症例詳細
Case detail
はじめて虫歯ができた ゴールドインレー修復
治療症例の内容
- 診療科目
- 治療カテゴリ
- 担当医
- 有澤哲郎(ドクタープロフィール)
- 患者様
- 20代女性
- 治療期間
- 1ヶ月
- 治療回数
- 2-5回
- 治療計画
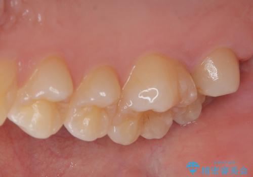
- 他院で虫歯があると言われたので診てほしいとのことで来院された患者様です。来院時特に症状もなく、レントゲンにて右上7に虫歯を認めました。
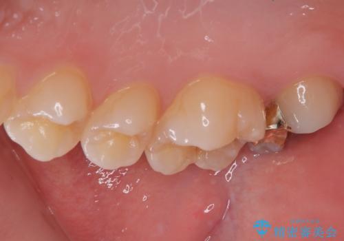
ゴールドインレーとセラミックインレーで迷われていたので両方のメリット、デメリットを説明してゴールドインレーで治療を進めていくこととなりました。
拡大鏡視野下で虫歯を除去し、ゴールドインレーに適した形に整えました。
歯と歯茎の間に圧排糸と言われる糸を入れてシリコーン印象材にて型どりをしました。
- 費用(概算)
- 10万円(税込み)費用は治療当時の料金となります
治療について
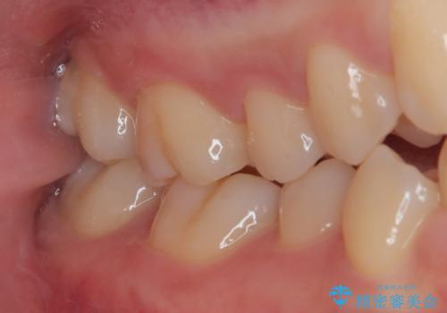
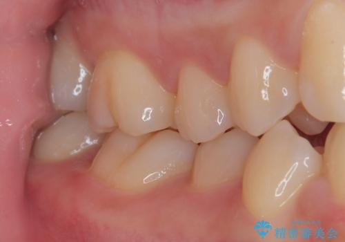
ゴールドインレー(PGAインレー)はセラミックインレーと比べ、歯の切削量が少なく、適合性が著しくいいことが特徴です。上顎の奥歯は見えないので機能面でゴールドインレー、ゴールドクラウンはおすすめです。
違和感がないと喜んでいただきました。
PGA(ゴールド)クラウン、インレーの注意事項(リスク・副作用など)
- インレーおよびクラウンは脱離するリスクがあります
- 形成量はセラミックより少ないですが、歯の形成、修復後に歯に症状が出ることがあります
- 自費診療(保険適用外治療)となります
その他の注意事項(リスク・副作用など)
- 担当歯科医師、歯科衛生士又は医院スタッフから受けた説明・注意事項をよくご確認ください
- 医療を提供するに当たり、適切な説明を行い、患者様の十分な理解を得るよう努めております
当サイトの内容、テキスト、画像等の無断転載、複製、複写、盗用を固く禁じます。








