症例詳細
Case detail
口元の突出感を改善したい。審美装置による抜歯矯正
治療症例の内容
- 診療科目
- 治療カテゴリ
- 担当医
- 齋藤佑磨(ドクタープロフィール)
- 患者様
- 20代女性
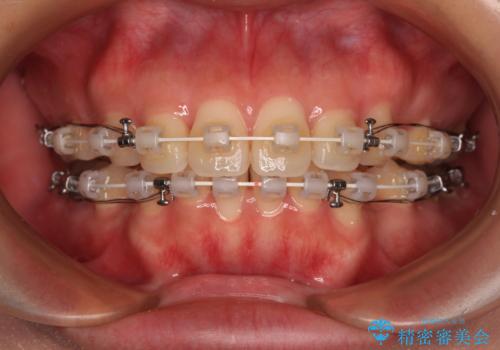
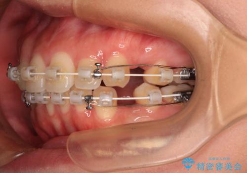
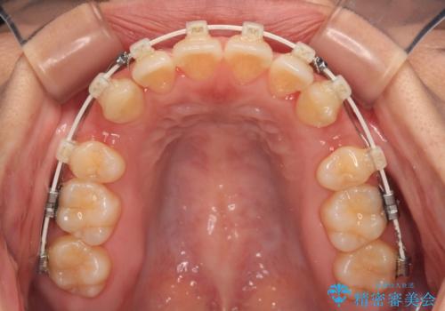
- 矯正装置
- 審美装置
- 治療期間
- 2年
- 治療回数
- 10-30回
- 治療計画
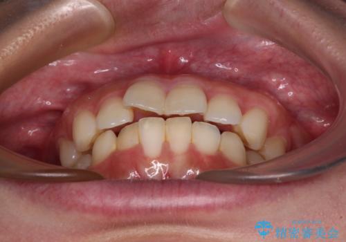
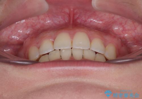
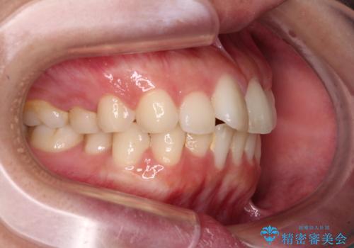
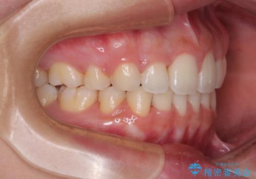
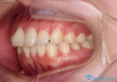
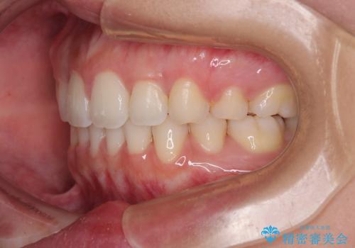
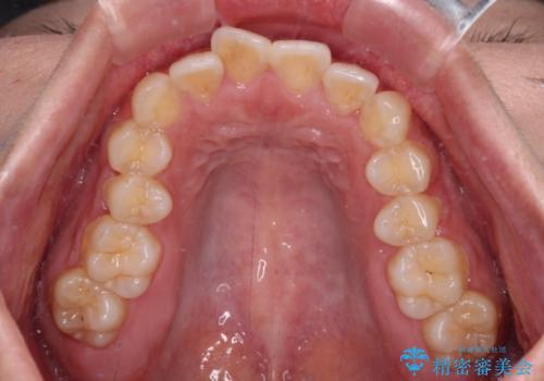
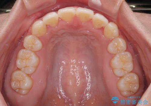
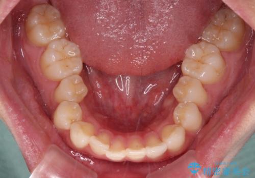
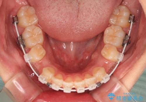
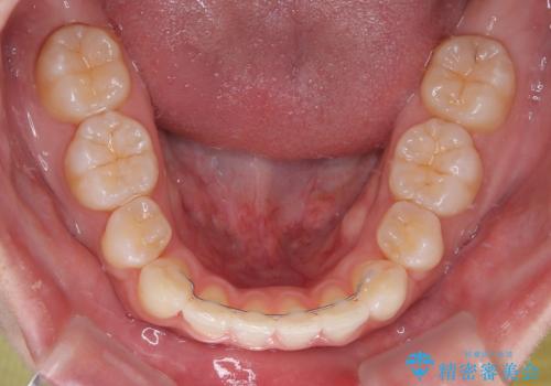
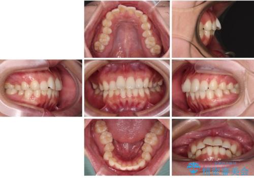
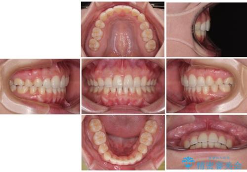
- 全体的なデコボコと口元の突出感を改善したいとのことで来院された患者様です。
このままデコボコを整えるとさらに突出感が増すため、上下左右の第一小臼歯を抜歯し、ワイヤー装置にて矯正しました。
- 費用(概算)
- 105万円(税込)費用は治療当時の料金となります
治療について
結婚式で途中装置を外した時期がありましたが、2年で治療を終えることができました。
ワイヤー矯正の注意事項(リスク・副作用など)
- 治療中は違和感や痛みが起こることがあります
- 症状により、抜歯が必要な場合があります
- 治療中は歯磨きがしにくくなるため、虫歯や歯周病になりやすくなります
- 矯正治療後の保定が不十分だと後戻り(元の位置に戻ろうとする動き)をします
- 自費診療(保険適用外)となります
当サイトの内容、テキスト、画像等の無断転載、複製、複写、盗用を固く禁じます。


























