症例詳細
Case detail
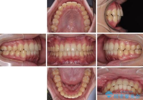
前歯のデコボコを治したい ワイヤー装置での非抜歯矯正
治療症例の内容
- 診療科目
- 治療カテゴリ
- 担当医
- 藤巻太一朗(ドクタープロフィール)
- 患者様
- 20代男性
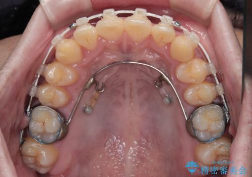
- 矯正装置
- 審美装置
- 治療期間
- 1年6ヶ月
- 治療回数
- 10-30回
- 治療計画
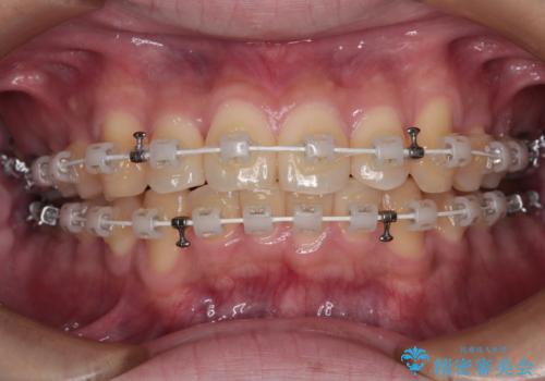
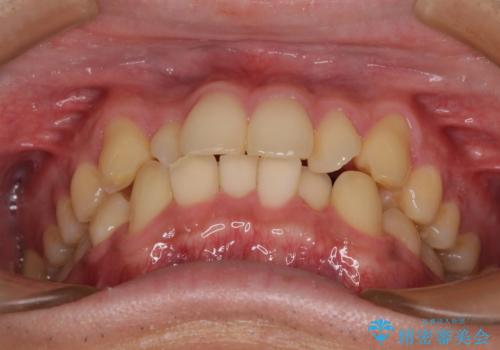
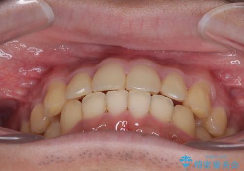
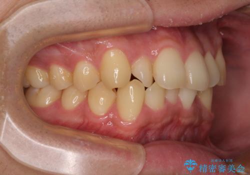
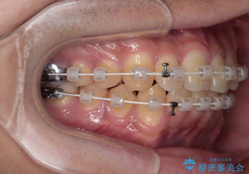
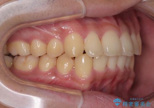
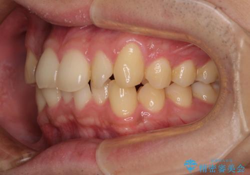
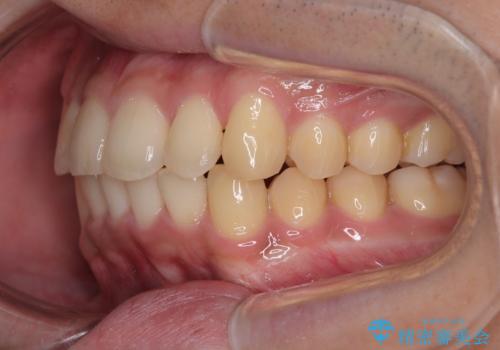
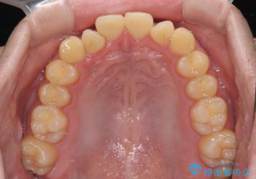
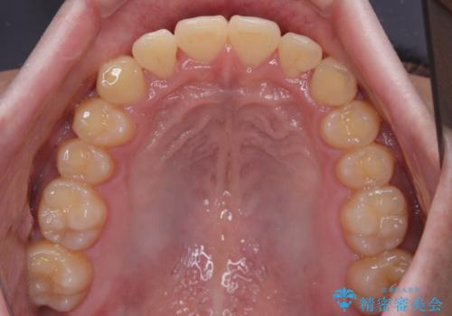
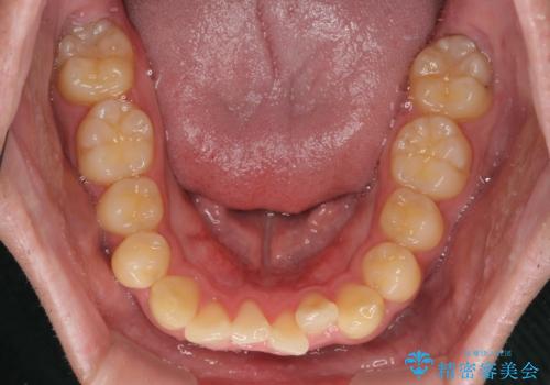
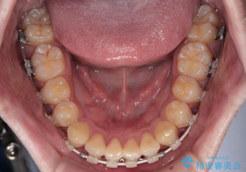
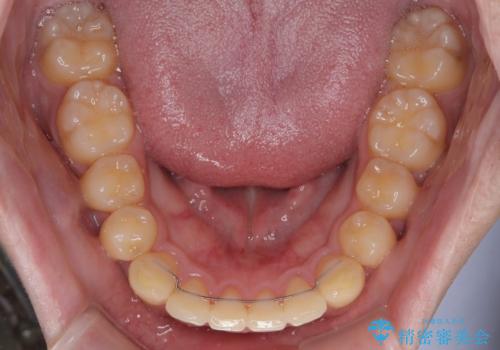
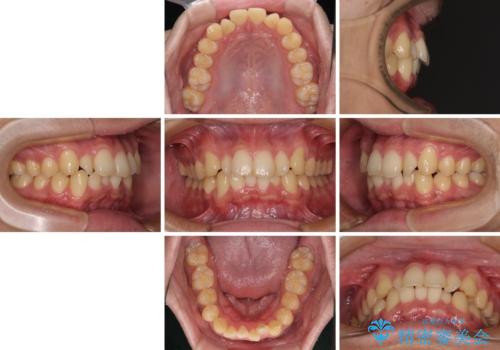
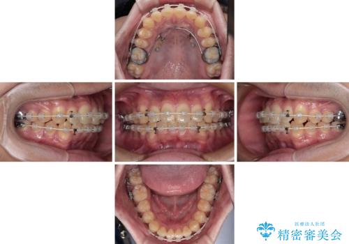
- 上下前歯の捻れやデコボコを気にして来院された患者様です。
マウスピース矯正でもワイヤー矯正でも対応可能でしたが、極力楽をして治したいとのことでワイヤー装置にて治療をおこなうこととしました。
口元はそれほど突出しておらず、患者様自身も気にしていらっしゃいませんでしたが、前歯の捻れやデコボコを解消すると、前方に拡大され、治療後に出っ歯仕上がりとなるリスクがあったため、補助装置により上顎臼歯を後方移動していくこととしました。
- 費用(概算)
- 治療費の目安: 105万円(税込)費用は治療当時の料金となります
治療について
昼休みを活用して通院してくださり、1年半であっという間に終えることができました。
ワイヤー矯正の注意事項(リスク・副作用など)
- 治療中は違和感や痛みが起こることがあります
- 症状により、抜歯が必要な場合があります
- 治療中は歯磨きがしにくくなるため、虫歯や歯周病になりやすくなります
- 矯正治療後の保定が不十分だと後戻り(元の位置に戻ろうとする動き)をします
- 自費診療(保険適用外)となります
当サイトの内容、テキスト、画像等の無断転載、複製、複写、盗用を固く禁じます。


























