症例詳細
Case detail
すきっ歯 歯を抜かない矯正治療
治療症例の内容
- 診療科目
- 担当医
- 井上季実子(ドクタープロフィール)
- 患者様
- 10代女性
- 矯正装置
- 審美装置
- 治療期間
- 1年3ヶ月
- 治療回数
- 10-30回
- 治療計画
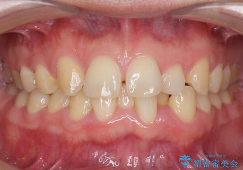
- 前歯のすき間を主訴に来院。
非抜歯マルチブラケット治療によりすき間を閉じることとした。
前歯部の被蓋が浅く、開咬傾向であった。
舌癖が認められたため、筋機能訓練も併せて行った。
- 費用(概算)
- 80万円費用は治療当時の料金となります
治療について
スペースを閉鎖するにあたり前歯部を後方移動したため、口元もすっきりしました。
ゴムは途中数ヶ月使用していただきましたが、がんばりましたね。
やはり矯正治療は天然の歯を綺麗に並べることができるため、メリットが大きいです。
治療後の感想
井上先生はとても親身になってくださる方で、矯正治療の一環で歯にゴムをつけなければならなかった時に、私がさぼってしまい、あまりゴムの効果がでていなかったために、井上先生はきちんと厳しくゴムをするように叱ってくださいました。そのおかげで私はゴムの着用を習慣化することができ、次に井上先生に診て頂いた時にには、ゴムの効果がきちんとあらわれていたため、ほめていただくことができました。井上先生のアメとムチの使い分けが私の励みになっていたようです。なので、これからも井上先生に指導して頂いたことを忘れず、リテーナーの装着も怠らずに頑張りたいと思います!!
ワイヤー矯正の注意事項(リスク・副作用など)
- 治療中は違和感や痛みが起こることがあります
- 症状により、抜歯が必要な場合があります
- 治療中は歯磨きがしにくくなるため、虫歯や歯周病になりやすくなります
- 矯正治療後の保定が不十分だと後戻り(元の位置に戻ろうとする動き)をします
- 自費診療(保険適用外)となります
当サイトの内容、テキスト、画像等の無断転載、複製、複写、盗用を固く禁じます。





















