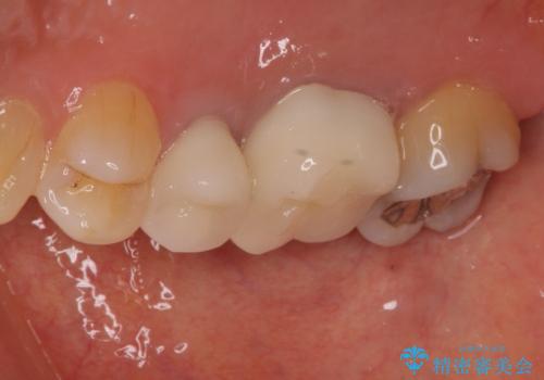
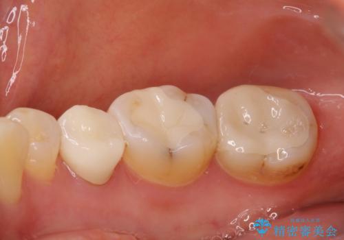
必要な歯に根管治療を行い、オールセラミッククラウンにて補綴治療を行うこととしました。
- 費用(概算)
- 治療費の目安: 165万円(税込)費用は治療当時の料金となります
治療について
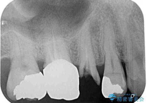
一部根管治療では症状が改善しなかったため、歯根端切除術を行いました。
セラミック治療の注意事項(リスク・副作用など)
- 天然歯を削ります
- 硬い素材は天然歯を傷つけてしまう場合があります
- かみ合わせや歯ぎしりが強すぎる方はセラミックが割れてしまう可能性があります
- 自費診療(保険適用外治療)となります
根管治療の注意事項(リスク・副作用など)
- 根管治療により類似の全ての症例の問題が解決するわけではなく、症例はあくまでも一例です
- 根管治療により痛みや腫れがひかない事や、術後に痛みや腫れが生じる事、治療によるファイル破折やパーフォレーションなどの偶発症、術後の歯根破折を生じる可能性もあります
- 自費診療(保険適用外)となります
当サイトの内容、テキスト、画像等の無断転載、複製、複写、盗用を固く禁じます。




















