症例詳細
Case detail
食事をすると痛む奥歯 オールセラミッククラウンでのむし歯治療
治療症例の内容
- 診療科目
- 担当医
- 藤巻太一朗(ドクタープロフィール)
- 患者様
- 40代女性
- 治療期間
- 2ヶ月
- 治療回数
- 2-5回
- 治療計画
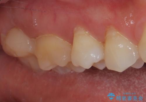
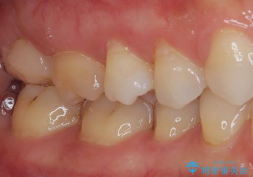
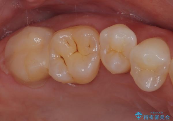
- 上顎大臼歯が食事の度に痛みを感じるとのことで来院された患者様です。
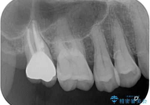
レントゲン写真などで診査を行ったところ、神経組織が壊死し、根尖部周辺の骨に炎症が認められました。
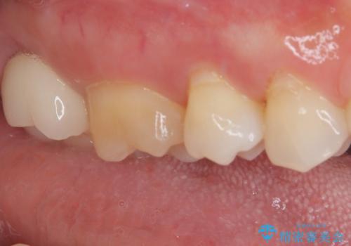
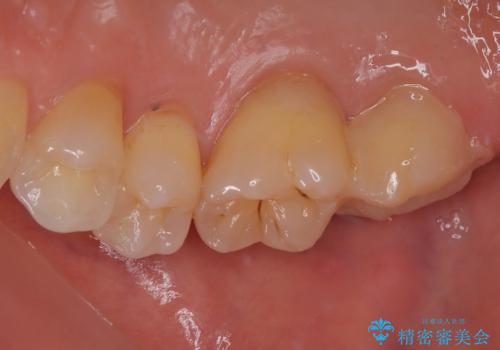
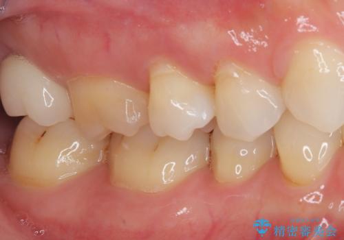
まずは根管治療を行い、症状が消退したことを確認してオールセラミッククラウンにて補綴治療を行うこととしました。
- 費用(概算)
- 治療費の目安: 28万円(税込)費用は治療当時の料金となります
治療について
根管治療を行った奥歯は、再発防止や残された歯質を守るため、クラウンによる補綴治療が必要となります。
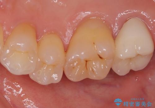
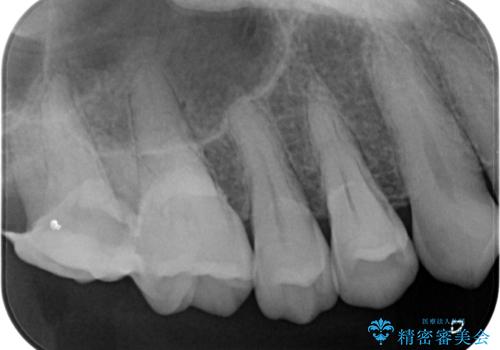
補綴後6ヶ月経過しレントゲンを撮影したところ、根尖周辺の病変が消失していることが確認できました。
セラミック治療の注意事項(リスク・副作用など)
- 天然歯を削ります
- 硬い素材は天然歯を傷つけてしまう場合があります
- かみ合わせや歯ぎしりが強すぎる方はセラミックが割れてしまう可能性があります
- 自費診療(保険適用外治療)となります
当サイトの内容、テキスト、画像等の無断転載、複製、複写、盗用を固く禁じます。










