症例詳細
Case detail
ディープバイト改善のためのインビザライン治療
治療症例の内容
- 診療科目
- 治療カテゴリ
- 担当医
- 河口智英(ドクタープロフィール)
- 患者様
- 20代女性
- 矯正装置
- インビザライン
- 治療期間
- 2年
- 治療回数
- 10-30回
- 治療計画
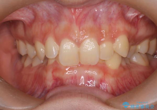
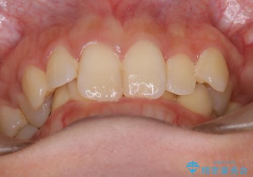
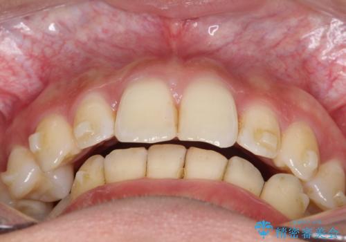
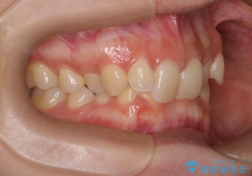
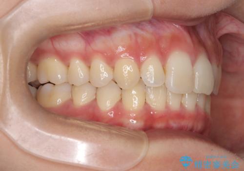
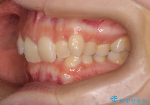
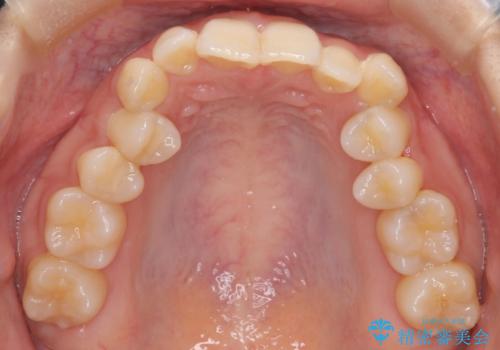
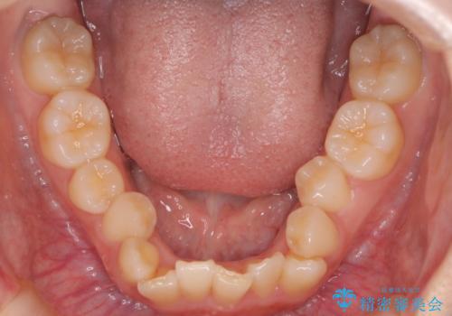
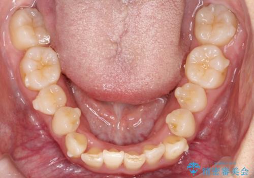
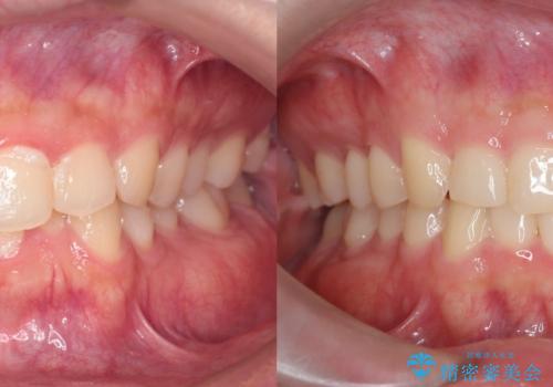
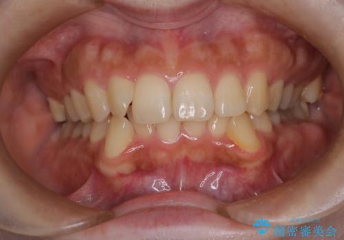
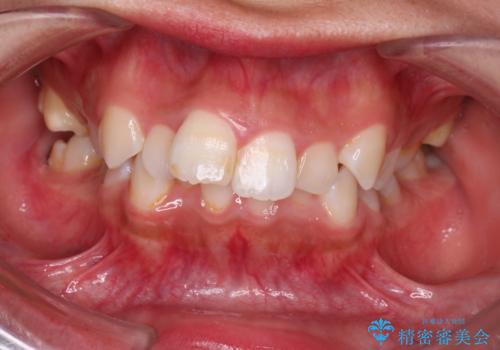
- 患者様は、全体的な歯列のガタガタとディープバイト(深い噛み合わせ)を主訴として来院されました。診断の結果、ディープバイトを改善するためには、歯列全体の拡大が必要であると判断しました。治療には、透明なマウスピース型矯正装置「インビザライン」を使用し、歯を適切に拡大しながら歯並びを整える計画を立てました。治療期間はおおよそ2年を見込んで進め、最終的に見た目にも大きく変化をもたらすことを目指しました。
- 費用(概算)
- 100万円費用は治療当時の料金となります
治療について
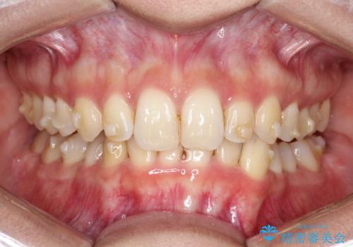
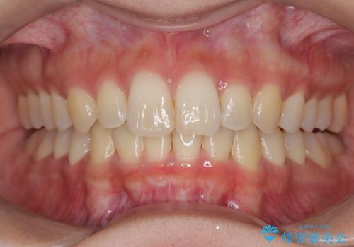
