症例詳細
Case detail
目立つ八重歯を非抜歯矯正で整える 目立たないワイヤー矯正
治療症例の内容
- 診療科目
- 治療カテゴリ
- 担当医
- 藤巻太一朗(ドクタープロフィール)
- 患者様
- 20代男性
- 矯正装置
- 審美装置
- 治療期間
- 2年6ヶ月
- 治療回数
- 30回以上
- 治療計画
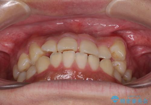
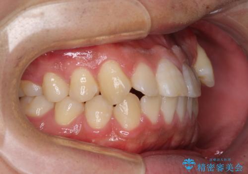
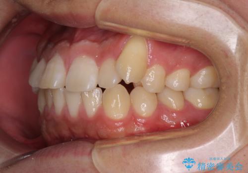
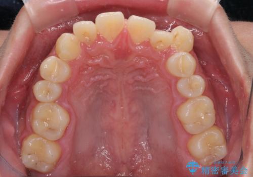
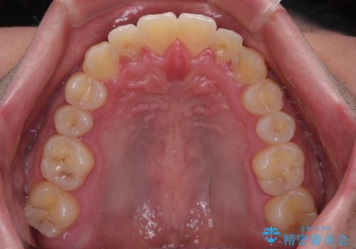
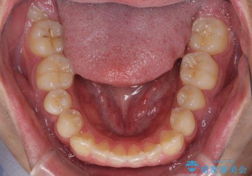
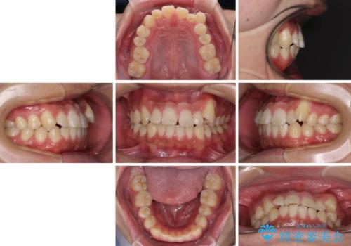
- 八重歯と前歯の隙間を気にして来院された患者様です。
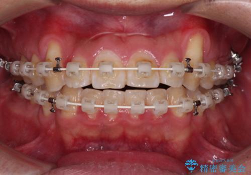
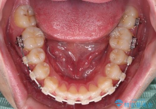
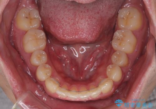
八重歯の改善のため、奥歯を後方に移動させていくこととし、患者様と相談の上、ワイヤー装置にて矯正治療を行うこととしました。
治療装置については、自己管理が煩わしいとのことで、マウスピースではなく目立ちにくいワイヤー装置を選択されました。
上顎前歯正中の隙間は、舌突出癖によるものと考えられ、舌のトレーニングによる悪習癖改善が必須であるため、徹底するよう指導してから治療を開始することとしました。
- 費用(概算)
- 治療費の目安: 95万円(税込)費用は治療当時の料金となります
治療について
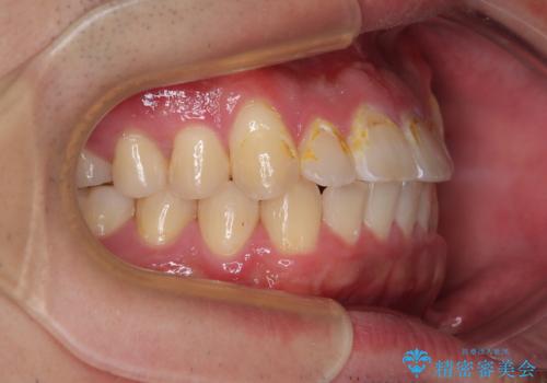
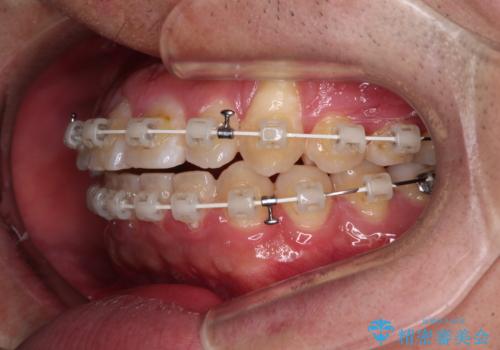
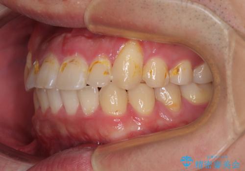
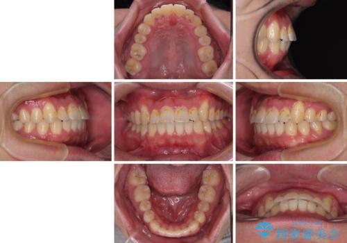
舌突出癖が改善されず、なかなか正中の隙間や上下の前歯が接触しなかったために治療が長期化してしまいました。
また、治療期間中のプラークコントロールが悪く、ブラッシング指導も奏功しなかったため、装置の周りが脱灰した状態(初期むし歯)となってしまいました。
ワイヤー矯正の注意事項(リスク・副作用など)
- 治療中は違和感や痛みが起こることがあります
- 症状により、抜歯が必要な場合があります
- 治療中は歯磨きがしにくくなるため、虫歯や歯周病になりやすくなります
- 矯正治療後の保定が不十分だと後戻り(元の位置に戻ろうとする動き)をします
- 自費診療(保険適用外)となります
当サイトの内容、テキスト、画像等の無断転載、複製、複写、盗用を固く禁じます。


























