症例詳細
Case detail
結婚式に向けた歯列矯正
治療症例の内容
- 診療科目
- 治療カテゴリ
- 担当医
- 河口智英(ドクタープロフィール)
- 患者様
- 20代女性
- 矯正装置
- 審美ワイヤー装置
- 治療期間
- 2年
- 治療回数
- 10-30回
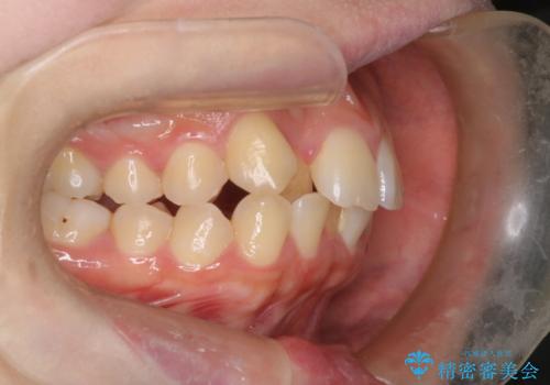
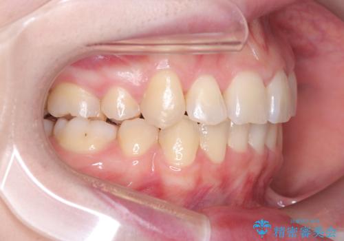
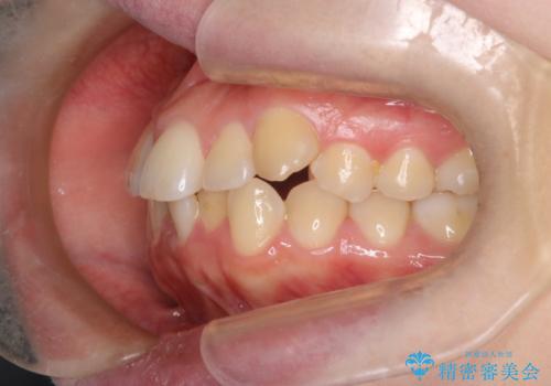
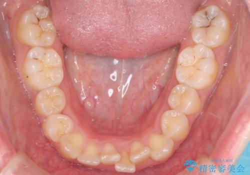
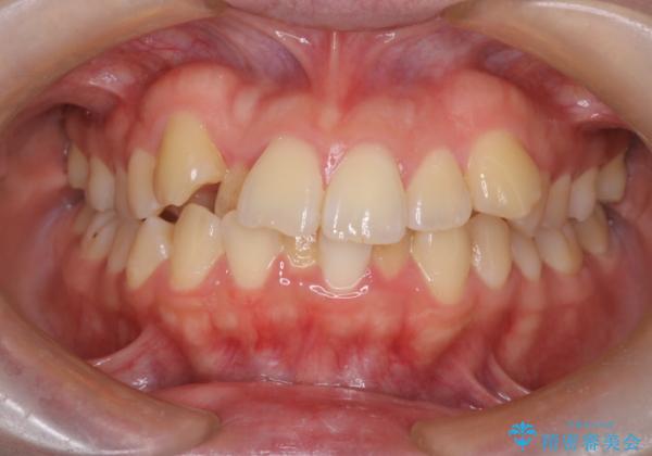
- 治療計画
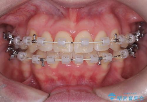
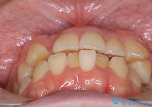
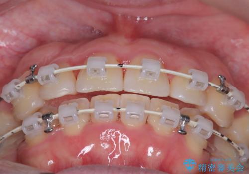
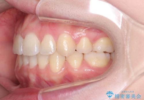
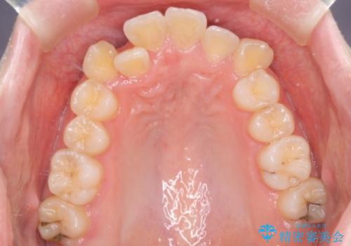
- 患者様は、結婚式までに歯並びを整えたいとのご要望で来院されました。診断の結果、上下左右の第一小臼歯を抜歯し、歯列全体を整える計画としました。審美性を重視し、目立ちにくいホワイトワイヤーを使用した矯正を提案しました。治療期間は2年を目安とし、結婚式までに前歯の整列と噛み合わせを優先的に整えるスケジュールで進めました。定期的な調整と経過観察を通じて、計画的に治療を進めました。
- 費用(概算)
- 100万円費用は治療当時の料金となります
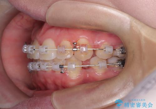
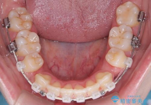
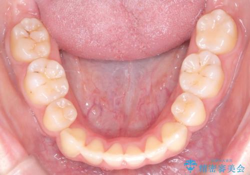
治療について
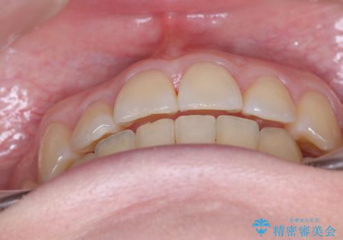
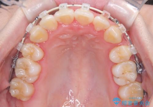
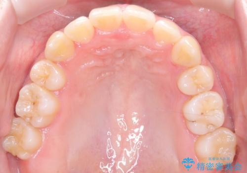
結婚式までに仕上げるため、通常よりも細かく調整を行い、歯の動きを効率的に管理しました。審美ワイヤーを使用したことで、治療中も目立ちにくく、写真撮影などの日常生活での見た目の負担を軽減しました。抜歯部分のスペースを閉じる際には、前歯の位置や噛み合わせのバランスに配慮し、過度な力がかからないよう進めました。患者様の大切なイベントに間に合うよう治療計画を立て、理想的な仕上がりを実現しました。
ワイヤー矯正の注意事項(リスク・副作用など)
- 治療中は違和感や痛みが起こることがあります
- 症状により、抜歯が必要な場合があります
- 治療中は歯磨きがしにくくなるため、虫歯や歯周病になりやすくなります
- 矯正治療後の保定が不十分だと後戻り(元の位置に戻ろうとする動き)をします
- 自費診療(保険適用外)となります
当サイトの内容、テキスト、画像等の無断転載、複製、複写、盗用を固く禁じます。


















