症例詳細
Case detail
1DAYインプラント 土台から外れてしまった前歯を短期間で治療
治療症例の内容
- 担当医
- 藤巻太一朗(ドクタープロフィール)
- 患者様
- 60代女性
- 治療期間
- 2ヶ月
- 治療回数
- 2-5回
- 治療計画
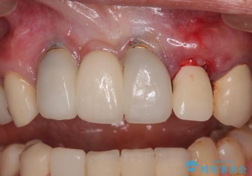
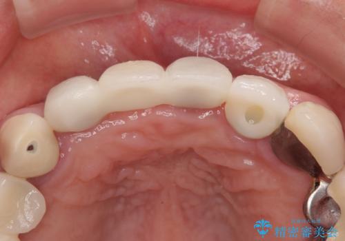
- 以前から頻繁に前歯が土台から外れてしまうことがあり、インプラントによる治療を希望して来院された患者様です。
歯根が割れていることはありませんでしたが、残っている歯質が全て歯肉よりも深い位置にあるため、土台としての機能は不足している状態でした。
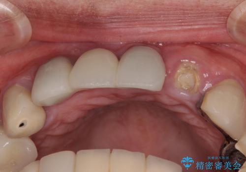
歯根周辺の骨や歯肉の状態は良く、抜歯して速やかにインプラントを埋入し、即日で仮歯を装着するプランにて治療を行うこととしました。
- 費用(概算)
- 治療費の目安: 50万円(税込)費用は治療当時の料金となります
治療について
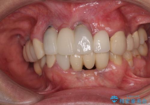
初回カウンセリング時にはセラミッククラウンが装着されていましたが、インプラント治療でのご来院時には前歯は外れて紛失をしてしまったとのことでした。
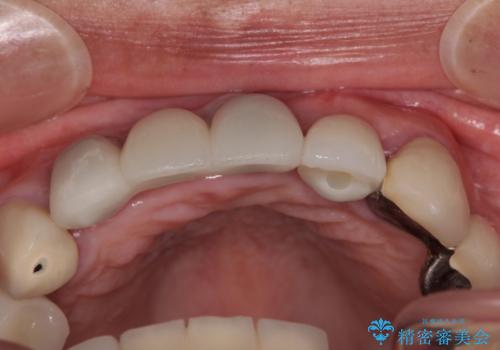
事前に仮歯の型取りをして用意をしていたため、インプラント埋入後に速やかに仮歯を装着しました。
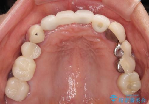
インプラントの安定度も高く、抜歯と埋入から2か月後にはオールセラミッククラウンを装着することができました。
インプラント治療の注意事項(リスク・副作用など)
- 外科手術のため、術後に痛みや腫れ、違和感を伴います
- メンテナンスを怠ったり喫煙により、お口の中に大きな悪影響を及ぼすインプラント周囲炎等にかかる可能性があります
- 糖尿病、肝硬変、心臓病等の場合、インプラント治療ができない可能性があります
- 高血圧、貧血・不整脈等の場合、インプラント治療後に治癒不全を招く可能性があります
- 自費診療(保険適用外治療)となります
セラミック治療の注意事項(リスク・副作用など)
- 天然歯を削ります
- 硬い素材は天然歯を傷つけてしまう場合があります
- かみ合わせや歯ぎしりが強すぎる方はセラミックが割れてしまう可能性があります
- 自費診療(保険適用外治療)となります
当サイトの内容、テキスト、画像等の無断転載、複製、複写、盗用を固く禁じます。




















