症例詳細
Case detail
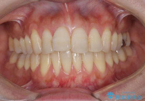
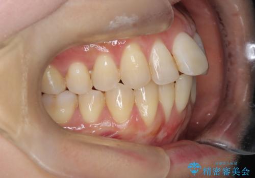
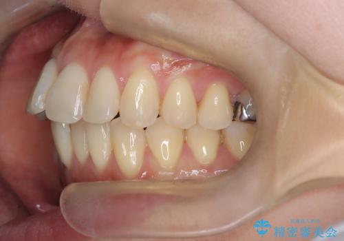
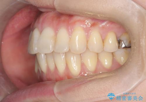
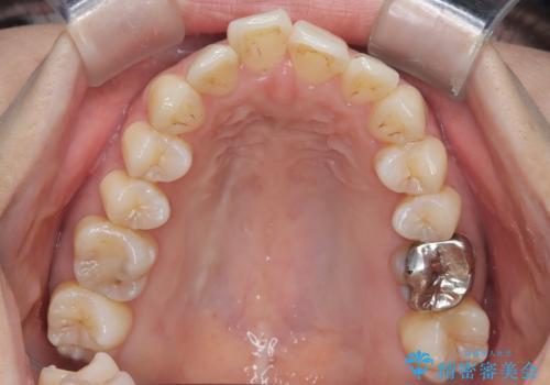
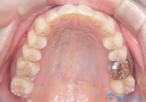
半年で改善した上顎前歯の突出
治療症例の内容
- 診療科目
- 治療カテゴリ
- 担当医
- 河口智英(ドクタープロフィール)
- 患者様
- 30代女性
- 治療期間
- 6ヶ月
- 治療回数
- 5-10回
- 治療計画
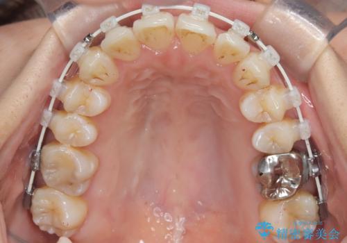
- 患者様は、上顎前歯の突出を改善したいとのご希望で来院されました。診断の結果、噛み合わせや全体的な歯列には大きな問題がないため、上顎のみを対象とした部分矯正が最適と判断しました。特に患者様は短期間での治療完了を希望されていたため、治療期間を約半年と設定しました。審美ワイヤーを用い、前歯を後方に移動させることで、自然で整った仕上がりを目指しました。治療計画は、患者様のスケジュールや希望を最大限考慮し、実現可能な目標を設定しました。
- 費用(概算)
- 50万円費用は治療当時の料金となります
治療について
部分矯正では、治療範囲が限定されるため、力のコントロールが非常に重要です。本症例では、前歯を後方に移動させる際、周囲の歯や噛み合わせに影響を及ぼさないように細心の注意を払いました。また、短期間の治療でも歯の移動に伴う歯肉や歯根への負担を抑えるため、定期的なチェックと調整を行いました。患者様には矯正装置の清掃を徹底していただき、虫歯や歯周病のリスクを回避しました。結果として、予定通りの期間で治療を完了し、患者様には満足していただけました。
ワイヤー矯正の注意事項(リスク・副作用など)
- 治療中は違和感や痛みが起こることがあります
- 症状により、抜歯が必要な場合があります
- 治療中は歯磨きがしにくくなるため、虫歯や歯周病になりやすくなります
- 矯正治療後の保定が不十分だと後戻り(元の位置に戻ろうとする動き)をします
- 自費診療(保険適用外)となります
当サイトの内容、テキスト、画像等の無断転載、複製、複写、盗用を固く禁じます。















