症例詳細
Case detail
目立つゴールドをセラミックで白くしたい
治療症例の内容
- 診療科目
- 治療カテゴリ
- 担当医
- 大元洋佑(ドクタープロフィール)
- 患者様
- 50代女性
- 治療期間
- 1ヶ月
- 治療回数
- 2-5回
- 治療計画
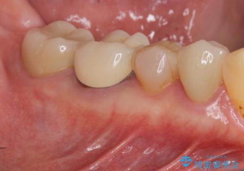
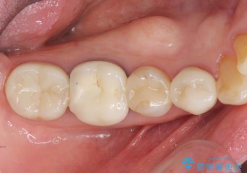
- 笑った時に目立つゴールド修復を、白く自然なセラミック治療に置き換えたいとセラミック治療を希望され来院されました。
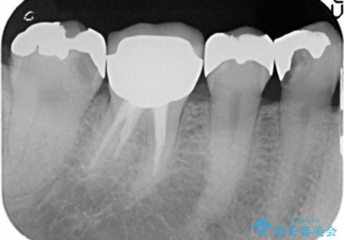
X線検査により、ゴールド修復下に虫歯の再発を多数認めました。
ゴールドの除去後に虫歯を丁寧に除去、セラミックにて自然な美しさを回復できるよう治療を計画します。
- 費用(概算)
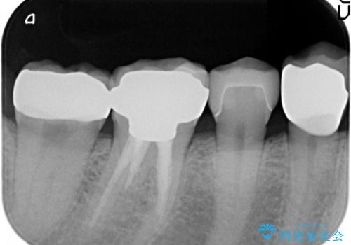
- 34.1万円(ジルコニアクラウン×2・仮歯×2・セラミックインレー×1)費用は治療当時の料金となります
治療について
外から見てもわからない虫歯が修復物の下で密かに進行していることがあります。
定期的なX線検査を行うことにより早期発見をすることができます。
セラミック治療の注意事項(リスク・副作用など)
- 天然歯を削ります
- 硬い素材は天然歯を傷つけてしまう場合があります
- かみ合わせや歯ぎしりが強すぎる方はセラミックが割れてしまう可能性があります
- 自費診療(保険適用外治療)となります
当サイトの内容、テキスト、画像等の無断転載、複製、複写、盗用を固く禁じます。






