症例詳細
Case detail
抜歯したところにインプラント治療をしたい。
治療症例の内容
- 担当医
- 齋藤佑磨(ドクタープロフィール)
- 患者様
- 50代男性
- 治療期間
- 5ヶ月
- 治療回数
- 5-10回
- 治療計画
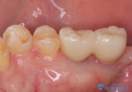
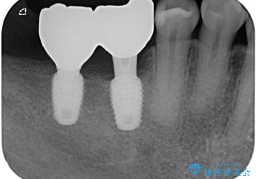
- 以前抜歯をして歯がないところにインプラント治療をしたいと来院された患者様です。
1年くらい前に他院で抜歯をしたそうです。
レントゲンで確認すると骨は十分にあるので通法通りインプラントによる補綴治療を行いました。
- 費用(概算)
- 75万円(税込)費用は治療当時の料金となります
治療について
歯が欠損している状態が長期にわたると、噛みあう歯が落ちてきて、矯正治療などが必要になることがあります。
インプラント治療の注意事項(リスク・副作用など)
- 外科手術のため、術後に痛みや腫れ、違和感を伴います
- メンテナンスを怠ったり喫煙により、お口の中に大きな悪影響を及ぼすインプラント周囲炎等にかかる可能性があります
- 糖尿病、肝硬変、心臓病等の場合、インプラント治療ができない可能性があります
- 高血圧、貧血・不整脈等の場合、インプラント治療後に治癒不全を招く可能性があります
- 自費診療(保険適用外治療)となります
セラミック治療の注意事項(リスク・副作用など)
- 天然歯を削ります
- 硬い素材は天然歯を傷つけてしまう場合があります
- かみ合わせや歯ぎしりが強すぎる方はセラミックが割れてしまう可能性があります
- 自費診療(保険適用外治療)となります
当サイトの内容、テキスト、画像等の無断転載、複製、複写、盗用を固く禁じます。












