症例詳細
Case detail
審美装置を用いたワイヤー矯正|非抜歯で歯の凸凹を改善
治療症例の内容
- 担当医
- 河口智英(ドクタープロフィール)
- 患者様
- 40代女性
- 治療期間
- 2年
- 治療回数
- 30回以上
- 治療計画
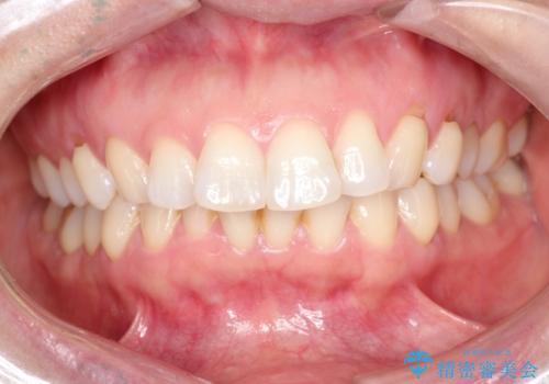
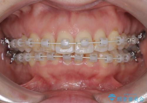
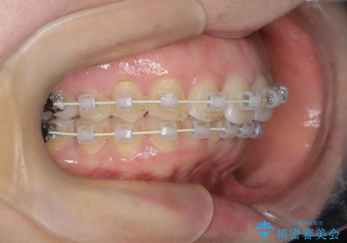
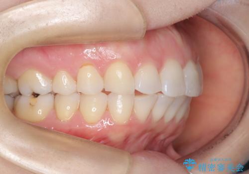
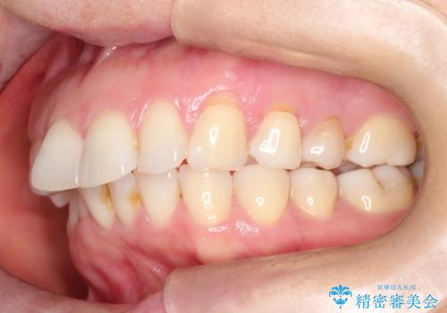
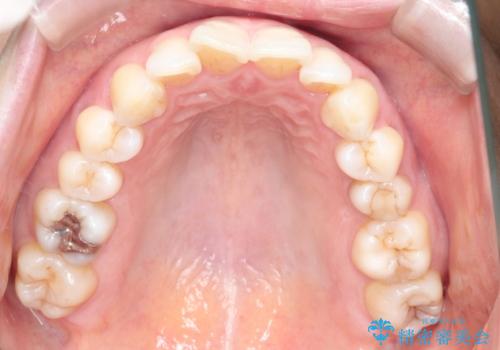
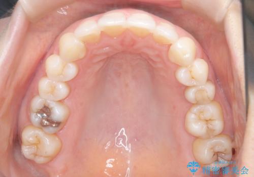
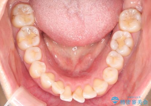
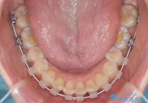
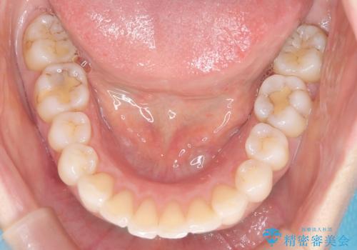
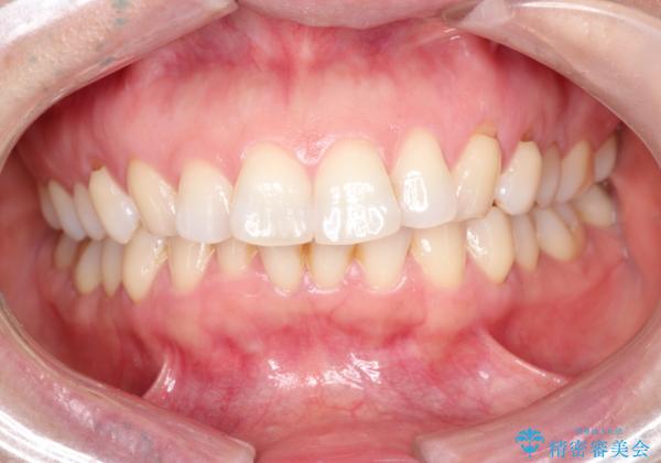
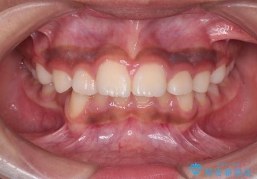
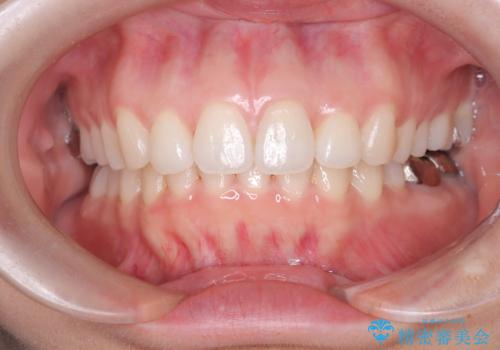
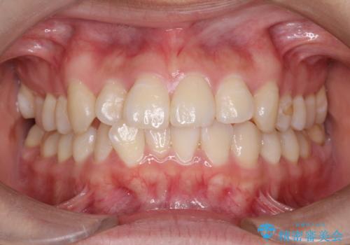
- 患者様は**歯の凸凹(叢生)**を気にされて来院されました。診査の結果、歯列のスペースが不足しているものの、抜歯をせずに改善できる状態でした。そこで、目立ちにくい審美装置(白いブラケットとホワイトワイヤー)を使用したワイヤー矯正を提案しました。歯列のアーチを広げながら、適宜IPR(歯の幅をわずかに調整する処置)を行い、非抜歯で自然な歯並びへと導く計画を立てました。
- 費用(概算)
- 80万円費用は治療当時の料金となります
治療について
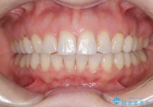
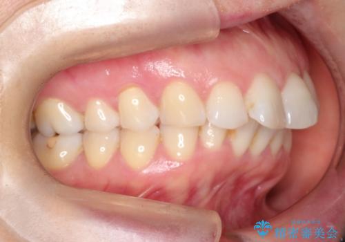
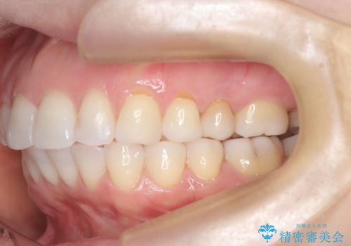
治療では、白いブラケットとホワイトワイヤーを使用し、矯正装置が目立ちにくいよう配慮しました。歯列を拡大しながら適切に歯を移動させ、IPRを併用することで、無理なくスペースを確保しました。見た目に配慮しながら、歯の凸凹をスムーズに整え、噛み合わせも改善。患者様からは「装置が思ったより目立たず、歯並びがきれいになって嬉しい」との声をいただきました。
ワイヤー矯正の注意事項(リスク・副作用など)
- 治療中は違和感や痛みが起こることがあります
- 症状により、抜歯が必要な場合があります
- 治療中は歯磨きがしにくくなるため、虫歯や歯周病になりやすくなります
- 矯正治療後の保定が不十分だと後戻り(元の位置に戻ろうとする動き)をします
- 自費診療(保険適用外)となります
当サイトの内容、テキスト、画像等の無断転載、複製、複写、盗用を固く禁じます。















