症例詳細
Case detail
破折歯のインプラント治療、奥歯の根管・セラミック治療
治療症例の内容
- 担当医
- 大元洋佑(ドクタープロフィール)
- 患者様
- 40代女性
- 治療期間
- 3ヶ月
- 治療回数
- 10-30回
- 治療計画
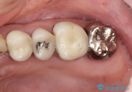
- 左側の奥歯で噛むと痛みや違和感が強く、しっかり噛めない、治療したいと希望され来院されました。
歯周組織検査やX線検査等、精査を行った結果、根尖性歯周炎や不適合なクラウンによる歯茎の炎症、歯の破折等様々な問題が認められました。
根まで破折してしまっている歯は、残すことができないので抜去を行いインプラント治療、
残すことのできる歯は根管治療を行い、精密なセラミック治療を行うこととしました。
- 費用(概算)
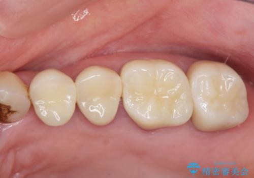
- 80万円(インプラント×1・チタンカスタムアバットメント×1・ジルコニアクラウン×4・仮歯×4)費用は治療当時の料金となります
治療について
治療前に訴えられていた、痛みや違和感は消失し、しっかり噛めるようになったと喜んでいただくことができました。
インプラント治療の注意事項(リスク・副作用など)
- 外科手術のため、術後に痛みや腫れ、違和感を伴います
- メンテナンスを怠ったり喫煙により、お口の中に大きな悪影響を及ぼすインプラント周囲炎等にかかる可能性があります
- 糖尿病、肝硬変、心臓病等の場合、インプラント治療ができない可能性があります
- 高血圧、貧血・不整脈等の場合、インプラント治療後に治癒不全を招く可能性があります
- 自費診療(保険適用外治療)となります
セラミック治療の注意事項(リスク・副作用など)
- 天然歯を削ります
- 硬い素材は天然歯を傷つけてしまう場合があります
- かみ合わせや歯ぎしりが強すぎる方はセラミックが割れてしまう可能性があります
- 自費診療(保険適用外治療)となります
当サイトの内容、テキスト、画像等の無断転載、複製、複写、盗用を固く禁じます。






