症例詳細
Case detail
前歯のデコボコを治したい 目立たないワイヤー装置での矯正治療
治療症例の内容
- 診療科目
- 治療カテゴリ
- 担当医
- 藤巻太一朗(ドクタープロフィール)
- 患者様
- 20代女性
- 矯正装置
- 審美装置
- 治療期間
- 1年1ヶ月
- 治療回数
- 10-30回
- 治療計画
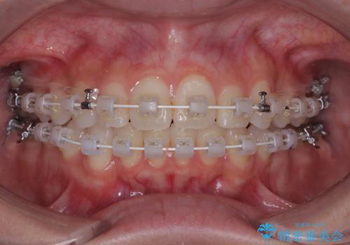
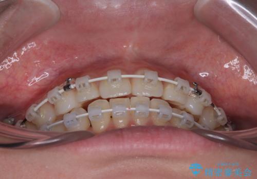
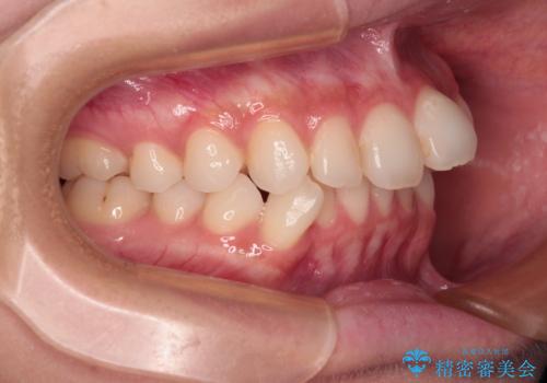
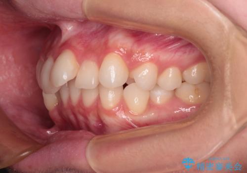
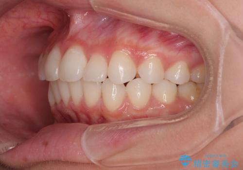
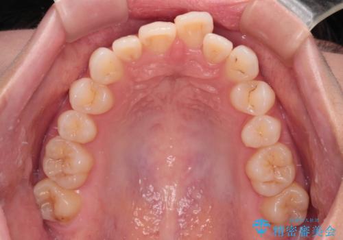
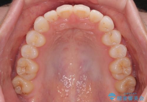
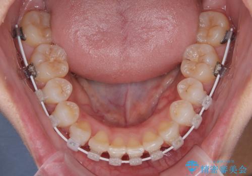
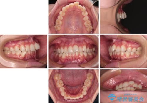
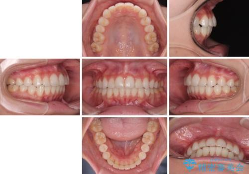
- 前歯のデコボコを気にして来院された患者様です。
インビザラインとワイヤー装置で悩んでいらっしゃいましたが、上顎歯列全体を(特に臼歯部を)後方に移動させる必要性があり、インビザラインではその達成に疑問があったため、ワイヤー装置にて治療を行うこととしました。
また、患者様自身も煩わしい自己管理なしに短期間で治療を行いたいとのことで、ワイヤー装置を選択されました。
- 費用(概算)
- 治療費の目安: 95万円(税込)費用は治療当時の料金となります
治療について
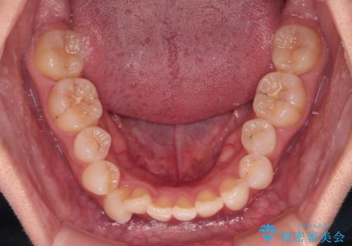
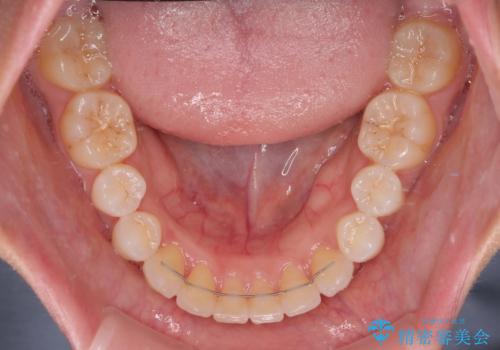
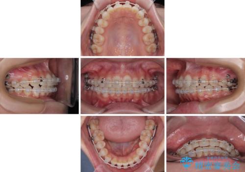
治療途中にて、予想通り上顎前歯が前方に移動していったため、左右にアンカースクリューを使用して、歯列全体の後方移動を試み、無事に1年強の期間で終えることができました。
ワイヤー矯正の注意事項(リスク・副作用など)
- 治療中は違和感や痛みが起こることがあります
- 症状により、抜歯が必要な場合があります
- 治療中は歯磨きがしにくくなるため、虫歯や歯周病になりやすくなります
- 矯正治療後の保定が不十分だと後戻り(元の位置に戻ろうとする動き)をします
- 自費診療(保険適用外)となります
当サイトの内容、テキスト、画像等の無断転載、複製、複写、盗用を固く禁じます。

























