症例詳細
Case detail
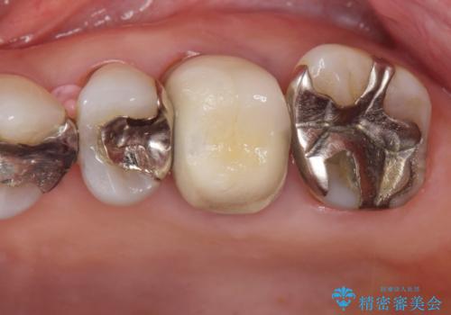
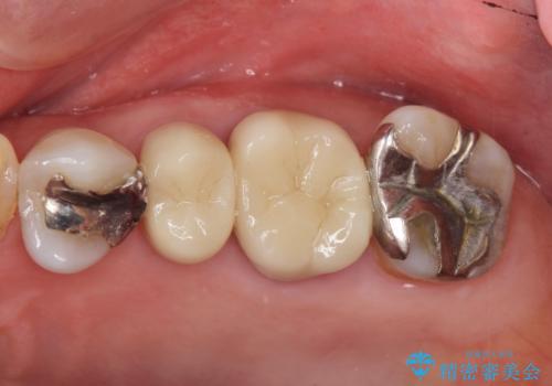
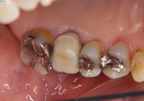
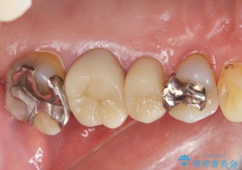
70代女性 段差のある被せ物のやり替え
治療症例の内容
- 患者様
- 70代女性
- 治療期間
- 4ヶ月
- 治療回数
- 10-30回
- 治療計画
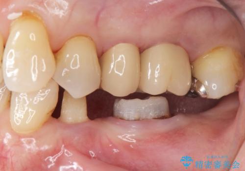
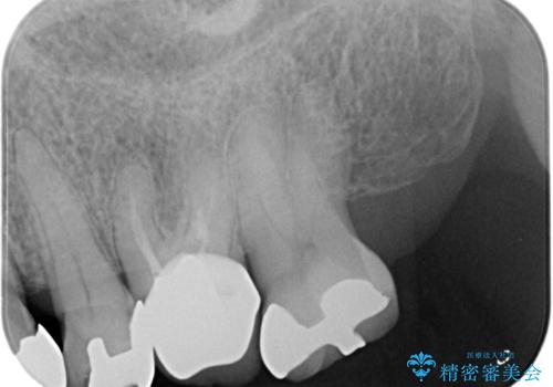
- 左下の大臼歯(6番)の根の治療を行いました。
 後方の歯が欠損していた為、インプラントをお勧めしましたが希望されませんでした。
 
 その代わり、現在ある歯をしっかり治療することになり、左上下の治療を行っています。
 左下6番の根管治療は六本木院の林院長にお願いしています。
 
- 費用(概算)
- 約80万円費用は治療当時の料金となります
治療について
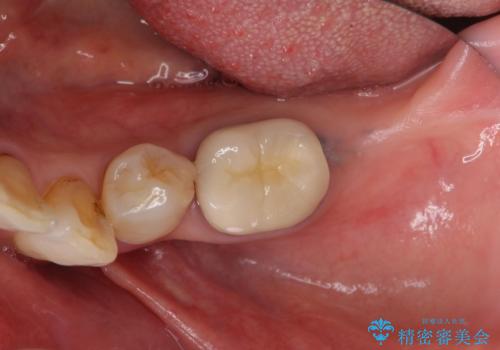
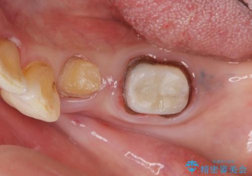
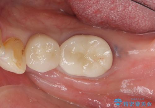
左上56間が狭かったため、写真にはないですが、セパレーションを2回ほど行い、歯根間距離を広げてから処置を行っています。
歯と歯の間(特に歯根と歯根の間)が異常に狭いと歯型が正確にとれない上に歯間ブラシも入らないような歯の形態になり、セルフケアに支障がでてきます。
そのまま無理やり歯型を取って製作するよりも、ご自身で清掃ができる形態にできるため、長期的な予後が期待できます。
セラミック治療の注意事項(リスク・副作用など)
- 天然歯を削ります
- 硬い素材は天然歯を傷つけてしまう場合があります
- かみ合わせや歯ぎしりが強すぎる方はセラミックが割れてしまう可能性があります
- 自費診療(保険適用外治療)となります
根管治療の注意事項(リスク・副作用など)
- 根管治療により類似の全ての症例の問題が解決するわけではなく、症例はあくまでも一例です
- 根管治療により痛みや腫れがひかない事や、術後に痛みや腫れが生じる事、治療によるファイル破折やパーフォレーションなどの偶発症、術後の歯根破折を生じる可能性もあります
- 自費診療(保険適用外)となります
当サイトの内容、テキスト、画像等の無断転載、複製、複写、盗用を固く禁じます。








 
                       
                                                          


















 
                   
                  