症例詳細
Case detail
歯槽堤保存を併用し清掃性を高めたブリッジ治療
治療症例の内容
- 診療科目
- 治療カテゴリ
- 担当医
- 大元洋佑(ドクタープロフィール)
- 患者様
- 40代女性
- 治療期間
- 3ヶ月
- 治療回数
- 5-10回
- 治療計画
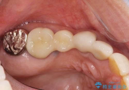
- ぐらぐらする小臼歯の治療を求めて来院されました。
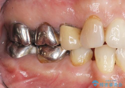
X線検査、歯周組織検査より、歯は割れてしまい周囲の骨が高度に吸収してしまっている状態でした。
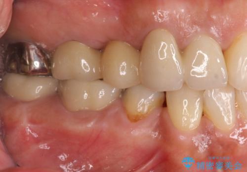
合わせて周囲の根尖病変や銀歯を治療するためにインプラントではなく、ご相談の上ブリッジ治療を行う治療計画としました。
また単純に抜歯のみを行うと歯ぐきが大きく凹み、ブリッジの清掃性が損なわれることが予想されるため、抜歯時に歯槽堤保存術を行い
清掃性の高い仕上がりとなるよう配慮しています。
- 費用(概算)
- 58.3万円(ジルコニアクラウン×4・仮歯×4・歯槽堤保存術)費用は治療当時の料金となります
治療について
ブリッジによる補綴を行うことで周囲の歯の噛み合わせも改善ししっかりと噛むことができるようになりました。
セラミック治療の注意事項(リスク・副作用など)
- 天然歯を削ります
- 硬い素材は天然歯を傷つけてしまう場合があります
- かみ合わせや歯ぎしりが強すぎる方はセラミックが割れてしまう可能性があります
- 自費診療(保険適用外治療)となります
当サイトの内容、テキスト、画像等の無断転載、複製、複写、盗用を固く禁じます。















