症例詳細
Case detail
転んで欠けた前歯を治したい。オールセラミッククラウンによる補綴
治療症例の内容
- 診療科目
- 治療カテゴリ
- 担当医
- 齋藤佑磨(ドクタープロフィール)
- 患者様
- 30代女性
- 治療期間
- 2ヶ月
- 治療回数
- 2-5回
- 治療計画
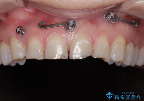
- 転んで欠けてしまった前歯を治したいと来院された患者様です。
この機会に、白くきれいにしたいとの事でした。
まず仮歯に置き換え、最終的な被せものの前に仮歯で形などを調整します。
その後精度の高いシリコーンによる型どりを行います。
- 費用(概算)
- 79万円(税込)費用は治療当時の料金となります
治療について
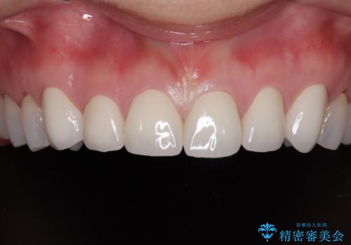
歯の神経は生きていますが、精度の高い被せもののため冷たいものがしみるなどの症状もなく、きれいになったと満足していました。
セラミック治療の注意事項(リスク・副作用など)
- 天然歯を削ります
- 硬い素材は天然歯を傷つけてしまう場合があります
- かみ合わせや歯ぎしりが強すぎる方はセラミックが割れてしまう可能性があります
- 自費診療(保険適用外治療)となります
当サイトの内容、テキスト、画像等の無断転載、複製、複写、盗用を固く禁じます。










