症例詳細
Case detail
放置していたむし歯 抜歯即時埋入インプラントで負担を軽減
治療症例の内容
- 患者様
- 40代男性
- 治療期間
- 3ヶ月
- 治療回数
- 5-10回
- 治療計画
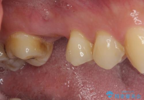
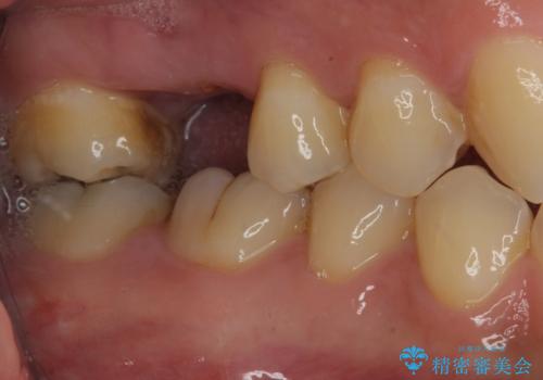
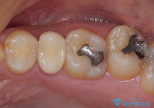
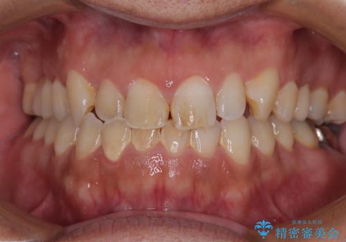
- 放置していたむし歯を治療したいとのことで来院された患者様です。
仕事が忙しいことを言い訳に虫歯を放置してきたものの、強い痛みを感じたことがあったため、重い腰を上げて来院されたとのことでした。
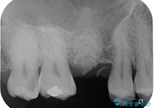
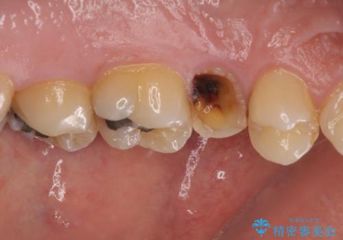
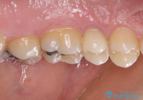
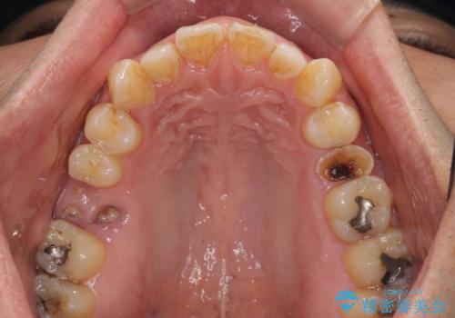
強い痛みのあった歯は、既に神経組織が失活しており根管治療が必要でした。
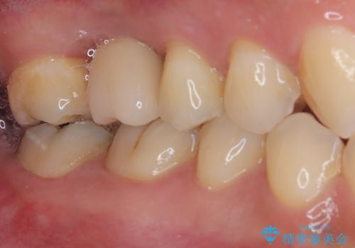
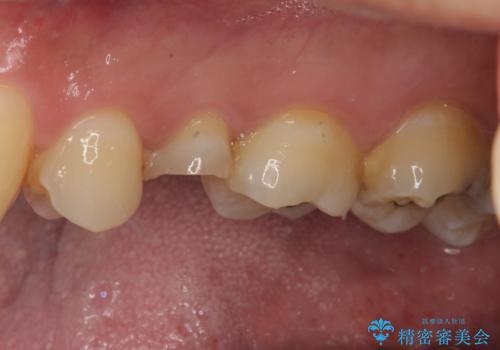
反対側の歯は、歯根だけが歯肉に埋もれて残っている状態のため、抜歯が必要な状態でした。
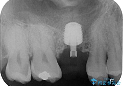
歯根だけとなっている歯はインプラントに、神経組織の失活している歯は根管治療を行い、いずれもオールセラミッククラウンにて補綴治療を行うこととしました。
- 費用(概算)
- 治療費の目安: 70万円(税込)費用は治療当時の料金となります
治療について
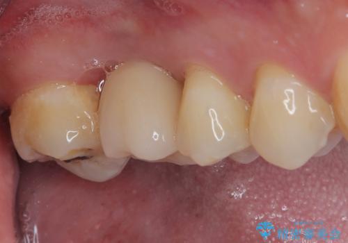
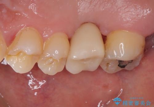
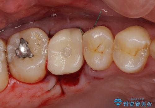
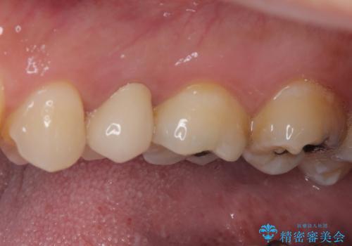
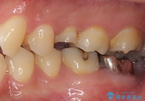
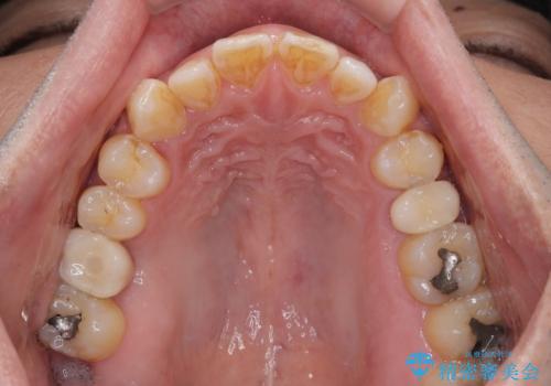
インプラント処置は、抜歯即時埋入を行い、十分な安定性が確認できたため、当日仮歯を装着しました。
インプラントが生着するのを待っている間に反対側の根管治療を行い、左右同時に補綴治療を行いました。
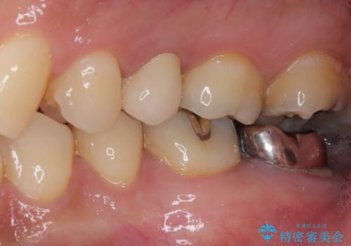
補綴治療後3ヶ月での経過は良好で、引き続き経過観察を行っていきます。
インプラント治療の注意事項(リスク・副作用など)
- 外科手術のため、術後に痛みや腫れ、違和感を伴います
- メンテナンスを怠ったり喫煙により、お口の中に大きな悪影響を及ぼすインプラント周囲炎等にかかる可能性があります
- 糖尿病、肝硬変、心臓病等の場合、インプラント治療ができない可能性があります
- 高血圧、貧血・不整脈等の場合、インプラント治療後に治癒不全を招く可能性があります
- 自費診療(保険適用外治療)となります
根管治療の注意事項(リスク・副作用など)
- 根管治療により類似の全ての症例の問題が解決するわけではなく、症例はあくまでも一例です
- 根管治療により痛みや腫れがひかない事や、術後に痛みや腫れが生じる事、治療によるファイル破折やパーフォレーションなどの偶発症、術後の歯根破折を生じる可能性もあります
- 自費診療(保険適用外)となります
当サイトの内容、テキスト、画像等の無断転載、複製、複写、盗用を固く禁じます。






























