症例詳細
Case detail
他院の根管治療後の違和感を解消!精密な根管治療で健康な歯を守る
治療症例の内容
- 診療科目
- 治療カテゴリ
- 担当医
- 河口智英(ドクタープロフィール)
- 患者様
- 40代女性
- 治療期間
- 2ヶ月
- 治療回数
- 2-5回
- 治療計画
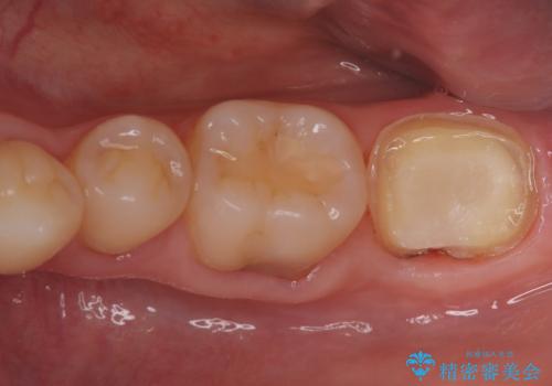
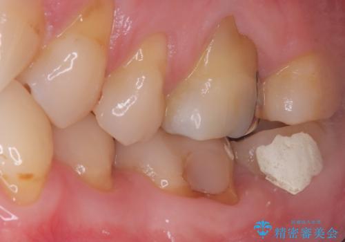
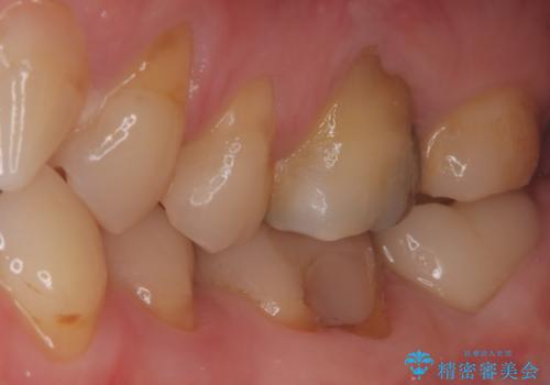
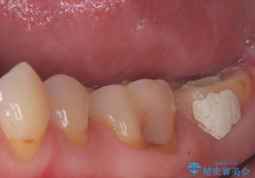
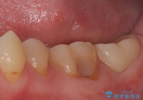
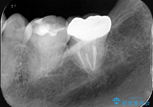
- 患者様は、他院で根管治療を受けたものの、違和感が続くため「しっかりとした治療を受けたい」とのご希望で来院されました。診査の結果、根管内の感染が完全に除去されておらず、根の先に炎症が残っている状態でした。そこで、精密根管治療を行い、感染源を徹底的に除去する計画を立てました。マイクロスコープを使用し、4回の治療で根の内部を清潔にし、最終的にしっかりと密封することで、長期的な安定を目指しました。
- 費用(概算)
- 28万円費用は治療当時の料金となります
治療について
治療は、まず根管内の古い充填材を取り除き、感染部分を徹底的に洗浄・消毒することから始めました。ラバーダム防湿を使用し、治療中の細菌感染を防ぎながら、マイクロスコープを用いて根管の細部まで確認しながら処置を進めました。4回の治療で感染の除去と根管の封鎖を行い、最終的に土台を立てて被せ物の準備を整えました。患者様からは「違和感がなくなり、噛んでも痛くない」と喜びの声をいただきました。
セラミック治療の注意事項(リスク・副作用など)
- 天然歯を削ります
- 硬い素材は天然歯を傷つけてしまう場合があります
- かみ合わせや歯ぎしりが強すぎる方はセラミックが割れてしまう可能性があります
- 自費診療(保険適用外治療)となります
根管治療の注意事項(リスク・副作用など)
- 根管治療により類似の全ての症例の問題が解決するわけではなく、症例はあくまでも一例です
- 根管治療により痛みや腫れがひかない事や、術後に痛みや腫れが生じる事、治療によるファイル破折やパーフォレーションなどの偶発症、術後の歯根破折を生じる可能性もあります
- 自費診療(保険適用外)となります
当サイトの内容、テキスト、画像等の無断転載、複製、複写、盗用を固く禁じます。









