症例詳細
Case detail
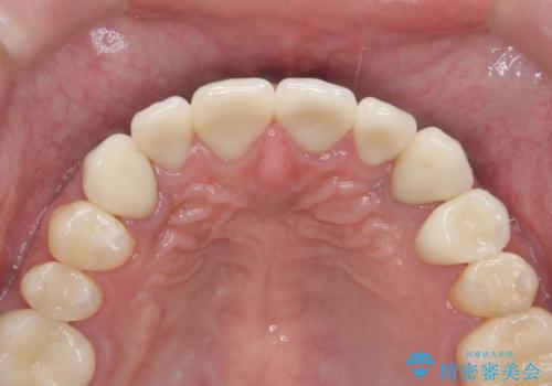
複数箇所コンポジット充填された前歯をセラミック治療
治療症例の内容
- 診療科目
- 治療カテゴリ
- 担当医
- 大元洋佑(ドクタープロフィール)
- 患者様
- 30代男性
- 治療期間
- 2ヶ月
- 治療回数
- 5-10回
- 治療計画
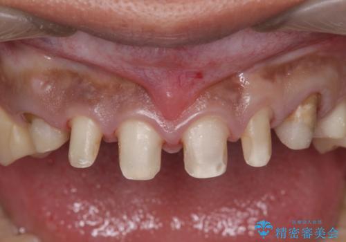
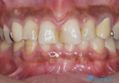
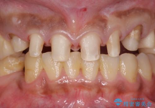
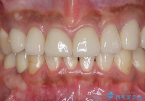
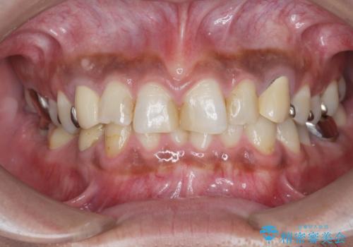
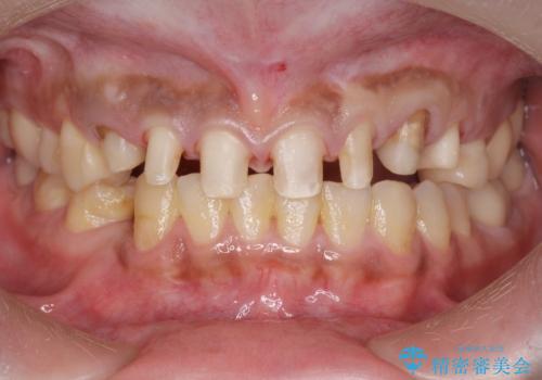
- コンポジットレジンの充填箇所がすり減ってしまい、形の悪くなった前歯の治療を希望され来院されました。
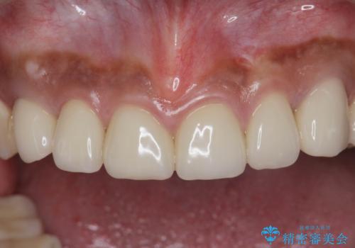
充填部位が大きく、再度充填をするには神経と近くなり抜髄のリスクが高まるため、劣化の少ないセラミックでフルカバーするセラミッククラウン治療を行うこととしました。
- 費用(概算)
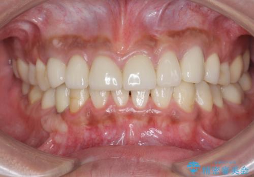
- 79.2万円(ジルコニアクラウン×6・仮歯×6)費用は治療当時の料金となります
治療について
前歯の小さな虫歯は、除去したのちコンポジットレジンと言われる樹脂を充填する処置を行うことが多々あります。
しかし、経年劣化が早く着色や小さな虫歯が再発しやすいため、ある程度の大きさになってしまった場合セラミッククラウンで置き替えた方が神経を温存し長期的な予後の期待できる治療となります。
セラミック治療の注意事項(リスク・副作用など)
- 天然歯を削ります
- 硬い素材は天然歯を傷つけてしまう場合があります
- かみ合わせや歯ぎしりが強すぎる方はセラミックが割れてしまう可能性があります
- 自費診療(保険適用外治療)となります
当サイトの内容、テキスト、画像等の無断転載、複製、複写、盗用を固く禁じます。




















