症例詳細
Case detail
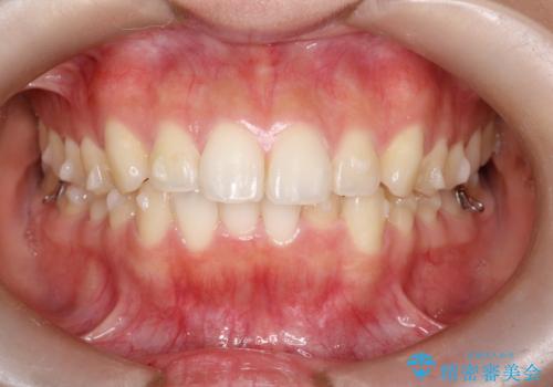
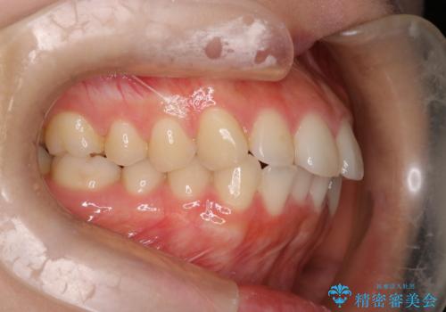
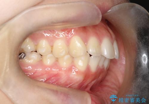
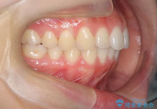
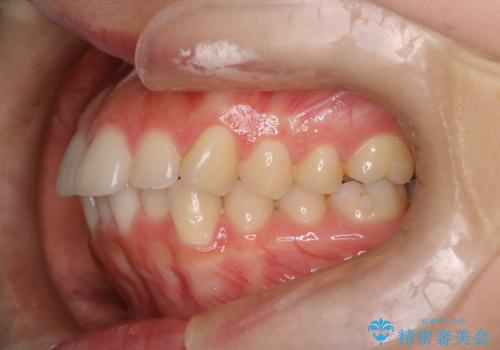
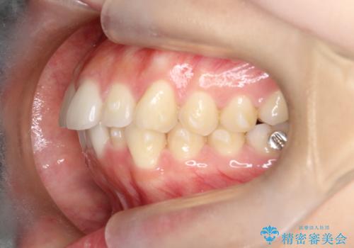
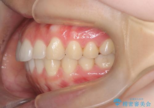
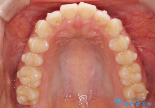
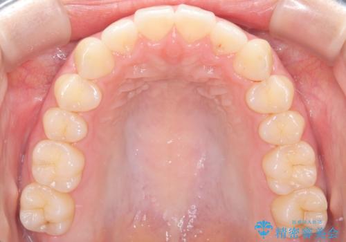
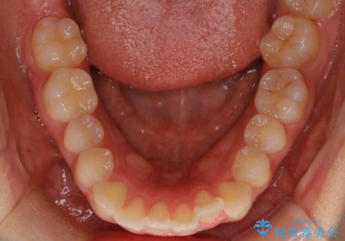
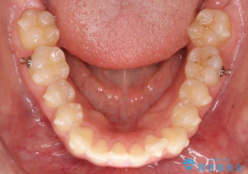
下顎前歯の叢生を短期間で改善
治療症例の内容
- 診療科目
- 治療カテゴリ
- 担当医
- 河口智英(ドクタープロフィール)
- 患者様
- 20代女性
- 治療期間
- 2年
- 治療回数
- 30回以上
- 治療計画
- 患者様は、下顎前歯のガタガタ(叢生)の改善を希望して来院されました。診断の結果、非抜歯で治療可能であると判断し、透明で目立たないインビザラインを使用する矯正治療計画を立案しました。短期間での治療を希望されていたため、IPR(歯間削合)を併用してスペースを確保しながら、効率的に歯を並べることを目指しました。
- 費用(概算)
- 80万円費用は治療当時の料金となります
治療について
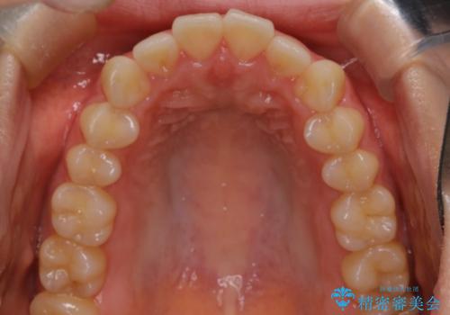
治療では、インビザラインを用いて計画的に歯を移動させ、短期間での歯列改善を実現しました。IPRを行うことで、抜歯をせずに必要なスペースを確保し、歯列全体を整えました。治療中は、装置の適切な装着時間を守ることが重要であり、患者様にも継続的な協力をお願いしました。また、歯肉や歯根への負担を最小限に抑えるため、歯の移動を慎重に管理しました。結果として、短期間で下顎前歯の叢生を改善し、自然な見た目と機能性を兼ね備えた歯列を実現できました。
マウスピース矯正の注意事項(リスク・副作用など)
- 口腔内・歯並びの状態によっては対応できない場合があります
- マウスピース型矯正装置の長時間装着(1日20時間以上)が必須です
- 治療計画通りに進めるためには、患者様の意志が重要になります
- 矯正治療後の保定が不十分だと後戻り(元の位置に戻ろうとする動き)をします
- 薬機法対象外の矯正歯科装置のため医薬品副作用被害救済制度の対象外となる場合があります
- 自費診療(保険適用外)となります
当サイトの内容、テキスト、画像等の無断転載、複製、複写、盗用を固く禁じます。















