症例詳細
Case detail
前に飛び出して目立っている前歯を整える インビザライン矯正治療
治療症例の内容
- 診療科目
- 治療カテゴリ
- 担当医
- 藤巻太一朗(ドクタープロフィール)
- 患者様
- 20代女性
- 矯正装置
- インビザライン
- 治療期間
- 1年8ヶ月
- 治療回数
- 5-10回
- 治療計画
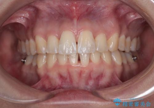
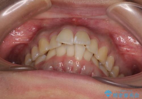
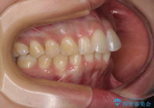
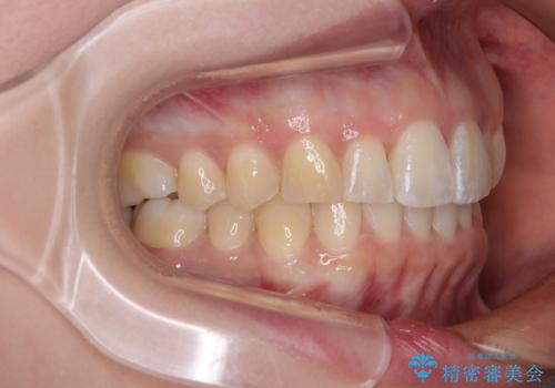
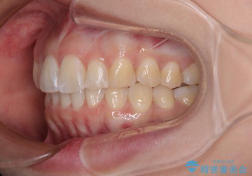
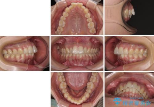
- 前方に主張した前歯2本を気にして来院された患者様です。
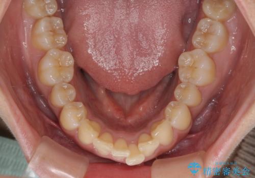
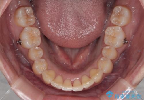
下顎前歯がデコボコしており、その影響で上顎前歯が前方に押し出されている状態でした。
口元が閉じにくいという印象はなかったため、非抜歯矯正にて歯列を整えていくこととしました。
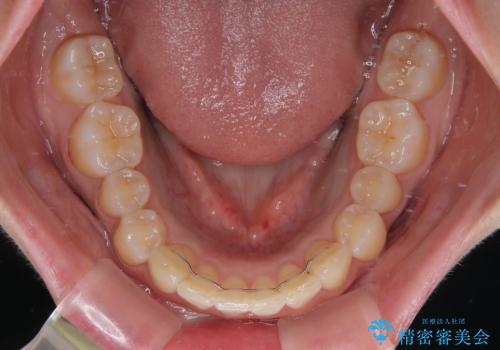
上下左右の親知らずを抜歯し、上下ともに歯列を後方と側方に拡大し、口元を突出させることなくデコボコを解消することとしました。
- 費用(概算)
- 治療費の目安: 90万円(税込)費用は治療当時の料金となります
治療について
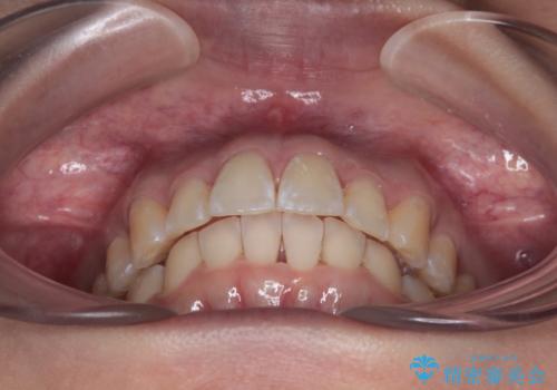
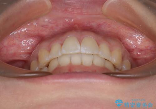
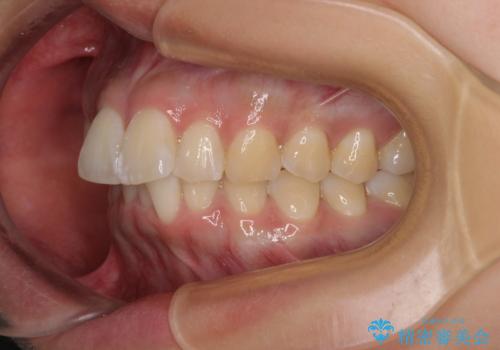
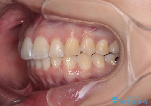
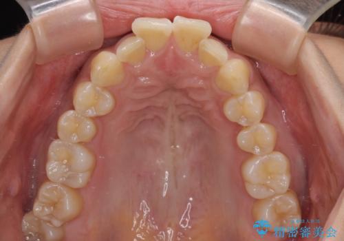
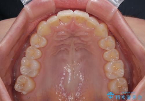
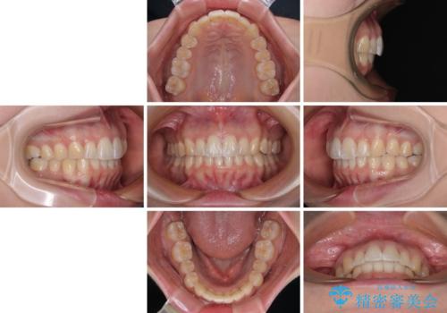
前歯の形が台形であり、歯列が整ったところでブラックトライアングルが目立つ仕上がりとなったため、IPR(歯と歯の間を削る処置)によって歯の形態を修正し、隙間の目立たない歯列に仕上げることができました。
マウスピース矯正の注意事項(リスク・副作用など)
- 口腔内・歯並びの状態によっては対応できない場合があります
- マウスピース型矯正装置の長時間装着(1日20時間以上)が必須です
- 治療計画通りに進めるためには、患者様の意志が重要になります
- 矯正治療後の保定が不十分だと後戻り(元の位置に戻ろうとする動き)をします
- 薬機法対象外の矯正歯科装置のため医薬品副作用被害救済制度の対象外となる場合があります
- 自費診療(保険適用外)となります
当サイトの内容、テキスト、画像等の無断転載、複製、複写、盗用を固く禁じます。



























