症例詳細
Case detail
全く目立たないワイヤー矯正 上下裏側矯正
治療症例の内容
- 診療科目
- 担当医
- 藤巻太一朗(ドクタープロフィール)
- 患者様
- 20代女性
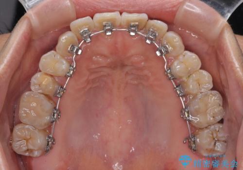
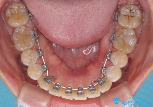
- 矯正装置
- リンガル
- 治療期間
- 3年8ヶ月
- 治療回数
- 30回以上
- 治療計画
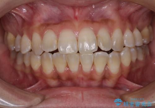
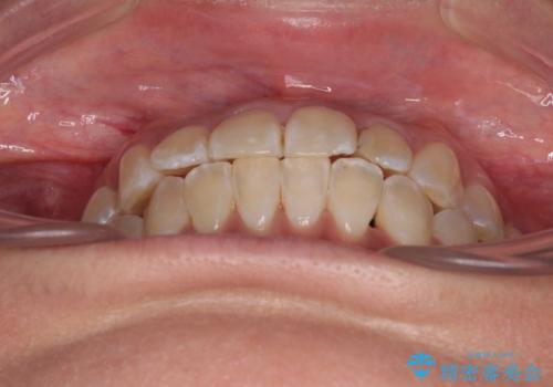
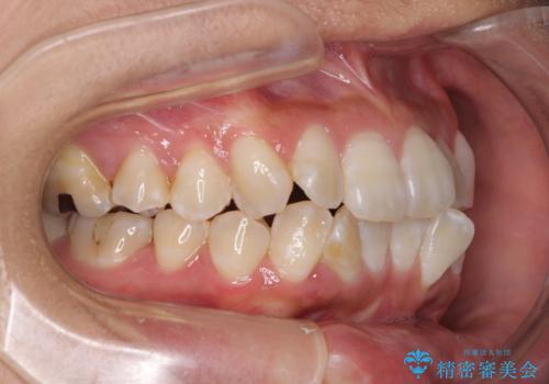
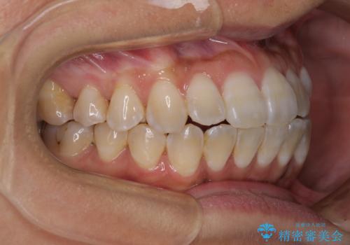
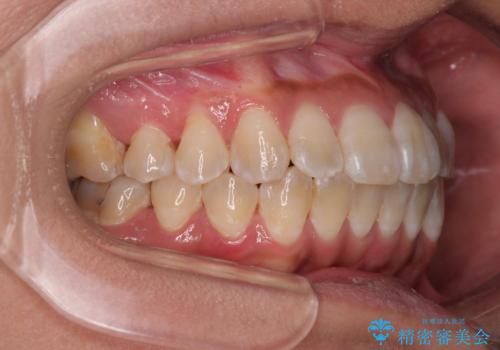
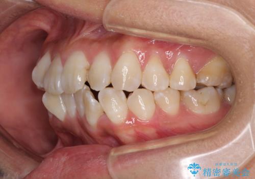
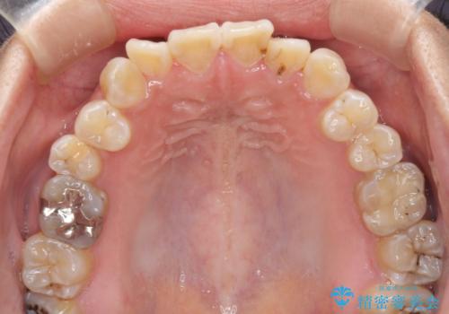
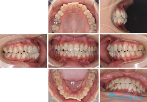
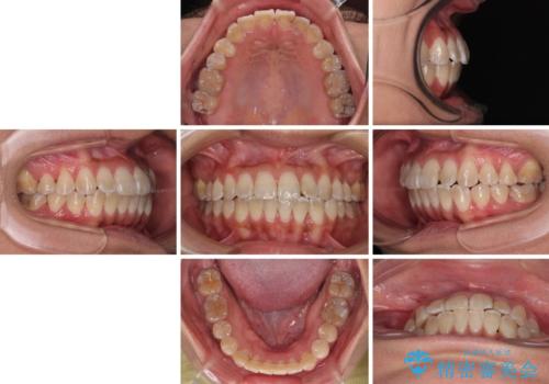
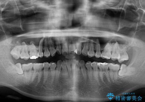
- 上下の前歯のでこぼこを気にして来院された患者様です。
職場の都合により、表側のワイヤー装置や着脱作業が頻繁なマウスピース矯正は困難とのことで、全く目立たない裏側矯正装置を用いて口元を整えることとしました。
- 費用(概算)
- 治療費の目安: 135万円(税込)費用は治療当時の料金となります
治療について
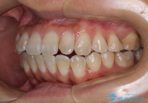
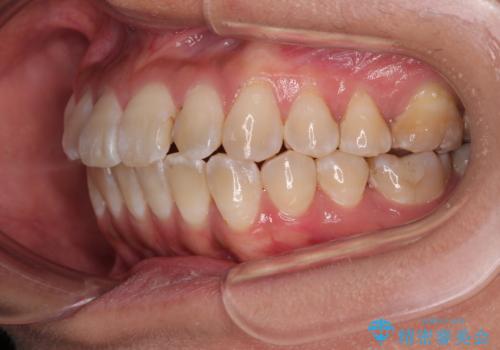
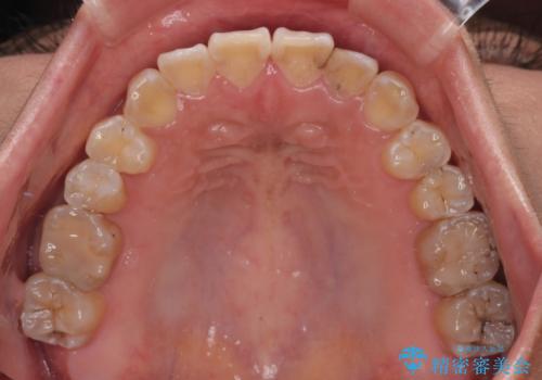
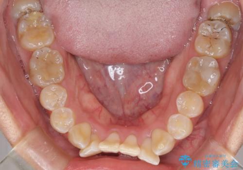
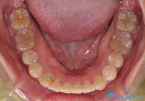
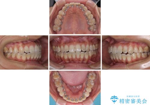
途中転勤や出産があり、通院できない期間が長くありましたが、無事に歯列を整えることができました。
ワイヤー矯正の注意事項(リスク・副作用など)
- 治療中は違和感や痛みが起こることがあります
- 症状により、抜歯が必要な場合があります
- 治療中は歯磨きがしにくくなるため、虫歯や歯周病になりやすくなります
- 矯正治療後の保定が不十分だと後戻り(元の位置に戻ろうとする動き)をします
- 自費診療(保険適用外)となります
当サイトの内容、テキスト、画像等の無断転載、複製、複写、盗用を固く禁じます。


























