症例詳細
Case detail
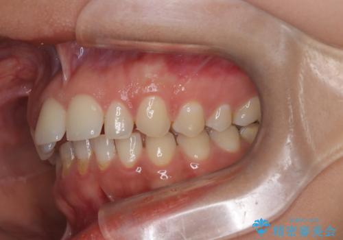
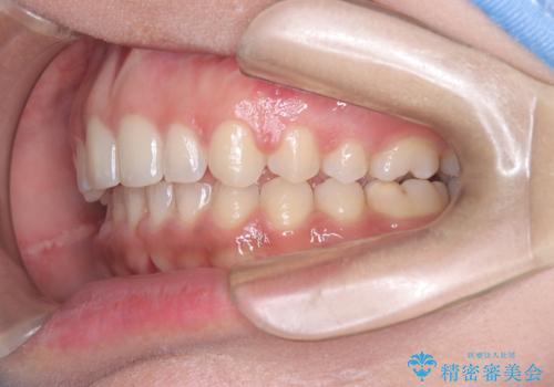
上顎前突を非抜歯で改善
治療症例の内容
- 診療科目
- 治療カテゴリ
- 担当医
- 河口智英(ドクタープロフィール)
- 患者様
- 20代女性
- 治療期間
- 2年
- 治療回数
- 30回以上
- 治療計画
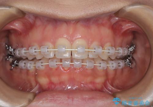
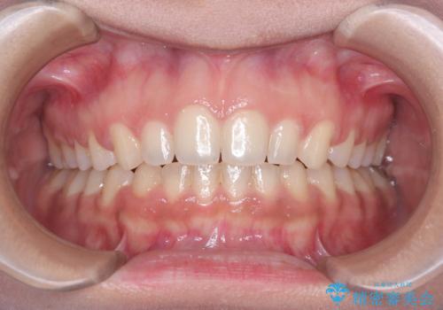
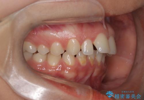
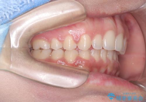
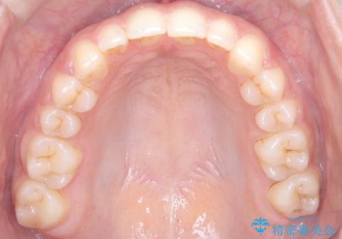
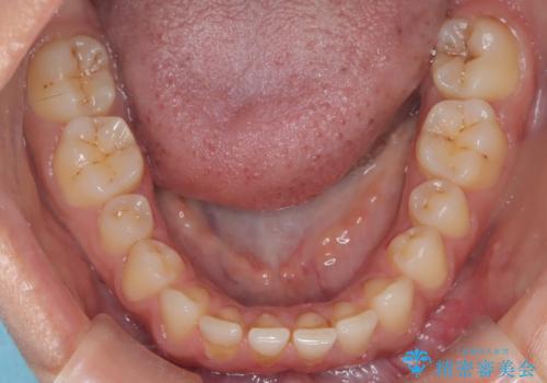
- 患者様は、前歯が出ている状態(上顎前突)と隙間を閉じたいというご希望で来院されました。診断の結果、骨格性の上顎前突が確認されたため、理想的には外科矯正が必要であることを説明しましたが、患者様の「非抜歯でできる範囲で治療を進めたい」という希望を尊重し、矯正治療計画を立てました。治療目標は、前歯の突出を可能な限り改善し、隙間を閉じることに重点を置きました。
- 費用(概算)
- 90万円費用は治療当時の料金となります
治療について
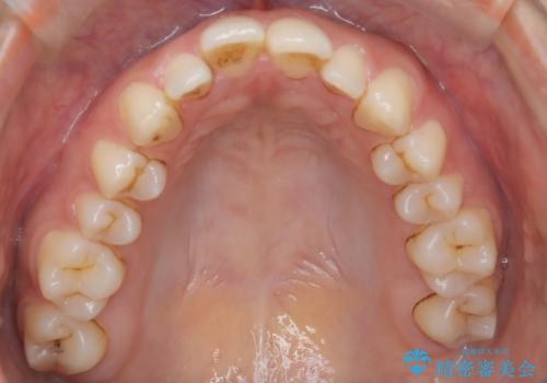
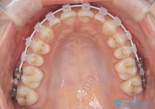
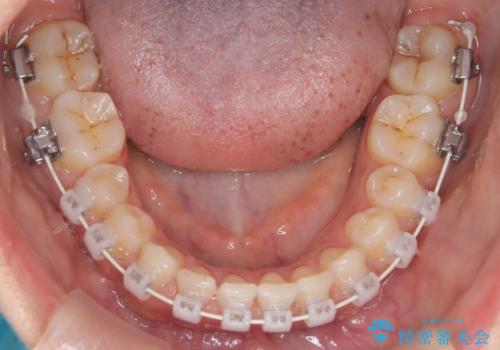
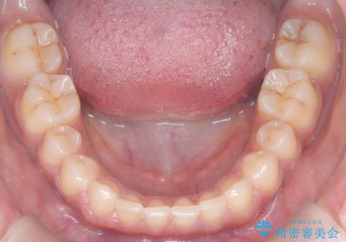
本症例では、非抜歯での治療を選択したため、スペースを確保するためにIPR(歯間削合)を行い、歯列を整えました。オーバージェット(上の前歯と下の前歯の水平的なズレ)は残る結果となりましたが、見た目や機能の改善を重視し、患者様と治療計画を共有しながら進めました。治療中は、歯列全体のバランスと噛み合わせを考慮しつつ、矯正装置の適切な使用を徹底しました。当初の計画通りに治療を完了し、患者様にも満足していただけました。
ワイヤー矯正の注意事項(リスク・副作用など)
- 治療中は違和感や痛みが起こることがあります
- 症状により、抜歯が必要な場合があります
- 治療中は歯磨きがしにくくなるため、虫歯や歯周病になりやすくなります
- 矯正治療後の保定が不十分だと後戻り(元の位置に戻ろうとする動き)をします
- 自費診療(保険適用外)となります
当サイトの内容、テキスト、画像等の無断転載、複製、複写、盗用を固く禁じます。















