症例詳細
Case detail
前歯のフチが黒いのが気になる 前歯のセラミック治療
治療症例の内容
- 診療科目
- 治療カテゴリ
- 担当医
- 大元洋佑(ドクタープロフィール)
- 患者様
- 40代女性
- 治療期間
- 1ヶ月
- 治療回数
- 5-10回
- 治療計画
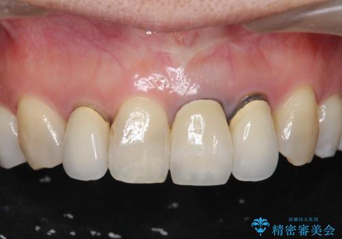
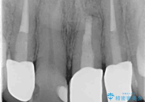
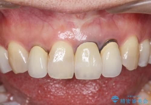
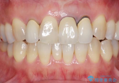
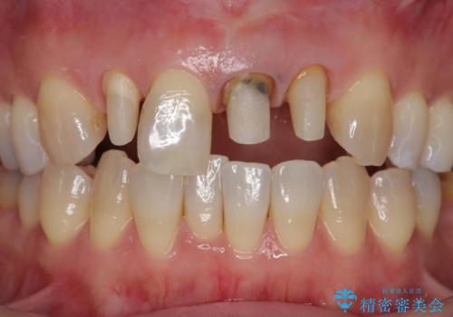
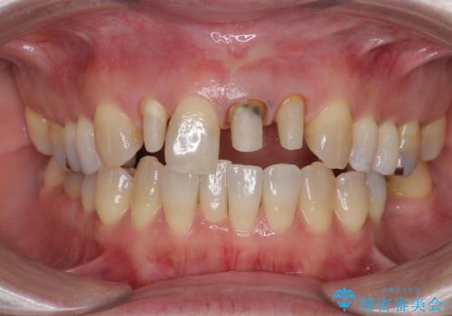
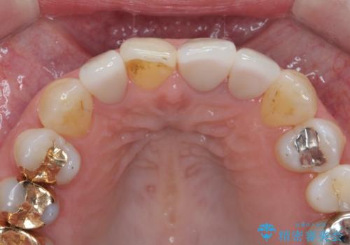
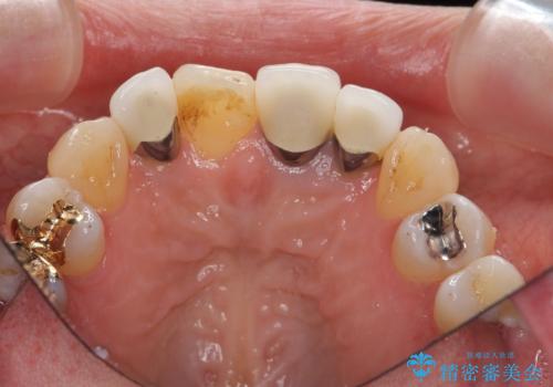
- 前歯のクラウンの歯肉の位置が年々変化し、歯ぐきのフチが黒くなってしまった、綺麗にしたいと希望されて来院されました。
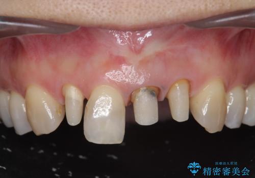
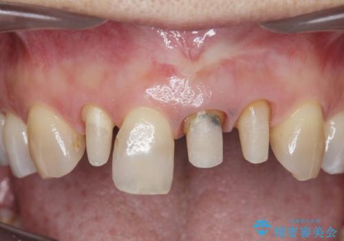
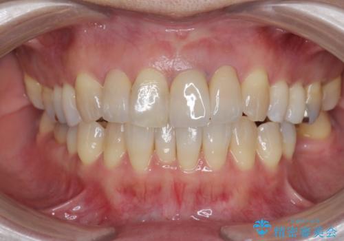
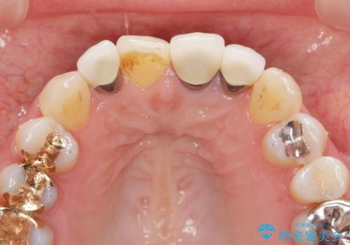
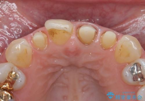
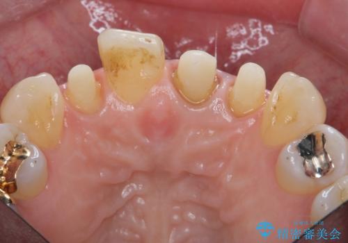
装着されているセラミッククラウンを除去したのち、現在の歯ぐきのラインにしっかりと合う精度の高いオールセラミッククラウンを作製していきます。
- 費用(概算)
- 39.6万円(ジルコニアクラウン×3・仮歯×3)費用は治療当時の料金となります
治療について
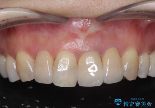
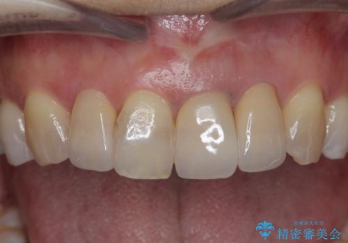
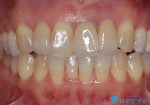
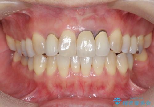
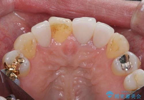
周囲の歯に調和したセラミッククラウンを作製し、審美性を大幅に向上させることができました。
セラミック治療の注意事項(リスク・副作用など)
- 天然歯を削ります
- 硬い素材は天然歯を傷つけてしまう場合があります
- かみ合わせや歯ぎしりが強すぎる方はセラミックが割れてしまう可能性があります
- 自費診療(保険適用外治療)となります
当サイトの内容、テキスト、画像等の無断転載、複製、複写、盗用を固く禁じます。





















