症例詳細
Case detail
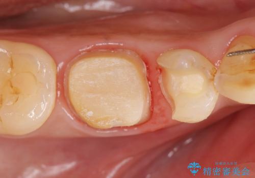
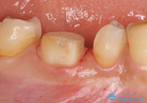
治療途中の歯 セラミック治療を希望され来院
治療症例の内容
- 診療科目
- 担当医
- 大元洋佑(ドクタープロフィール)
- 患者様
- 30代女性
- 治療期間
- 1ヶ月
- 治療回数
- 2-5回
- 治療計画
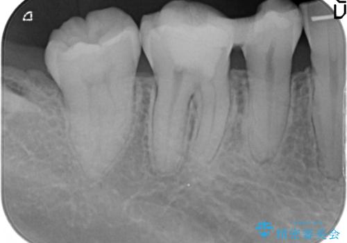
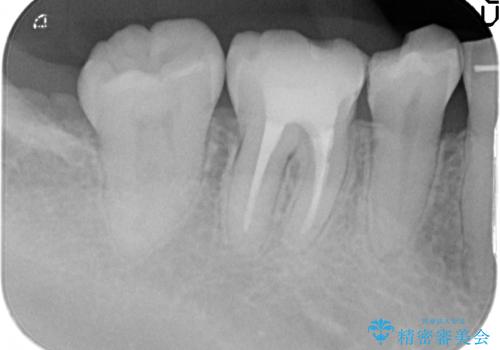
- 治療途中で数ヶ月放置してしまった歯のセラミック治療を希望され来院されました。
セラミッククラウン・セラミックインレーを用いた精密治療を計画します。
- 費用(概算)
- 20.9万円(ジルコニアクラウン・仮歯 ・セラミックインレー)費用は治療当時の料金となります
治療について
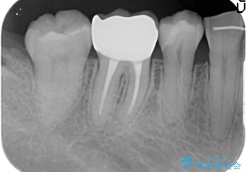
審美性、化学的安定性に優れるセラミック治療を行うことができました。
セラミック治療の注意事項(リスク・副作用など)
- 天然歯を削ります
- 硬い素材は天然歯を傷つけてしまう場合があります
- かみ合わせや歯ぎしりが強すぎる方はセラミックが割れてしまう可能性があります
- 自費診療(保険適用外治療)となります
当サイトの内容、テキスト、画像等の無断転載、複製、複写、盗用を固く禁じます。









