症例詳細
Case detail
左上の八重歯を抜歯矯正|インビザライン×ワイヤー矯正の併用で理想の歯並びへ
治療症例の内容
- 診療科目
- 治療カテゴリ
- 担当医
- 河口智英(ドクタープロフィール)
- 患者様
- 30代女性
- 治療期間
- 3年
- 治療回数
- 10-30回
- 治療計画
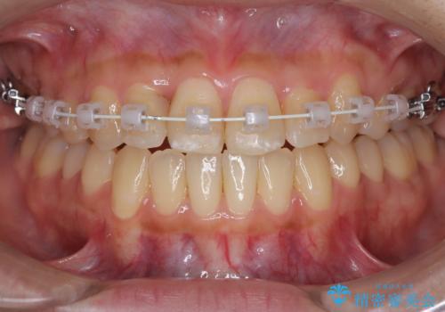
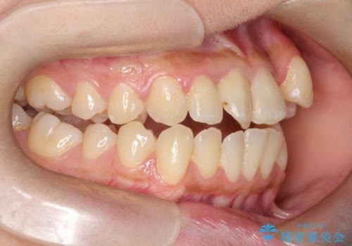
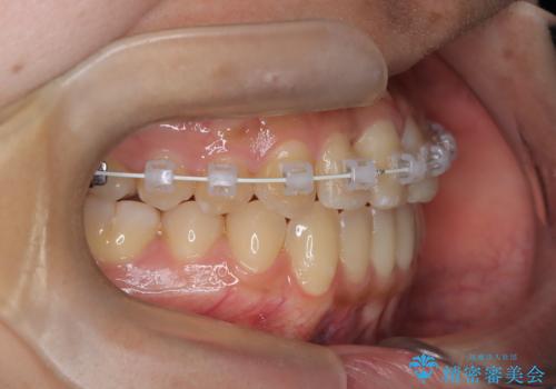
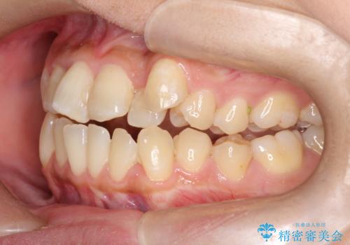
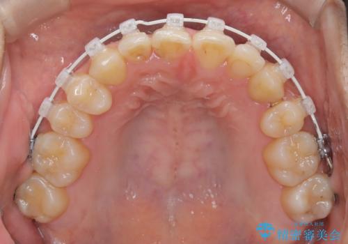
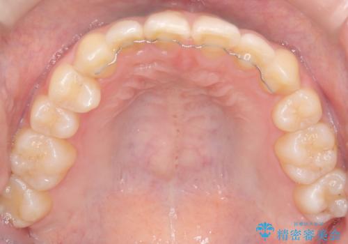
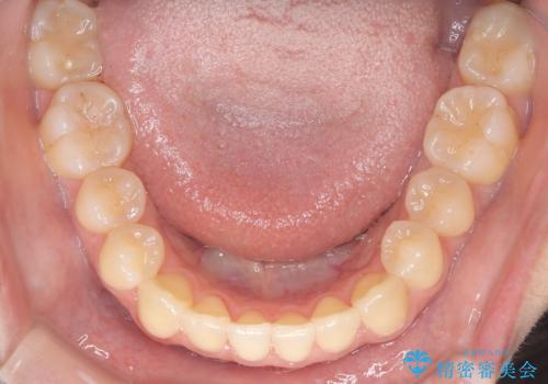
- 患者様は左上の八重歯を気にされて来院されました。八重歯による歯列の乱れだけでなく、翼状捻転(歯がねじれるように生えている状態)も見られました。目立たない矯正を希望されていたため、**インビザライン(マウスピース矯正)**を選択し、左上の小臼歯を抜歯してスペースを作りながら歯を並べる治療計画を立てました。しかし、治療の途中で翼状捻転の改善が十分に進まなかったため、患者様の希望も踏まえ、上顎のみワイヤー矯正に変更することとなりました。
- 費用(概算)
- 90万円費用は治療当時の料金となります
治療について
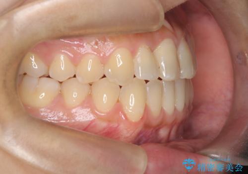
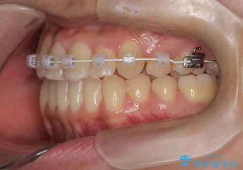
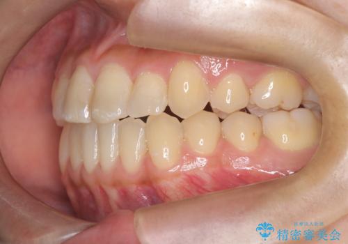
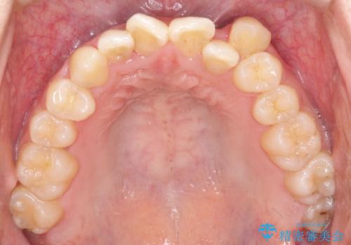
治療開始時はインビザラインを使用し、全体の歯並びを整えながら抜歯スペースを活用して歯を後方へ移動させました。しかし、左上の八重歯のねじれが強く、マウスピースのみでは十分にコントロールできないことが判明。そこで、より細かく歯を動かすために上顎のみワイヤー矯正へ切り替えました。ワイヤー矯正によって翼状捻転も改善し、最終的にバランスの取れた歯並びと噛み合わせを実現。患者様からは「長い治療だったけれど、しっかり整って満足」と嬉しいお言葉をいただきました。
マウスピース矯正の注意事項(リスク・副作用など)
- 口腔内・歯並びの状態によっては対応できない場合があります
- マウスピース型矯正装置の長時間装着(1日20時間以上)が必須です
- 治療計画通りに進めるためには、患者様の意志が重要になります
- 矯正治療後の保定が不十分だと後戻り(元の位置に戻ろうとする動き)をします
- 薬機法対象外の矯正歯科装置のため医薬品副作用被害救済制度の対象外となる場合があります
- 自費診療(保険適用外)となります
ワイヤー矯正の注意事項(リスク・副作用など)
- 治療中は違和感や痛みが起こることがあります
- 症状により、抜歯が必要な場合があります
- 治療中は歯磨きがしにくくなるため、虫歯や歯周病になりやすくなります
- 矯正治療後の保定が不十分だと後戻り(元の位置に戻ろうとする動き)をします
- 自費診療(保険適用外)となります
当サイトの内容、テキスト、画像等の無断転載、複製、複写、盗用を固く禁じます。















