症例詳細
Case detail
インビザライン×ワイヤー矯正の併用で理想の歯並びへ|MTMで小臼歯のねじれも改善
治療症例の内容
- 担当医
- 河口智英(ドクタープロフィール)
- 患者様
- 20代女性
- 治療期間
- 2年
- 治療回数
- 5-10回
- 治療計画
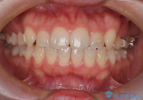
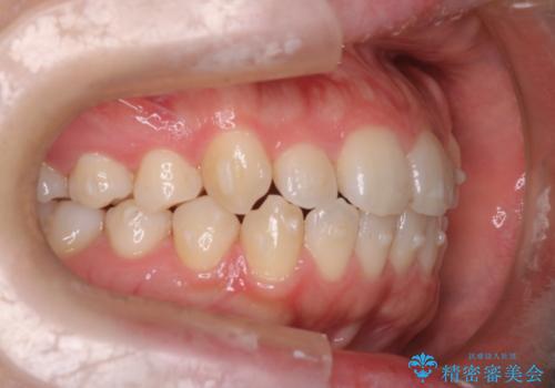
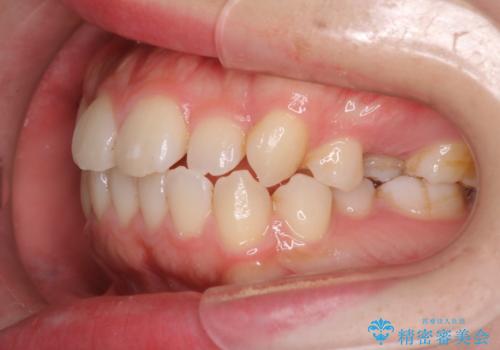
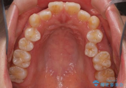
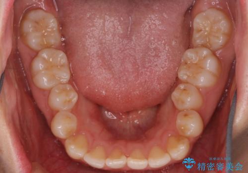
- 患者様は歯並びの乱れを気にされて来院されました。特に小臼歯の捻転(ねじれ)が強く、見た目だけでなく噛み合わせにも影響がありました。できるだけ目立たない方法を希望されていたため、インビザライン(マウスピース矯正)を基本としつつ、より精密な動きが必要な部分にはワイヤー矯正を併用する計画を立てました。また、小臼歯の捻転については**部分矯正(MTM:Minor Tooth Movement)**を取り入れ、効率的に改善を目指しました。
- 費用(概算)
- 80万円費用は治療当時の料金となります
治療について
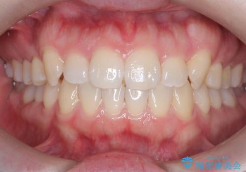
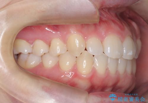
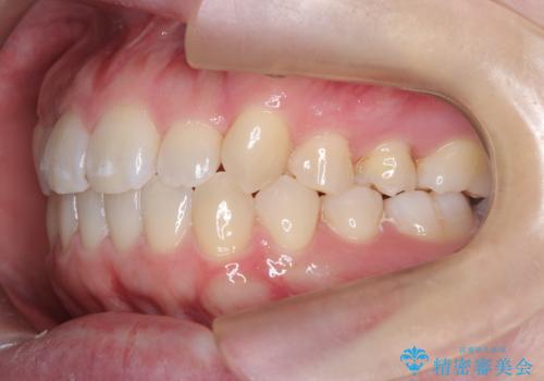
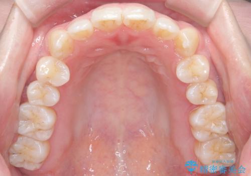
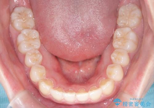
まず、全体の歯並びを整えるためにインビザラインを使用し、徐々に理想的な位置へと歯を移動させました。一方で、ねじれの強い小臼歯に対しては、**部分的なワイヤー矯正(MTM)**を行い、より精密なコントロールを実施。約2年の治療期間を経て、歯並びと噛み合わせが整い、見た目の美しさだけでなく、機能的な改善も達成しました。患者様からは「自然な仕上がりで、自信を持って笑えるようになった」と喜びの声をいただきました。
マウスピース矯正の注意事項(リスク・副作用など)
- 口腔内・歯並びの状態によっては対応できない場合があります
- マウスピース型矯正装置の長時間装着(1日20時間以上)が必須です
- 治療計画通りに進めるためには、患者様の意志が重要になります
- 矯正治療後の保定が不十分だと後戻り(元の位置に戻ろうとする動き)をします
- 薬機法対象外の矯正歯科装置のため医薬品副作用被害救済制度の対象外となる場合があります
- 自費診療(保険適用外)となります
当サイトの内容、テキスト、画像等の無断転載、複製、複写、盗用を固く禁じます。