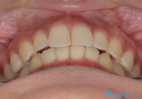
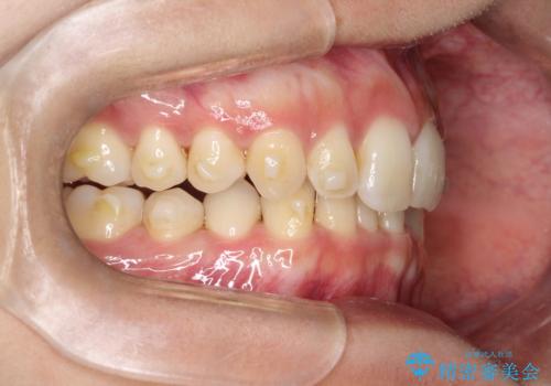
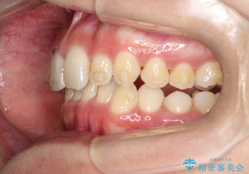
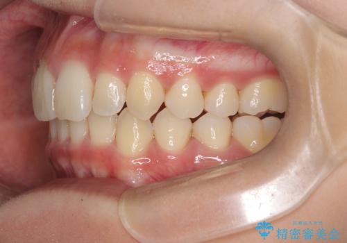
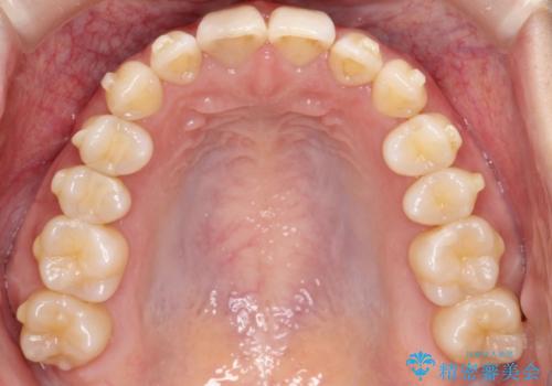
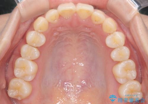
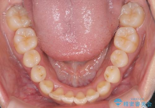
ディープバイトの治療には、奥歯の高さや前歯の位置に対する繊細な調整が必要です。本症例では、インビザラインによる歯列拡大を行うことで、噛み合わせを改善し、歯並び全体を整えました。治療過程では、歯間のスペースを確保するため、IPR(インタープロキシマルリダクション)を適宜行い、無理なく歯列の調整を行いました。治療後は、歯並びが大きく改善され、患者様の見た目にも大きな変化が現れました。インビザラインは透明で目立たず、治療中の見た目を気にされる患者様にも配慮した治療法です。
マウスピース矯正の注意事項(リスク・副作用など)
- 口腔内・歯並びの状態によっては対応できない場合があります
- マウスピース型矯正装置の長時間装着(1日20時間以上)が必須です
- 治療計画通りに進めるためには、患者様の意志が重要になります
- 矯正治療後の保定が不十分だと後戻り(元の位置に戻ろうとする動き)をします
- 薬機法対象外の矯正歯科装置のため医薬品副作用被害救済制度の対象外となる場合があります
- 自費診療(保険適用外)となります
当サイトの内容、テキスト、画像等の無断転載、複製、複写、盗用を固く禁じます。








 
                       
                                                          

















 
                   
                   
                  